• Tel: 858.663.9055
  • SeparatorEmail: info@nsjbio.com
  • Tel: 858.663.9055
  • Email: info@nsjbio.com
Home >> Antibodies >> STC2 Antibody / Stanniocalcin 2

STC2 Antibody / Stanniocalcin 2 (FY12044)

  Catalog No Formulation Size Price (USD)  
Image FY12044 Adding 0.2 ml of distilled water will yield a concentration of 500 ug/ml 100 ug 449
Bulk quote request
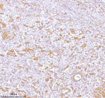
IHC analysis of STC2 using anti-STC2 antibody. STC2 was detected in a paraffin-embedded section of human breast cancer tissue. Heat mediated antigen retrieval was performed in EDTA buffer (pH 8.0, epitope retrieval solution). The tissue section was blocked with 10% goat serum. The tissue section was then incubated with 2 ug/ml rabbit anti-STC2 antibody overnight at 4oC. Peroxidase Conjugated Goat Anti-rabbit IgG was used as secondary antibody and incubated for 30 minutes at 37oC. The tissue section was developed using an HRP secondary and DAB substrate.
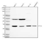
Western blot analysis of STC2 using anti-STC2 antibody. Lane 1: human MCF-7 whole cell lysates, Lane 2: human Caco-2 whole cell lysates, Lane 3: rat PC-12 whole cell lysates, Lane 4: mouse Raw264.7 whole cell lysates. After electrophoresis, proteins were transferred to a nitrocellulose membrane at 150 mA for 50-90 minutes. Blocked the membrane with 5% non-fat milk/TBS for 1.5 hour at RT. The membrane was incubated with rabbit anti-STC2 antibody at 0.5 ug/ml overnight at 4oC, then washed with TBS-0.1%Tween 3 times with 5 minutes each and probed with a goat anti-rabbit IgG-HRP secondary antibody at a dilution of 1:5000 for 1.5 hour at RT. The signal was developed using enhanced chemiluminescent. The expected band size for STC2 is at 33 kDa and the protein may be observed at higher molecular weights due to glycosylation.
IHC analysis of STC2 using anti-STC2 antibody. STC2 was detected in a paraffin-embedded section of human breast cancer tissue. Heat mediated antigen retrieval was performed in EDTA buffer (pH 8.0, epitope retrieval solution). The tissue section was blocked with 10% goat serum. The tissue section was then incubated with 2 ug/ml rabbit anti-STC2 antibody overnight at 4oC. Peroxidase Conjugated Goat Anti-rabbit IgG was used as secondary antibody and incubated for 30 minutes at 37oC. The tissue section was developed using an HRP secondary and DAB substrate.
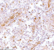
IHC analysis of STC2 using anti-STC2 antibody. STC2 was detected in a paraffin-embedded section of human lung squamous cell carcinoma tissue. Heat mediated antigen retrieval was performed in EDTA buffer (pH 8.0, epitope retrieval solution). The tissue section was blocked with 10% goat serum. The tissue section was then incubated with 2 ug/ml rabbit anti-STC2 antibody overnight at 4oC. Peroxidase Conjugated Goat Anti-rabbit IgG was used as secondary antibody and incubated for 30 minutes at 37oC. The tissue section was developed using an HRP secondary and DAB substrate.
IHC analysis of STC2 using anti-STC2 antibody. STC2 was detected in a paraffin-embedded section of human lung squamous cell carcinoma tissue. Heat mediated antigen retrieval was performed in EDTA buffer (pH 8.0, epitope retrieval solution). The tissue section was blocked with 10% goat serum. The tissue section was then incubated with 2 ug/ml rabbit anti-STC2 antibody overnight at 4oC. Peroxidase Conjugated Goat Anti-rabbit IgG was used as secondary antibody and incubated for 30 minutes at 37oC. The tissue section was developed using an HRP secondary and DAB substrate.
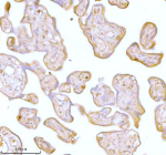
IHC analysis of STC2 using anti-STC2 antibody. STC2 was detected in a paraffin-embedded section of human placenta tissue. Heat mediated antigen retrieval was performed in EDTA buffer (pH 8.0, epitope retrieval solution). The tissue section was blocked with 10% goat serum. The tissue section was then incubated with 2 ug/ml rabbit anti-STC2 antibody overnight at 4oC. Peroxidase Conjugated Goat Anti-rabbit IgG was used as secondary antibody and incubated for 30 minutes at 37oC. The tissue section was developed using an HRP secondary and DAB substrate.
