• Tel: 858.663.9055
  • SeparatorEmail: info@nsjbio.com
  • Tel: 858.663.9055
  • Email: info@nsjbio.com
Home >> Antibodies >> STAMBP Antibody / STAM-binding protein

STAMBP Antibody / STAM-binding protein (FY12890)

  Catalog No Formulation Size Price (USD)  
Image FY12890 Adding 0.2 ml of distilled water will yield a concentration of 500 ug/ml 100 ug 449
Bulk quote request
Immunohistochemical staining of STAMBP using anti-STAMBP antibody. STAMBP was detected in a paraffin-embedded section of rat testis tissue. Heat mediated antigen retrieval was performed in EDTA buffer (pH 8.0, epitope retrieval solution). The tissue section was blocked with 10% goat serum. The tissue section was then incubated with 2 ug/ml rabbit anti-STAMBP antibody overnight at 4oC. Peroxidase Conjugated Goat Anti-rabbit IgG was used as secondary antibody and incubated for 30 minutes at 37oC. The tissue section was developed using an HRP secondary and DAB substrate.
Western blot analysis of STAMBP using anti-STAMBP antibody. Electrophoresis was performed on a 10% SDS-PAGE gel at 80V (Stacking gel) / 120V (Resolving gel) for 2 hours. Lane 1: monkey Cos-7 whole cell lysates, Lane 2: human 293T whole cell lysates, Lane 3: human Jurkat whole cell lysates, Lane 4: human Hela whole cell lysates. After electrophoresis, proteins were transferred to a nitrocellulose membrane at 150 mA for 50-90 minutes. Blocked the membrane with 5% non-fat milk/TBS for 1.5 hour at RT. The membrane was incubated with rabbit anti-STAMBP antibody at 0.5 ug/ml overnight at 4oC, then washed with TBS-0.1%Tween 3 times with 5 minutes each and probed with a goat anti-rabbit IgG-HRP secondary antibody at a dilution of 1:5000 for 1.5 hour at RT. The signal was developed using an ECL Plus Western Blotting Substrate. The expected molecular weight of STAMBP is ~48 kDa.
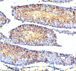
Immunohistochemical staining of STAMBP using anti-STAMBP antibody. STAMBP was detected in a paraffin-embedded section of mouse testis tissue. Heat mediated antigen retrieval was performed in EDTA buffer (pH 8.0, epitope retrieval solution). The tissue section was blocked with 10% goat serum. The tissue section was then incubated with 2 ug/ml rabbit anti-STAMBP antibody overnight at 4oC. Peroxidase Conjugated Goat Anti-rabbit IgG was used as secondary antibody and incubated for 30 minutes at 37oC. The tissue section was developed using an HRP secondary and DAB substrate.
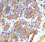
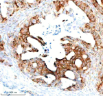
Immunohistochemical staining of STAMBP using anti-STAMBP antibody. STAMBP was detected in a paraffin-embedded section of human ovarian cancer tissue. Heat mediated antigen retrieval was performed in EDTA buffer (pH 8.0, epitope retrieval solution). The tissue section was blocked with 10% goat serum. The tissue section was then incubated with 2 ug/ml rabbit anti-STAMBP antibody overnight at 4oC. Peroxidase Conjugated Goat Anti-rabbit IgG was used as secondary antibody and incubated for 30 minutes at 37oC. The tissue section was developed using an HRP secondary and DAB substrate.
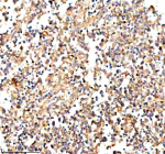
Immunohistochemical staining of STAMBP using anti-STAMBP antibody. STAMBP was detected in a paraffin-embedded section of human spleen tissue. Heat mediated antigen retrieval was performed in EDTA buffer (pH 8.0, epitope retrieval solution). The tissue section was blocked with 10% goat serum. The tissue section was then incubated with 2 ug/ml rabbit anti-STAMBP antibody overnight at 4oC. Peroxidase Conjugated Goat Anti-rabbit IgG was used as secondary antibody and incubated for 30 minutes at 37oC. The tissue section was developed using an HRP secondary and DAB substrate.
Immunohistochemical staining of STAMBP using anti-STAMBP antibody. STAMBP was detected in a paraffin-embedded section of human cervical cancer tissue. Heat mediated antigen retrieval was performed in EDTA buffer (pH 8.0, epitope retrieval solution). The tissue section was blocked with 10% goat serum. The tissue section was then incubated with 2 ug/ml rabbit anti-STAMBP antibody overnight at 4oC. Peroxidase Conjugated Goat Anti-rabbit IgG was used as secondary antibody and incubated for 30 minutes at 37oC. The tissue section was developed using an HRP secondary and DAB substrate.
Immunohistochemical staining of STAMBP using anti-STAMBP antibody. STAMBP was detected in a paraffin-embedded section of human rectal adenocarcinoma tissue. Heat mediated antigen retrieval was performed in EDTA buffer (pH 8.0, epitope retrieval solution). The tissue section was blocked with 10% goat serum. The tissue section was then incubated with 2 ug/ml rabbit anti-STAMBP antibody overnight at 4oC. Peroxidase Conjugated Goat Anti-rabbit IgG was used as secondary antibody and incubated for 30 minutes at 37oC. The tissue section was developed using an HRP secondary and DAB substrate.
Immunohistochemical staining of STAMBP using anti-STAMBP antibody. STAMBP was detected in a paraffin-embedded section of human testis cancer tissue. Heat mediated antigen retrieval was performed in EDTA buffer (pH 8.0, epitope retrieval solution). The tissue section was blocked with 10% goat serum. The tissue section was then incubated with 2 ug/ml rabbit anti-STAMBP antibody overnight at 4oC. Peroxidase Conjugated Goat Anti-rabbit IgG was used as secondary antibody and incubated for 30 minutes at 37oC. The tissue section was developed using an HRP secondary and DAB substrate.
Immunofluorescent staining of STAMBP using anti-STAMBP antibody (red). STAMBP was detected in an immunocytochemical section of cells. Enzyme antigen retrieval was performed using IHC enzyme antigen retrieval reagent for 15 mins. The cells were blocked with 10% goat serum. And then incubated with 5 ug/ml rabbit anti-STAMBP antibody overnight at 4oC. Cy3-conjugated Anti-rabbit IgG Secondary antibody (red) was used as secondary antibody at 1:500 dilution and incubated for 30 minutes at 37oC. Visualize using a fluorescence microscope and filter sets appropriate for the label used.
Flow Cytometry analysis of Jurkat cells using anti-STAMBP antibody. Overlay histogram showing Jurkat cells stained with (Blue line). To facilitate intracellular staining, cells were fixed with 4% paraformaldehyde and permeabilized with permeabilization buffer. The cells were blocked with 10% normal goat serum. And then incubated with rabbit anti-STAMBP antibody (1 ug/million cells) for 30 min at 20oC. DyLight 488 conjugated goat anti-rabbit IgG (5-10 ug/million cells) was used as secondary antibody for 30 minutes at 20oC. Isotype control antibody (Green line) was rabbit IgG (1 ug/million cells) used under the same conditions. Unlabelled sample without incubation with primary antibody and secondary antibody (Red line) was used as a blank control.
Availability 1-2 days
Species Reactivity Human, Monkey, Mouse, Rat
Format Lyophilized
Host Rabbit
Clonality Polyclonal (rabbit origin)
Isotype Rabbit IgG
Purity Immunogen affinity purified
Buffer Each vial contains 4 mg Trehalose, 0.9 mg NaCl, 0.2 mg Na2HPO4.
UniProt O95630
Localization Cytoplasmic, Nuclear
Applications Western Blot : 0.25-0.5ug/ml
Immunohistochemistry : 2-5ug/ml
Immunocytochemistry/Immunofluorescence : 5ug/ml
Flow Cytometry : 1-3ug/million cells
ELISA : 0.1-0.5ug/ml
Limitations This STAMBP antibody is available for research use only.
Review this product on BioCompare and get a $20 Amazon gift card

