- Tel: 858.663.9055
- 
									 Email: info@nsjbio.com Email: info@nsjbio.com
- Tel: 858.663.9055
- Email: info@nsjbio.com
 Email: info@nsjbio.com
Email: info@nsjbio.com
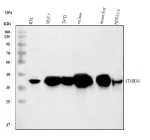
								STARD10 antibody detects StAR-related lipid transfer protein 10, a cytosolic lipid-binding protein that regulates intracellular lipid trafficking and membrane composition. The UniProt recommended name is StAR-related lipid transfer protein 10 (STARD10). This protein belongs to the START domain-containing family, which mediates non-vesicular lipid transfer between organelles and participates in lipid metabolism and signaling.
Functionally, STARD10 antibody identifies a 329-amino-acid protein that binds phosphatidylcholine, phosphatidylethanolamine, and other phospholipids through its conserved steroidogenic acute regulatory-related lipid transfer (START) domain. STARD10 facilitates the exchange and transport of phospholipids between membranes, ensuring proper lipid composition of the Golgi apparatus, plasma membrane, and endoplasmic reticulum. It plays important roles in membrane biogenesis, vesicle formation, and signal transduction.
The STARD10 gene is located on chromosome 11q13.1 and is expressed in multiple tissues, including pancreas, liver, and brain. In pancreatic beta cells, STARD10 modulates insulin secretion by regulating lipid signaling and granule membrane dynamics. Genetic studies have linked STARD10 variants to type 2 diabetes susceptibility, indicating its role in glucose metabolism and endocrine function. Its expression is also responsive to cellular lipid levels and nutrient signaling pathways, suggesting involvement in metabolic adaptation.
In lipid metabolism, STARD10 contributes to maintaining phospholipid asymmetry and membrane curvature. It interacts with small GTPases and cytoskeletal components to regulate vesicle trafficking. Dysregulation of STARD10 affects lipid homeostasis and has been associated with metabolic disorders and cancer. Elevated STARD10 expression has been observed in breast and pancreatic cancers, where it may influence membrane signaling and cell proliferation.
STARD10 antibody is widely used in cell biology, metabolism, and endocrinology research. It is suitable for immunoblotting, immunofluorescence, and lipid transport assays to study protein localization and lipid-binding activity. Detection of STARD10 aids in exploring lipid trafficking pathways and their impact on cellular signaling. In disease models, STARD10 antibody supports studies on insulin secretion, metabolic regulation, and tumor lipid metabolism.
Structurally, STARD10 consists of a single START domain forming a hydrophobic binding pocket that accommodates phospholipid molecules. Post-translational modifications such as phosphorylation and acetylation regulate its lipid affinity and subcellular localization. NSJ Bioreagents provides STARD10 antibody reagents validated for use in lipid metabolism, membrane biology, and metabolic disease research.
Optimal dilution of the STARD10 antibody should be determined by the researcher.
E.coli-derived human PCTP-L/STARD10 recombinant protein (Position: M1-E273) was used as the immunogen for the STARD10 antibody.
After reconstitution, the STARD10 antibody can be stored for up to one month at 4oC. For long-term, aliquot and store at -20oC. Avoid repeated freezing and thawing.
 
Your bulk quote request has been submitted successfully!
Please contact us if you have any questions.