• Tel: 858.663.9055
  • SeparatorEmail: info@nsjbio.com
  • Tel: 858.663.9055
  • Email: info@nsjbio.com
Home >> Antibodies >> STAT6 Antibody / Signal transducer and activator of transcription 6

STAT6 Antibody / Signal transducer and activator of transcription 6 [clone STAT6/12798R] (V6003)

  Catalog No Formulation Size Price (USD)  
Image V6003-100UG 0.2 mg/ml in 1X PBS with 0.05% BSA, 0.05% sodium azide 100 ug 559
Image
V6003-20UG 0.2 mg/ml in 1X PBS with 0.05% BSA, 0.05% sodium azide 20 ug 259
Image
V6003SAF-100UG 1 mg/ml in 1X PBS; BSA free, sodium azide free 100 ug 559
Microvalidated Recrabbitmono
Bulk quote request
Western blot analysis of human kidney tissue lysate using STAT6 Rabbit Recombinant Monoclonal Antibody (STAT6/12798R).
Formalin-fixed, paraffin-embedded human liposarcoma stained with STAT6 Rabbit Recombinant Monoclonal Antibody (STAT6/12798R). HIER: Tris/EDTA, pH9.0, 45min. 2¬?: HRP-polymer, 30min. DAB, 5min.
Western blot analysis of Human Skin, Mouse Skin and Rat Skin tissue lysates using STAT6 Rabbit Recombinant Monoclonal Antibody (STAT6/12798R).
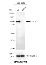
Western Blot validation of anti-STAT6 antibody. STAT6 protein expression was compared in wild-type (WT) and STAT6 shRNA Knockdown (KD) HeLa cells (30ug of total protein). Loading control is shown below.
Species Reactivity Human
Format Purified
Host Rabbit
Clonality Recombinant Rabbit Monoclonal
Isotype Rabbit IgG, kappa
Clone Name STAT6/12798R
UniProt P42226
Localization Cytoplasm, Nucleus
Applications Immunohistochemistry (FFPE) : 1-2ug/ml
Knockdown :
Western Blot : 2-4ug/ml
Limitations This STAT6/Signal transducer and activator of transcription 6 antibody is available for research use only.
Review this product on BioCompare and get a $20 Amazon gift card

Related Products

  • Applications : IHC-P
    Reactivity : Human
    Recrabbitmono
  • Applications : IHC-P
    Reactivity : Human
    Recrabbitmono
  • Applications : IHC-P, FACS
    Reactivity : Human
    Microvalidated
  • Applications : WB, IHC-P
    Reactivity : Human, Mouse, Rat
  • Applications : WB
    Reactivity : Human, Rat
  • Applications : WB, IHC-P, IF, FACS, Direct ELISA
    Reactivity : Human
  • Applications : WB, FACS, IHC-P, IF, Direct ELISA
    Reactivity : Human

Application Notes

Optimal dilution of the STAT6/Signal transducer and activator of transcription 6 antibody should be determined by the researcher.

Immunogen

A recombinant fragment (around amino acids 600-801) of human STAT6 protein (exact sequence is proprietary) was used as the immuongen for the STAT6/Signal transducer and activator of transcription 6 antibody.

Storage

STAT6/Signal transducer and activator of transcription 6 antibody with sodium azide - store at 2 to 8oC; antibody without sodium azide - store at -20 to -80oC.

Cross
Bulk Quote Request Form
Name*:
Organization*:
Email*:
Phone Number*:
Catalog No.*:
Comments and Specifics(amount, formulation, etc.)*:
Validation code: Captchapackage Image


Can't read the image? click here to refresh.
    *required field

Your bulk quote request has been submitted successfully!

Please contact us if you have any questions.