Related Products

Description

STAMBP antibody detects STAM-binding protein, a deubiquitinating enzyme that regulates endosomal sorting, cytokine receptor trafficking, and signal termination. Encoded by the STAMBP gene on chromosome 2p13.1, this enzyme is a member of the JAMM (JAB1/MPN/Mov34 metalloenzyme) family of zinc-dependent deubiquitinases that cleave ubiquitin chains from endosomal cargo proteins. STAMBP plays a critical role in maintaining receptor turnover and preventing abnormal accumulation of ubiquitinated proteins within endosomes.

Structurally, STAMBP is a 424-amino-acid cytoplasmic protein of approximately 49 kilodaltons containing a JAMM motif responsible for zinc ion coordination and catalytic activity, as well as SH3-binding regions that enable interaction with signal transducing adaptor molecules (STAM1 and STAM2). It localizes to early endosomes and participates in the endosomal sorting complex required for transport (ESCRT) machinery, modulating trafficking of growth factor receptors such as EGFR and cytokine receptors after ligand binding.

The STAMBP antibody is widely used in cell signaling, membrane trafficking, and neurodevelopmental research to study ubiquitin processing, receptor regulation, and lysosomal degradation pathways. Western blot analysis detects a 49 kilodalton band corresponding to STAMBP, while immunofluorescence reveals punctate endosomal staining. This antibody enables precise detection of endosomal deubiquitinating enzyme activity and ESCRT complex assembly.

Functionally, STAMBP removes Lys63-linked ubiquitin chains from endosomal cargo proteins, facilitating recycling or degradation decisions within the endolysosomal pathway. Its activity prevents overactivation of growth factor signaling and supports normal receptor turnover. Mutations in STAMBP cause microcephaly-capillary malformation syndrome (MIC-CAP), a rare congenital disorder characterized by neurodevelopmental delay, seizures, and vascular malformations resulting from defective ubiquitin recycling. Altered STAMBP expression also contributes to tumor progression and immune dysregulation through prolonged receptor signaling. The STAMBP antibody provides a powerful tool for characterizing ubiquitin-dependent trafficking, growth factor regulation, and endosomal sorting mechanisms. NSJ Bioreagents validates this antibody for its applications, ensuring robust and reproducible detection in trafficking and signaling studies.

Application Notes

Optimal dilution of the STAMBP antibody should be determined by the researcher.

Immunogen

E.coli-derived human STAMBP recombinant protein (Position: K187-R424) was used as the immunogen for the STAMBP antibody.

Storage

After reconstitution, the STAMBP antibody can be stored for up to one month at 4oC. For long-term, aliquot and store at -20oC. Avoid repeated freezing and thawing.

Cross
Bulk Quote Request Form
Name*:
Organization*:
Email*:
Phone Number*:
Catalog No.*:
Comments and Specifics(amount, formulation, etc.)*:
Validation code: Captchapackage Image


Can't read the image? click here to refresh.
    *required field

Your bulk quote request has been submitted successfully!

Please contact us if you have any questions.