• Tel: 858.663.9055
  • SeparatorEmail: info@nsjbio.com
  • Tel: 858.663.9055
  • Email: info@nsjbio.com
Home >> Antibodies >> STARD1 Antibody / Steroidogenic Acute Regulatory Protein Antibody

STARD1 Antibody / Steroidogenic Acute Regulatory Protein Antibody [clone STAR/2077] (V8103)

  Catalog No Formulation Size Price (USD)  
Image V8103-100UG 0.2 mg/ml in 1X PBS with 0.1 mg/ml BSA (US sourced) and 0.05% sodium azide 100 ug 559
Image
V8103-20UG 0.2 mg/ml in 1X PBS with 0.1 mg/ml BSA (US sourced) and 0.05% sodium azide 20 ug 259
Image
V8103SAF-100UG 1 mg/ml in 1X PBS; BSA free, sodium azide free 100 ug 559
Bulk quote request
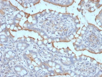
STARD1 Antibody (clone STAR/2077). Immunohistochemistry analysis of Steroidogenic Acute Regulatory Protein (StAR / STARD1) in FFPE human stomach tissue using a mouse monoclonal antibody. HRP-DAB brown cytoplasmic staining is observed in scattered epithelial and glandular cells, while most surrounding gastric mucosal cells show minimal staining. The staining pattern is consistent with localized expression of Steroidogenic Acute Regulatory Protein in specific gastric cell populations. Heat-induced epitope retrieval was performed by boiling tissue sections in pH 9 Tris-EDTA buffer (10 mM Tris with 1 mM EDTA) for 20 minutes followed by cooling prior to antibody staining.
STARD1 Antibody (clone STAR/2077). Immunohistochemistry analysis of Steroidogenic Acute Regulatory Protein (StAR / STARD1) in FFPE human testis tissue using a mouse monoclonal antibody. HRP-DAB brown cytoplasmic staining highlights steroidogenic Leydig cells within the interstitial compartment of the testis, consistent with the mitochondrial localization of StAR in testosterone-producing endocrine cells, while seminiferous tubules and surrounding non-steroidogenic cells show minimal staining. Heat-induced epitope retrieval was performed by boiling tissue sections in pH 9 Tris-EDTA buffer (10 mM Tris with 1 mM EDTA) for 20 minutes followed by cooling prior to antibody staining.
SDS-PAGE analysis of purified, BSA-free StAR/STARD1 antibody (clone STAR/2077) as confirmation of integrity and purity.
Availability 1-3 business days
Species Reactivity Human
Format Purified
Host Mouse
Clonality Monoclonal (mouse origin)
Isotype Mouse IgG2b, kappa
Clone Name STAR/2077
Purity Protein G affinity chromatography
UniProt P49675
Localization Cytoplasmic (mitochondria)
Applications Immunohistochemistry (FFPE) : 1-2ug/ml
Limitations This StAR antibody is available for research use only.
Review this product on BioCompare and get a $20 Amazon gift card

Related Products

Description

Steroidogenic Acute Regulatory Protein (StAR), encoded by the STARD1 gene, is a mitochondrial cholesterol transport protein that performs the rate-limiting step in steroid hormone biosynthesis. The STARD1 Antibody / Steroidogenic Acute Regulatory Protein Antibody (clone STAR/2077) is a mouse monoclonal antibody developed to detect this key regulatory protein involved in steroidogenesis. StAR mediates the transfer of cholesterol from the outer mitochondrial membrane to the inner mitochondrial membrane, enabling the first enzymatic step of steroid hormone synthesis. Because mitochondrial cholesterol transport is essential for steroid production, STARD1 expression is widely studied in endocrine tissues responsible for hormone biosynthesis.

STARD1 is strongly expressed in steroid-producing endocrine organs including the adrenal cortex, testicular Leydig cells, and ovarian theca and luteal cells. These specialized cells require rapid cholesterol transport into mitochondria to support synthesis of glucocorticoids, mineralocorticoids, and sex steroids. As a result, detection of Steroidogenic Acute Regulatory Protein is frequently used to study steroidogenic cell differentiation and endocrine tissue function in adrenal and gonadal systems.

Within the adrenal gland, STARD1 expression is enriched in cells of the adrenal cortex where steroid hormones such as cortisol, aldosterone, and adrenal androgens are synthesized. In contrast, cells of the adrenal medulla produce catecholamines and typically show minimal expression of Steroidogenic Acute Regulatory Protein. This distinct tissue distribution highlights the role of STARD1 as a key regulator of steroid hormone biosynthesis in adrenal cortical cells.

STARD1 also plays a critical role in reproductive endocrinology. In the testis, STARD1 is expressed in Leydig cells that synthesize testosterone, while in the ovary it is detected in steroidogenic theca and luteal cells responsible for progesterone and estrogen production. Because of this restricted expression pattern in steroid-producing endocrine cells, Steroidogenic Acute Regulatory Protein is widely examined in studies investigating gonadal development, hormone regulation, and steroidogenic signaling pathways.

Antibodies targeting STARD1 enable researchers to investigate mitochondrial cholesterol transport, endocrine cell differentiation, and regulation of steroid hormone biosynthesis. Clone STAR/2077 provides a mouse monoclonal antibody reagent designed to detect Steroidogenic Acute Regulatory Protein in studies examining steroidogenic endocrine tissues and the molecular pathways that control steroid hormone production.

Application Notes

Optimal dilution of the STARD1 Antibody should be determined by the researcher.

Immunogen

A recombinant human partial protein (amino acids 39-108) was used as the immunogen for this StAR antibody.

Storage

Store the StAR antibody at 2-8oC (with azide) or aliquot and store at -20oC or colder (without azide).

Alternate Names

StAR antibody, Steroidogenic acute regulatory protein antibody, STARD1 antibody, STAR protein antibody, Cholesterol transport protein StAR antibody

Cross
Bulk Quote Request Form
Name*:
Organization*:
Email*:
Phone Number*:
Catalog No.*:
Comments and Specifics(amount, formulation, etc.)*:
Validation code: Captchapackage Image


Can't read the image? click here to refresh.
    *required field

Your bulk quote request has been submitted successfully!

Please contact us if you have any questions.