• Tel: 858.663.9055
  • SeparatorEmail: info@nsjbio.com
  • Tel: 858.663.9055
  • Email: info@nsjbio.com
Home >> Antibodies >> Somatostatin 28 Antibody / SST Antibody

Somatostatin 28 Antibody / SST Antibody [clone 31S68] (FY12635)

  Catalog No Formulation Size Price (USD)  
Image FY12635 Rabbit IgG in phosphate buffered saline, pH 7.4, 150mM NaCl, 0.02% sodium azide and 50% glycerol, 0.4-0.5mg/ml BSA 100 ul 449
Microvalidated Recrabbitmono
Bulk quote request
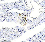
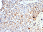
Somatostatin 28 Antibody. Immunohistochemistry analysis of formalin-fixed, paraffin-embedded mouse pancreas tissue using a rabbit Somatostatin 28 antibody. Heat-induced antigen retrieval was performed in EDTA buffer at pH 8.0. The section was blocked with goat serum and incubated with primary antibody overnight at 4oC, followed by a peroxidase-conjugated goat anti-rabbit IgG secondary antibody. Cytoplasmic HRP-DAB brown staining is observed in islet cells within pancreatic tissue, consistent with Somatostatin 28 expression in endocrine cell populations.
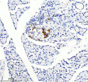
Somatostatin 28 Antibody. Immunohistochemistry analysis of formalin-fixed, paraffin-embedded rat pancreas tissue using a rabbit Somatostatin 28 antibody. Heat-induced antigen retrieval was performed in EDTA buffer at pH 8.0. The section was blocked with goat serum and incubated with primary antibody overnight at 4oC, followed by a peroxidase-conjugated goat anti-rabbit IgG secondary antibody. Cytoplasmic HRP-DAB brown staining is observed in pancreatic islet cells, consistent with Somatostatin 28 expression in endocrine cell populations within the pancreas.
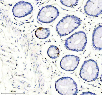
Somatostatin 28 Antibody. Immunohistochemistry analysis of formalin-fixed, paraffin-embedded human colon tissue using a rabbit Somatostatin 28 antibody. Heat-induced antigen retrieval was performed in EDTA buffer at pH 8.0. The section was blocked with goat serum and incubated with primary antibody overnight at 4oC, followed by a peroxidase-conjugated goat anti-rabbit IgG secondary antibody. Cytoplasmic HRP-DAB brown staining is observed in scattered enteroendocrine Somatostatin 28 expression in neuroendocrine cell populations of the gastrointestinal tract.
Availability 2-3 weeks
Species Reactivity Human, Mouse, Rat
Format Liquid
Host Rabbit
Clonality Recombinant Rabbit Monoclonal
Isotype Rabbit IgG
Clone Name 31S68
Purity Affinity-chromatography
Buffer Rabbit IgG in phosphate buffered saline, pH 7.4, 150mM NaCl, 0.02% sodium azide and 50% glycerol, 0.4-0.5mg/ml BSA.
UniProt P61278
Applications Immunohistochemistry : 1:50-1:200
Limitations This Somatostatin 28 antibody is available for research use only.
Review this product on BioCompare and get a $20 Amazon gift card

Related Products

Description

Somatostatin 28 antibody, also known as SST antibody or Somatostatin peptide hormone antibody, targets a peptide derived from the Somatostatin precursor encoded by the SST gene. SST Antibody / Somatostatin 28 Antibody is designed to detect Somatostatin 28, a biologically active cleavage product of preprosomatostatin that functions as a key inhibitory hormone in endocrine and neuroendocrine systems. Somatostatin is widely expressed in specialized secretory cells, including pancreatic delta cells and gastrointestinal enteroendocrine cells, where it regulates hormone secretion and cellular signaling.

Somatostatin is initially synthesized as a precursor protein that undergoes proteolytic processing to generate multiple active peptides, most notably Somatostatin 14 and Somatostatin 28. Somatostatin 28 represents an extended form that retains the functional core sequence of Somatostatin 14 while exhibiting distinct biological distribution and regulatory roles. Antibodies raised against Somatostatin 28-derived peptides are therefore useful for detecting hormone-producing cells within endocrine tissues while maintaining strong recognition of the biologically active region of the molecule.

This SST Antibody / Somatostatin 28 Antibody is uniquely positioned for detecting Somatostatin-expressing endocrine cell populations, with emphasis on hormone-producing cells in pancreas, gastrointestinal tract, and neuroendocrine tissues. In histological applications, Somatostatin 28 expression is typically observed in scattered endocrine cells, including pancreatic islet delta cells and enteroendocrine cells within mucosal epithelium. These cells exhibit characteristic cytoplasmic localization consistent with peptide hormone storage and secretion.

Somatostatin plays a critical role in regulating secretion of multiple hormones, including insulin, glucagon, growth hormone, and gastrointestinal peptides. Through paracrine and endocrine signaling mechanisms, it acts as a global inhibitory regulator of cellular activity. Detection of Somatostatin 28 therefore provides insight into endocrine regulation, neuroendocrine differentiation, and hormone-mediated signaling processes across tissues.

In research settings, Somatostatin 28 is frequently used as a marker of neuroendocrine differentiation and endocrine cell identity. Its expression pattern can help identify specialized cell populations and characterize tissue organization within endocrine organs. Because Somatostatin peptides are derived from a common precursor, antibodies targeting Somatostatin 28-derived sequences may also recognize overlapping regions within related peptide forms, making careful interpretation of results important depending on experimental context.

Overall, SST Antibody / Somatostatin 28 Antibody provides a reliable tool for detecting Somatostatin-expressing cells, enabling detailed study of endocrine biology, neuroendocrine differentiation, and hormone-regulated signaling pathways in tissue-based and cellular models.

Application Notes

Optimal dilution of the Somatostatin 28 antibody should be determined by the researcher.

Immunogen

A synthesized peptide derived from human Somatostatin 28 was used as the immunogen for the Somatostatin 28 antibody.

Storage

Store the Somatostatin 28 antibody at -20oC.

Alternate Names

Somatostatin 28 antibody, SST-28 antibody, Somatostatin antibody, SST antibody, Somatostatin peptide hormone antibody

Cross
Bulk Quote Request Form
Name*:
Organization*:
Email*:
Phone Number*:
Catalog No.*:
Comments and Specifics(amount, formulation, etc.)*:
Validation code: Captchapackage Image


Can't read the image? click here to refresh.
    *required field

Your bulk quote request has been submitted successfully!

Please contact us if you have any questions.