IHC analysis of STC2 using anti-STC2 antibody. STC2 was detected in a paraffin-embedded section of human placenta tissue. Heat mediated antigen retrieval was performed in EDTA buffer (pH 8.0, epitope retrieval solution). The tissue section was blocked with 10% goat serum. The tissue section was then incubated with 2 ug/ml rabbit anti-STC2 antibody overnight at 4oC. Peroxidase Conjugated Goat Anti-rabbit IgG was used as secondary antibody and incubated for 30 minutes at 37oC. The tissue section was developed using an HRP secondary and DAB substrate.
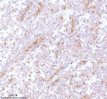
IHC analysis of STC2 using anti-STC2 antibody. STC2 was detected in a paraffin-embedded section of human rectum adenocarcinoma tissue. Heat mediated antigen retrieval was performed in EDTA buffer (pH 8.0, epitope retrieval solution). The tissue section was blocked with 10% goat serum. The tissue section was then incubated with 2 ug/ml rabbit anti-STC2 antibody overnight at 4oC. Peroxidase Conjugated Goat Anti-rabbit IgG was used as secondary antibody and incubated for 30 minutes at 37oC. The tissue section was developed using an HRP secondary and DAB substrate.
IHC analysis of STC2 using anti-STC2 antibody. STC2 was detected in a paraffin-embedded section of human rectum adenocarcinoma tissue. Heat mediated antigen retrieval was performed in EDTA buffer (pH 8.0, epitope retrieval solution). The tissue section was blocked with 10% goat serum. The tissue section was then incubated with 2 ug/ml rabbit anti-STC2 antibody overnight at 4oC. Peroxidase Conjugated Goat Anti-rabbit IgG was used as secondary antibody and incubated for 30 minutes at 37oC. The tissue section was developed using an HRP secondary and DAB substrate.
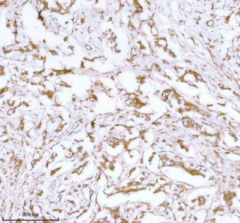
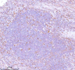
IHC analysis of STC2 using anti-STC2 antibody. STC2 was detected in a paraffin-embedded section of human testicular seminoma tissue. Heat mediated antigen retrieval was performed in EDTA buffer (pH 8.0, epitope retrieval solution). The tissue section was blocked with 10% goat serum. The tissue section was then incubated with 2 ug/ml rabbit anti-STC2 antibody overnight at 4oC. Peroxidase Conjugated Goat Anti-rabbit IgG was used as secondary antibody and incubated for 30 minutes at 37oC. The tissue section was developed using an HRP secondary and DAB substrate.
IHC analysis of STC2 using anti-STC2 antibody. STC2 was detected in a paraffin-embedded section of human testicular seminoma tissue. Heat mediated antigen retrieval was performed in EDTA buffer (pH 8.0, epitope retrieval solution). The tissue section was blocked with 10% goat serum. The tissue section was then incubated with 2 ug/ml rabbit anti-STC2 antibody overnight at 4oC. Peroxidase Conjugated Goat Anti-rabbit IgG was used as secondary antibody and incubated for 30 minutes at 37oC. The tissue section was developed using an HRP secondary and DAB substrate.
Immunofluorescent staining of FFPE human PC3 cells with STC2 antibody (red) and DAPI nuclear stain (blue). HIER: steam section in pH6 citrate buffer for 20 min.
Immunofluorescent staining of FFPE human breast cancer tissue with STC2 antibody (green) and DAPI nuclear stain (blue). HIER: steam section in pH8 EDTA buffer for 20 min.
Immunofluorescent staining of FFPE human lung cancer tissue with STC2 antibody (green) and DAPI nuclear stain (blue). HIER: steam section in pH8 EDTA buffer for 20 min.
Flow cytometry testing of fixed and permeabilized human MCF7 cells with STC2 antibody at 1ug/million cells (blocked with goat sera); Red=cells alone, Green=isotype control, Blue= STC2 antibody.
Availability 1-2 days
Species Reactivity Human, Mouse, Rat
Format Lyophilized
Host Rabbit
Clonality Polyclonal (rabbit origin)
Isotype Rabbit IgG
Purity Immunogen affinity purified
Buffer Each vial contains 4 mg Trehalose, 0.9 mg NaCl, 0.2 mg Na2HPO4.
UniProt O76061
Applications ELISA : 0.1-0.5ug/ml
Immunofluorescence : 5ug/ml
Immunohistochemistry : 2-5ug/ml
Immunocytochemistry : 5ug/ml
Western Blot : 0.25-0.5ug/ml
Flow Cytometry : 1-3ug/million cells
Limitations This STC2 antibody is available for research use only.
Review this product on BioCompare and get a $20 Amazon gift card

