• Tel: 858.663.9055
  • SeparatorEmail: info@nsjbio.com
  • Tel: 858.663.9055
  • Email: info@nsjbio.com
Home >> Antibodies >> STAT2 Antibody / Signal transducer and activator of transcription 2

STAT2 Antibody / Signal transducer and activator of transcription 2 (RQ4293)

  Catalog No Formulation Size Price (USD)  
Image RQ4293 0.5mg/ml if reconstituted with 0.2ml sterile DI water 100 ug 449
Bulk quote request
Immunofluorescent staining of FFPE human PC-3 cells with STAT2 antibody (red) and DAPI nuclear stain (blue). HIER: steam section in pH6 citrate buffer for 20 min.
Western blot testing of human 1) K562, 2) HT1080 and 3) HeLa cell lysate with STAT2 antibody at 0.5ug/ml. Expected molecular weight: 98-113 kDa depending on phosphorylation level.
Flow cytometry testing of fixed and permeabilized human K562 cells with STAT2 antibody at 1ug/million cells (blocked with goat sera); Red=cells alone, Green=isotype control, Blue= STAT2 antibody.
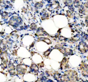
Immunohistochemical staining of FFPE human breast cancer tissue with STAT2 antibody, HRP-secondary and DAB substrate. HIER: boil tissue sections in pH8 EDTA for 20 min and allow to cool before testing.
Availability 1-3 business days
Species Reactivity Human
Format Antigen affinity purified
Host Rabbit
Clonality Polyclonal (rabbit origin)
Isotype Rabbit IgG
Purity Antigen affinity purified
Buffer Lyophilized from 1X PBS with 2% Trehalose
UniProt P52630
Localization Cytoplasm, nucleus
Applications Western Blot : 0.5-1ug/ml
Immunofluorescence : 5ug/ml
Flow Cytometry : 1-3ug/million cells
Immunohistochemistry (FFPE) : 2-5ug/ml
Limitations This STAT2 antibody is available for research use only.
Review this product on BioCompare and get a $20 Amazon gift card

Related Products

Description

STAT2 antibody detects Signal transducer and activator of transcription 2, a core transcription factor that plays a central and nonredundant role in type I and type III interferon signaling. The UniProt recommended name is Signal transducer and activator of transcription 2 (STAT2). STAT2 belongs to the STAT family of latent cytoplasmic transcription factors that become activated in response to cytokines, viral infection, and innate immune signaling cues. Unlike other STAT family members, STAT2 functions primarily as a component of the ISGF3 transcriptional complex rather than as a homodimer, giving it a unique role in antiviral defense and interferon-stimulated gene (ISG) activation.

Functionally, STAT2 antibody identifies a 851-amino-acid cytoplasmic protein that contains an N-terminal coiled-coil domain for partner interactions, a DNA-binding domain, a linker domain, an SH2 domain, and a C-terminal transactivation domain that is phosphorylated during interferon receptor engagement. Upon stimulation with type I interferons (IFN-alpha or IFN-beta) or type III interferons (IFN-lambda), the interferon receptor complex activates JAK1 and TYK2 kinases, which phosphorylate STAT2 and its binding partner STAT1. Phosphorylated STAT2 then forms a heterotrimeric transcription factor complex with STAT1 and IRF9 known as ISGF3. This complex translocates into the nucleus where it binds interferon-stimulated response elements to initiate a broad transcriptional antiviral program that enhances viral restriction, antigen presentation, RNA sensing, and immune coordination.

The STAT2 gene is located on chromosome 12q13.2 and is expressed in a wide range of tissues, including immune cells, epithelial barriers, hepatocytes, fibroblasts, and cells that depend heavily on innate antiviral responses. Basal expression of STAT2 is generally low but increases markedly in the presence of interferons, viral RNA, or inflammatory stimuli. Within the cell, STAT2 dynamically shuttles between the cytoplasm and nucleus, with its nuclear accumulation controlled by phosphorylation state, IRF9 association, and interferon receptor activity. STAT2 stability and signaling output are modulated by ubiquitination, proteasomal turnover, and interactions with various pathogen-encoded antagonists.

STAT2 occupies a unique position within the innate immune system because it is indispensable for interferon-driven ISG induction but does not bind DNA efficiently by itself. Instead, STAT2 provides transcriptional activation potential to the ISGF3 complex and recruits coactivators necessary for robust ISG expression. This requirement makes STAT2 a critical regulator of pathways involved in viral restriction, apoptosis, cytokine amplification, and immune cell differentiation. STAT2 additionally participates in noncanonical signaling, including interactions with STAT1-independent complexes and functions in chromatin remodeling during prolonged interferon exposure.

Pathologically, dysregulation of STAT2 has profound consequences on viral susceptibility, inflammatory balance, and immune system integrity. Loss-of-function mutations in STAT2 cause severe viral infections in infancy due to the inability to mount a type I interferon response. Some patients with STAT2 deficiency also develop hyperinflammatory syndromes following live-attenuated viral vaccination because STAT2 normally restrains excessive type I interferon signaling. Conversely, elevated STAT2 activity can contribute to interferonopathies and chronic inflammatory states characterized by persistent ISG upregulation. In cancer biology, STAT2 signaling influences tumor-immune interactions, shaping responses to viral-based therapies, immunomodulatory treatments, and tumor-associated inflammation. Several viruses, including dengue virus, Zika virus, respiratory syncytial virus, and certain paramyxoviruses, encode proteins that directly degrade or inhibit STAT2, underscoring its pivotal role in antiviral immunity.

At the cellular level, STAT2 contributes to cross talk between innate and adaptive immunity. In dendritic cells, STAT2 enhances antigen presentation and promotes a transcriptional environment that supports antiviral T-cell priming. In epithelial tissues, STAT2 maintains barrier defenses by regulating interferon-induced networks that limit viral replication. In fibroblasts and hepatocytes, STAT2 supports metabolic and protective responses to interferon signaling that reduce viral spread and coordinate tissue repair.

Research using STAT2 antibody supports investigations into interferon signaling, antiviral responses, immune evasion by pathogens, innate immune regulation, and diseases influenced by aberrant cytokine activity. STAT2 antibody is validated for use in relevant research applications to detect STAT2 expression and examine its involvement in ISGF3 formation, type I interferon signaling, and innate immune transcriptional programs. NSJ Bioreagents provides STAT2 antibody reagents optimized for immunology, virology, inflammation research, and cytokine signaling studies.

Application Notes

Optimal dilution of the STAT2 antibody should be determined by the researcher.

Immunogen

Amino acids FQDQLHQLYSHSLLPVDIRQYLAVWIEDQNWQEA were used as the immunogen for the STAT2 antibody.

Storage

After reconstitution, the STAT2 antibody can be stored for up to one month at 4oC. For long-term, aliquot and store at -20oC. Avoid repeated freezing and thawing.

Cross
Bulk Quote Request Form
Name*:
Organization*:
Email*:
Phone Number*:
Catalog No.*:
Comments and Specifics(amount, formulation, etc.)*:
Validation code: Captchapackage Image


Can't read the image? click here to refresh.
    *required field

Your bulk quote request has been submitted successfully!

Please contact us if you have any questions.