• Tel: 858.663.9055
  • SeparatorEmail: info@nsjbio.com
  • Tel: 858.663.9055
  • Email: info@nsjbio.com
Home >> Antibodies >> StAR Antibody Steroidogenic Cell Marker / Steroidogenic Acute Regulatory Protein Antibody

StAR Antibody Steroidogenic Cell Marker / Steroidogenic Acute Regulatory Protein Antibody [clone STAR/3976] (V5238)

  Catalog No Formulation Size Price (USD)  
Image V5238-100UG 0.2 mg/ml in 1X PBS with 0.1 mg/ml BSA (US sourced), 0.05% sodium azide 100 ug 559
Image
V5238-20UG 0.2 mg/ml in 1X PBS with 0.1 mg/ml BSA (US sourced), 0.05% sodium azide 20 ug 259
Image
V5238SAF-100UG 1 mg/ml in 1X PBS; BSA free, sodium azide free 100 ug 559
Bulk quote request
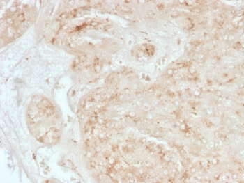
StAR Antibody Steroidogenic Cell Marker (clone STAR/3976). Immunohistochemistry analysis of Steroidogenic Acute Regulatory Protein (StAR / STARD1) in FFPE human adrenal gland tissue using a mouse monoclonal antibody. HRP-DAB brown cytoplasmic staining highlights steroidogenic cells of the adrenal cortex, consistent with the mitochondrial localization of StAR in steroid hormone-producing endocrine cells, while the adrenal medulla and surrounding non-steroidogenic tissues show minimal staining. Heat-induced epitope retrieval was performed by boiling tissue sections in pH 9 Tris-EDTA buffer (10 mM Tris with 1 mM EDTA) for 20 minutes followed by cooling prior to antibody staining.
SDS-PAGE analysis of purified, BSA-free StAR Antibody Steroidogenic Cell Marker (clone STAR/3976) as confirmation of integrity and purity.
Availability 1-3 business days
Species Reactivity Human
Format Purified
Host Mouse
Clonality Monoclonal (mouse origin)
Isotype Mouse IgG1, kappa
Clone Name STAR/3976
Purity Protein A/G affinity
UniProt P49675
Localization Cytoplasm (Mitochondria)
Applications Immunohistochemistry (FFPE) : 1-2ug/ml for 30 min at RT
Limitations This StAR antibody is available for research use only.
Review this product on BioCompare and get a $20 Amazon gift card

Related Products

Description

Steroidogenic Acute Regulatory Protein (StAR), encoded by the STARD1 gene, is a mitochondrial cholesterol transport protein that controls the rate-limiting step in steroid hormone biosynthesis. StAR Antibody Steroidogenic Cell Marker / Steroidogenic Acute Regulatory Protein Antibody (clone STAR/3976) is a mouse monoclonal antibody developed to detect this key steroidogenic regulatory protein in endocrine tissues. StAR mediates the transfer of cholesterol from the outer mitochondrial membrane to the inner mitochondrial membrane, a transport process required for the initiation of steroid hormone synthesis. Because this step regulates the production of glucocorticoids, mineralocorticoids, and sex steroids, StAR is widely studied as a marker of steroidogenic cell activity.

StAR expression is strongly enriched in steroid hormone-producing endocrine tissues including the adrenal cortex, testicular Leydig cells, and ovarian theca and luteal cells. These specialized endocrine cells depend on mitochondrial cholesterol transport to sustain steroid hormone synthesis. As a result, detection of Steroidogenic Acute Regulatory Protein is frequently used to identify steroidogenic cell populations and to study endocrine tissue differentiation in adrenal and gonadal organs.

Within the testis, StAR is highly expressed in Leydig cells, the steroidogenic cells responsible for testosterone production. In the ovary, StAR expression is detected in theca and luteal cells involved in progesterone and estrogen synthesis. Because of this restricted expression pattern, StAR functions as a reliable steroidogenic cell marker in studies examining reproductive endocrinology, gonadal development, and hormone biosynthesis pathways.

StAR expression also plays an essential role in adrenal steroidogenesis. Cells of the adrenal cortex rely on mitochondrial cholesterol transport to initiate the synthesis of glucocorticoids, mineralocorticoids, and adrenal androgens. Consequently, Steroidogenic Acute Regulatory Protein expression reflects the functional steroidogenic capacity of adrenal cortical cells and is commonly examined in studies of adrenal physiology and endocrine regulation.

Because StAR expression closely correlates with steroid hormone production, antibodies targeting this protein are widely used in research investigating steroidogenic cell differentiation, endocrine tissue organization, and mitochondrial cholesterol transport. Clone STAR/3976 provides a mouse monoclonal antibody reagent designed to detect Steroidogenic Acute Regulatory Protein in studies examining steroidogenic endocrine cells in adrenal and gonadal tissues.

Application Notes

Optimal dilution of the StAR Antibody Steroidogenic Cell Marker should be determined by the researcher.

Immunogen

A recombinant partial protein sequence (within amino acids 39-108) from the human protein was used as the immunogen for the StAR antibody.

Storage

Aliquot the StAR antibody and store frozen at -20oC or colder. Avoid repeated freeze-thaw cycles.

Alternate Names

StAR antibody, Steroidogenic acute regulatory protein antibody, STARD1 antibody, STAR protein antibody, Cholesterol transport protein StAR antibody

Cross
Bulk Quote Request Form
Name*:
Organization*:
Email*:
Phone Number*:
Catalog No.*:
Comments and Specifics(amount, formulation, etc.)*:
Validation code: Captchapackage Image


Can't read the image? click here to refresh.
    *required field

Your bulk quote request has been submitted successfully!

Please contact us if you have any questions.