• Tel: 858.663.9055
  • SeparatorEmail: info@nsjbio.com
  • Tel: 858.663.9055
  • Email: info@nsjbio.com
Home >> Antibodies >> STAT1 Antibody

STAT1 Antibody (R32722)

  Catalog No Formulation Size Price (USD)  
Image R32722 0.5mg/ml if reconstituted with 0.2ml sterile DI water 100 ug 449
Bulk quote request
Western blot testing of human 1) HeLa, 2) PC-3, 3) Caco-2, 4) A549, 5) K562 and 6) Raji cell lysate with STAT1 antibody at 0.5ug/ml. Predicted molecular weight ~91/84 kDa (alpha/beta).
Western blot testing of 1) rat thymus and 2) mouse thymus lysate with STAT1 antibody at 0.5ug/ml. Predicted molecular weight ~91/84 kDa (alpha/beta).
Western blot testing of monkey COS7 cell lysate with STAT1 antibody at 0.5ug/ml. Predicted molecular weight ~91/84 kDa (alpha/beta).
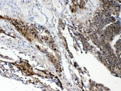
IHC testing of FFPE human intestinal cancer tissue with STAT1 antibody at 1ug/ml. Required HIER: steam section in pH6 citrate buffer for 20 min and allow to cool prior to testing.
IF/ICC staining of FFPE human U-2 OS cells with STAT1 antibody (green) at 2ug/ml and DAPI nuclear stain (blue). HIER: steam section in pH6 citrate buffer for 20 min and allow to cool prior to testing.
IF/ICC staining of FFPE human U-2 OS cells with STAT1 antibody (green) at 2ug/ml and DAPI nuclear stain (blue). HIER: steam section in pH6 citrate buffer for 20 min and allow to cool prior to testing.
Flow cytometry testing of human A431 cells with STAT1 antibody at 1ug/10^6 cells (blocked with goat sera); Red=cells alone, Green=isotype control, Blue= STAT1 antibody.
Availability 1-3 business days
Species Reactivity Human, Mouse, Rat, Monkey
Format Antigen affinity purified
Host Rabbit
Clonality Polyclonal (rabbit origin)
Isotype Rabbit IgG
Purity Antigen affinity
Buffer Lyophilized from 1X PBS with 2.5% BSA, 0.025% sodium azide
UniProt P42224
Localization Cytoplasmic, nuclear
Applications Western Blot : 0.5-1ug/ml
Immunohistochemistry (FFPE) : 1-2ug/ml
Immunofluorescence/Immunocytochemistry (FFPE) : 2-4ug/ml
Flow Cytometry : 1-3ug/10^6 cells
Limitations This STAT1 antibody is available for research use only.
Review this product on BioCompare and get a $20 Amazon gift card

Related Products

  • Applications : WB, ELISA
    Reactivity : Human
  • Applications : WB, IF, FACS
    Reactivity : Human, Mouse, Rat
  • Applications : WB
    Reactivity : Human
  • Applications : WB, ELISA
    Reactivity : Human
  • Applications : WB, IHC-P
    Reactivity : Human, Mouse, Rat

Description

Signal transducer and activator of transcription 1 is a transcription factor which in humans is encoded by the STAT1 gene. The protein encoded by this gene is a member of the STAT protein family. In response to cytokines and growth factors, STAT family members are phosphorylated by the receptor associated kinases, and then form homo- or heterodimers that translocate to the cell nucleus where they act as transcription activators. This protein can be activated by various ligands including interferon-alpha, interferon-gamma, EGF, PDGF and IL6. This protein mediates the expression of a variety of genes, which is thought to be important for cell viability in response to different cell stimuli and pathogens. Two alternatively spliced transcript variants encoding distinct isoforms have been described.

Application Notes

Optimal dilution of the STAT1 antibody should be determined by the researcher.

Immunogen

Amino acids S2-A230 from the human protein were used as the immunogen for the STAT1 antibody.

Storage

After reconstitution, the STAT1 antibody can be stored for up to one month at 4oC. For long-term, aliquot and store at -20oC. Avoid repeated freezing and thawing.

Cross
Bulk Quote Request Form
Name*:
Organization*:
Email*:
Phone Number*:
Catalog No.*:
Comments and Specifics(amount, formulation, etc.)*:
Validation code: Captchapackage Image


Can't read the image? click here to refresh.
    *required field

Your bulk quote request has been submitted successfully!

Please contact us if you have any questions.