• Tel: 858.663.9055
  • SeparatorEmail: info@nsjbio.com
  • Tel: 858.663.9055
  • Email: info@nsjbio.com
Home >> Antibodies >> SSTR1 Antibody Somatostatin Receptor 1

SSTR1 Antibody Somatostatin Receptor 1 (R30778)

  Catalog No Formulation Size Price (USD)  
Image R30778 0.5mg/ml if reconstituted with 0.2ml sterile DI water 100 ug 449
Bulk quote request
Western blot testing of SSTR1 antibody and rat intestine lysate; The protein is routinely visualized from 42~80 kDa due to glycosylation.
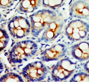
IHC testing of FFPE rat intestine tissue with SSTR1 antibody at 1ug/ml. HIER: steam section in pH6 citrate buffer for 20 min and allow to cool prior to testing.
Availability 1-3 business days
Species Reactivity Human, Mouse, Rat
Format Antigen affinity purified
Host Rabbit
Clonality Polyclonal (rabbit origin)
Isotype Rabbit IgG
Purity Antigen affinity
Buffer Lyophilized from 1X PBS with 2.5% BSA and 0.025% sodium azide/thimerosal
UniProt P30872
Localization Membranous, cytoplasmic
Applications Western Blot : 0.5-1ug/ml
IHC (FFPE) : 0.5-1ug/ml
Limitations This SSTR1 antibody is available for research use only.
Review this product on BioCompare and get a $20 Amazon gift card

Description

Somatostatin receptor type 1 is a protein that in humans is encoded by the SSTR1 gene. The SSTR1 gene is mapped to chromosome 14. Somatostatin acts at many sites to inhibit the release of many hormones and other secretory proteins. The biological effects of somatostatin are probably mediated by a family of G protein-coupled receptors that are expressed in a tissue-specific manner. The encoded protein is a member of the superfamily of somatostatin receptors having seven transmembrane segments, and is expressed in highest levels in jejunum and stomach.

Application Notes

Titration of the SSTR1 antibody may be required due to differences in protocols and secondary/substrate sensitivity.

Immunogen

Amino acids 361-381 (RAYSVEDFQPENLESGGVFRN) were used as the immunogen for this SSTR1 antibody (100% homologous in human, mouse and rat).

Storage

The lyophilized SSTR1 antibody can be stored at 4oC to -20oC. After reconstitution, aliquot and store at -20oC. Avoid repeated freezing and thawing.

Cross
Bulk Quote Request Form
Name*:
Organization*:
Email*:
Phone Number*:
Catalog No.*:
Comments and Specifics(amount, formulation, etc.)*:
Validation code: Captchapackage Image


Can't read the image? click here to refresh.
    *required field

Your bulk quote request has been submitted successfully!

Please contact us if you have any questions.