• Tel: 858.663.9055
  • SeparatorEmail: info@nsjbio.com
  • Tel: 858.663.9055
  • Email: info@nsjbio.com
Home >> Antibodies >> Stathmin 1 Antibody / STMN1 / Op18

Stathmin 1 Antibody / STMN1 / Op18 [clone STMN1/8023R] (V4674)

  Catalog No Formulation Size Price (USD)  
Image V4674-100UG 0.2 mg/ml in 1X PBS with 0.1 mg/ml BSA (US sourced), 0.05% sodium azide 100 ug 559
Image
V4674-20UG 0.2 mg/ml in 1X PBS with 0.1 mg/ml BSA (US sourced), 0.05% sodium azide 20 ug 259
Image
V4674SAF-100UG 1 mg/ml in 1X PBS; BSA free, sodium azide free 100 ug 559
Microvalidated Recrabbitmono
Bulk quote request
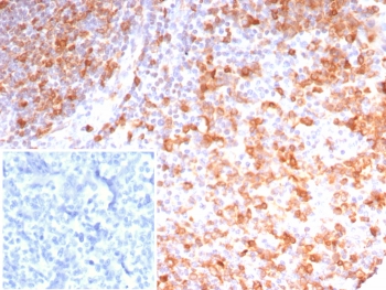
IHC staining of FFPE human tonsil tissue with Stathmin 1 antibody (clone STMN1/8023R). Inset: PBS used in place of primary Ab (secondary Ab negative control). HIER: boil tissue sections in pH 9 10mM Tris with 1mM EDTA for 20 min and allow to cool before testing.
Availability 1-3 business days
Species Reactivity Human
Format Purified
Host Rabbit
Clonality Recombinant Rabbit Monoclonal
Isotype Rabbit IgG, kappa
Clone Name STMN1/8023R
Purity Protein A/G affinity
UniProt P16949
Localization Cytoplasm
Applications Immunohistochemistry (FFPE) : 1-2ug/ml for 30 min at RT
Limitations This Stathmin 1 antibody is available for research use only.
Review this product on BioCompare and get a $20 Amazon gift card

Related Products

Description

Stathmin 1 (also called Oncoprotein 18, Op18, Prosolin and Metablastin) is considered a critical regulator of microtubulin dynamics and is downregulated by p53. It serves as a transducing protein, via phophorylation, for a variety of cell signaling pathways and is involved in both mitosis and differentiation.

Application Notes

Optimal dilution of the Stathmin 1 antibody should be determined by the researcher.

Immunogen

A recombinant fragment of human STMN1 protein was used as the immunogen for the Stathmin 1 antibody.

Storage

Aliquot the Stathmin 1 antibody and store frozen at -20oC or colder. Avoid repeated freeze-thaw cycles.

Cross
Bulk Quote Request Form
Name*:
Organization*:
Email*:
Phone Number*:
Catalog No.*:
Comments and Specifics(amount, formulation, etc.)*:
Validation code: Captchapackage Image


Can't read the image? click here to refresh.
    *required field

Your bulk quote request has been submitted successfully!

Please contact us if you have any questions.