Description

STC2 antibody detects Stanniocalcin 2, encoded by the STC2 gene. Stanniocalcin 2 is a secreted glycoprotein hormone involved in calcium and phosphate homeostasis, cell metabolism, and stress responses. STC2 antibody provides researchers with a reliable reagent for studying calcium signaling, endocrine function, and cancer biology.

Stanniocalcin 2 belongs to a family of hormones originally described in fish for regulating calcium uptake in gills, but in mammals it plays broader roles. Research using STC2 antibody has shown that it is widely expressed in endocrine and metabolic tissues, including kidney, pancreas, and liver. It regulates calcium and phosphate transport by modulating ion channels and transporters, ensuring mineral balance and bone health.

Studies with STC2 antibody have revealed that Stanniocalcin 2 is upregulated in response to hypoxia and endoplasmic reticulum stress. As a stress-responsive hormone, STC2 promotes cell survival by inhibiting apoptosis and supporting adaptation to metabolic stress. This function links STC2 to cancer and ischemic disease, where stress responses are critical.

In oncology, Stanniocalcin 2 has been associated with tumor progression. Research using STC2 antibody has demonstrated that elevated STC2 expression correlates with metastasis, angiogenesis, and resistance to chemotherapy in breast, liver, and colorectal cancers. By regulating calcium signaling and stress pathways, tumors exploit STC2 to enhance survival and growth. This makes it a potential biomarker and therapeutic target.

STC2 antibody is widely applied in western blotting, immunohistochemistry, and ELISA. Western blotting quantifies protein levels, immunohistochemistry reveals expression in normal and cancer tissues, and ELISA measures circulating hormone levels in serum samples. These approaches make STC2 antibody a valuable tool for both basic and clinical research.

By providing validated STC2 antibody reagents, NSJ Bioreagents supports studies into mineral metabolism, stress signaling, and disease. Detection of Stanniocalcin 2 provides researchers with insight into how endocrine hormones regulate physiology and pathology.

Application Notes

Optimal dilution of the STC2 antibody should be determined by the researcher.

Immunogen

E.coli-derived human Stanniocalcin 2/STC2 recombinant protein (Position: A51-Q226) was used as the immunogen for the STC2 antibody.

Storage

After reconstitution, the STC2 antibody can be stored for up to one month at 4oC. For long-term, aliquot and store at -20oC. Avoid repeated freezing and thawing.

Cross
Bulk Quote Request Form
Name*:
Organization*:
Email*:
Phone Number*:
Catalog No.*:
Comments and Specifics(amount, formulation, etc.)*:
Validation code: Captchapackage Image


Can't read the image? click here to refresh.
    *required field

Your bulk quote request has been submitted successfully!

Please contact us if you have any questions.