• Tel: 858.663.9055
  • SeparatorEmail: info@nsjbio.com
  • Tel: 858.663.9055
  • Email: info@nsjbio.com
Home >> Antibodies >> Stathmin 1 Antibody

Stathmin 1 Antibody (R31986)

  Catalog No Formulation Size Price (USD)  
Image R31986 0.5mg/ml if reconstituted with 0.2ml sterile DI water 100 ug 449
Bulk quote request
Immunofluorescent staining of FFPE human MCF-7 cells with Stathmin 1 antibody (red) and DAPI nuclear stain (blue). HIER: steam section in pH6 citrate buffer for 20 min.
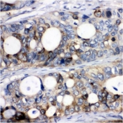
IHC testing of FFPE human breast cancer tissue with Stathmin 1 antibody. HIER: Boil the paraffin sections in pH 6, 10mM citrate buffer for 20 minutes and allow to cool prior to staining.
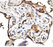
IHC testing of FFPE human intestinal cancer tissue with Stathmin 1 antibody. HIER: Boil the paraffin sections in pH 8 EDTA for 20 minutes and allow to cool prior to staining.
IHC testing of FFPE human placental tissue with Stathmin 1 antibody. HIER: Boil the paraffin sections in pH 8 EDTA for 20 minutes and allow to cool prior to staining.
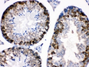
IHC testing of FFPE mouse testis with Stathmin 1 antibody. HIER: Boil the paraffin sections in pH 6, 10mM citrate buffer for 20 minutes and allow to cool prior to staining.
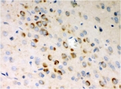
IHC testing of FFPE mouse brain tissue with Stathmin 1 antibody. HIER: Boil the paraffin sections in pH 8 EDTA for 20 minutes and allow to cool prior to staining.
IHC testing of FFPE rat brain tissue with Stathmin 1 antibody. HIER: Boil the paraffin sections in pH 8 EDTA for 20 minutes and allow to cool prior to staining.
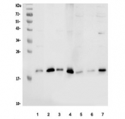
Western blot testing of 1) rat brain, 2) rat testis, 3) mouse brain, 4) mouse testis, 5) human MDA-MB-453, 6) human SH-SY5Y and 7) human Raji lysate with Stathmin 1 antibody. Expected molecular weight ~17 kDa.
Flow cytometry testing of human ThP-1 cells with Stathmin 1 antibody at 1ug/million cells (blocked with goat sera); Red=cells alone, Green=isotype control, Blue= Stathmin 1 antibody.
Flow cytometry testing of mouse RAW264.7 cells with Stathmin 1 antibody at 1ug/million cells (blocked with goat sera); Red=cells alone, Green=isotype control, Blue= Stathmin 1 antibody.
Flow cytometry testing of rat RH-35 cells with Stathmin 1 antibody at 1ug/million cells (blocked with goat sera); Red=cells alone, Green=isotype control, Blue= Stathmin 1 antibody.
Availability 1-3 business days
Species Reactivity Human, Mouse, Rat
Format Antigen affinity purified
Host Rabbit
Clonality Polyclonal (rabbit origin)
Isotype Rabbit IgG
Purity Antigen affinity
Buffer Lyophilized from 1X PBS with 2.5% BSA and 0.025% sodium azide
UniProt P16949
Localization Cytoplasmic
Applications Western Blot : 0.1-0.5ug/ml
Immunohistochemistry (FFPE) : 0.5-1ug/ml
Immunofluorescence (FFPE) : 2-4ug/ml
Flow Cytometry : 1-3ug/million cells
Limitations This Stathmin 1 antibody is available for research use only.
Review this product on BioCompare and get a $20 Amazon gift card

Related Products

Description

Stathmin 1/oncoprotein 18, also known as STMN1, is a highly conserved 17 kDa protein. This gene belongs to the stathmin family of genes. It encodes a ubiquitous cytosolic phosphoprotein proposed to function as an intracellular relay integrating regulatory signals of the cellular environment. The encoded protein is involved in the regulation of the microtubule filament system by destabilizing microtubules. It prevents assembly and promotes disassembly of microtubules. Multiple transcript variants encoding different isoforms have been found for this gene.

Application Notes

Optimal dilution of the Stathmin 1 antibody should be determined by the researcher.

Immunogen

Amino acids ASSDIQVKELEKRASGQAFELILSPRSKESVPE of human STMN1 were used as the immunogen for the Stathmin 1 antibody.

Storage

After reconstitution, the Stathmin 1 antibody can be stored for up to one month at 4oC. For long-term, aliquot and store at -20oC. Avoid repeated freezing and thawing.

Cross
Bulk Quote Request Form
Name*:
Organization*:
Email*:
Phone Number*:
Catalog No.*:
Comments and Specifics(amount, formulation, etc.)*:
Validation code: Captchapackage Image


Can't read the image? click here to refresh.
    *required field

Your bulk quote request has been submitted successfully!

Please contact us if you have any questions.