• Tel: 858.663.9055
  • SeparatorEmail: info@nsjbio.com
  • Tel: 858.663.9055
  • Email: info@nsjbio.com
Home >> Antibodies >> Stabilin 1 Antibody

Stabilin 1 Antibody (R33443)

  Catalog No Formulation Size Price (USD)  
Image R33443-100UG 0.5 mg/ml in 1X TBS, pH7.3, with 0.5% BSA (US sourced) and 0.02% sodium azide 100 ug 475
Bulk quote request
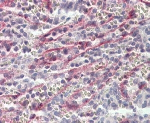
IHC testing of FFPE human spleen with Stabilin 1 antibody at 4ug/ml. HIER: steamed with pH6 citrate buffer, AP-staining.
Availability 1-3 business days
Species Reactivity Human
Predicted Reactivity Cow, Dog, Pig
Format Antigen affinity purified
Host Goat
Clonality Polyclonal (goat origin)
Isotype Goat Ig
Purity Antigen affinity
Gene ID 23166
Applications Immunohistochemistry (FFPE) : 3-5ug/ml
ELISA (peptide) LOD : 1:8000
Limitations This Stabilin 1 antibody is available for research use only.
Review this product on BioCompare and get a $20 Amazon gift card

Description

Additional name(s) for this target protein: STAB1

Application Notes

Optimal dilution of the Stabilin 1 antibody should be determined by the researcher.

Immunogen

Amino acids DFPDTQRILTVK were used as the immunogen for this Stabilin 1 antibody.

Storage

Aliquot and store the Stabilin 1 antibody at -20oC.

Cross
Bulk Quote Request Form
Name*:
Organization*:
Email*:
Phone Number*:
Catalog No.*:
Comments and Specifics(amount, formulation, etc.)*:
Validation code: Captchapackage Image


Can't read the image? click here to refresh.
    *required field

Your bulk quote request has been submitted successfully!

Please contact us if you have any questions.