• Tel: 858.663.9055
  • SeparatorEmail: info@nsjbio.com
  • Tel: 858.663.9055
  • Email: info@nsjbio.com
Home >> Antibodies >> SSB Antibody / Sjoegren syndrome type B antigen / Lupus La protein

SSB Antibody / Sjoegren syndrome type B antigen / Lupus La protein (RQ6579)

  Catalog No Formulation Size Price (USD)  
Image RQ6579 0.5mg/ml if reconstituted with 0.2ml sterile DI water 100 ug 449
Bulk quote request
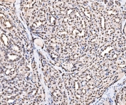
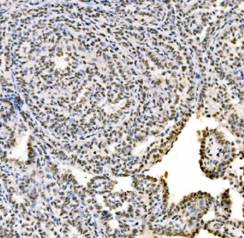
IHC staining of FFPE human Hashimoto's thyroiditis tissue with SSB antibody. HIER: boil tissue sections in pH8 EDTA for 20 min and allow to cool before testing.
IHC staining of FFPE human liver cancer tissue with SSB antibody. HIER: boil tissue sections in pH8 EDTA for 20 min and allow to cool before testing.
IHC staining of FFPE human thyroid papillary carcinoma tissue with SSB antibody. HIER: boil tissue sections in pH8 EDTA for 20 min and allow to cool before testing.
IHC staining of FFPE human laryngeal carcinoma tissue with SSB antibody. HIER: boil tissue sections in pH8 EDTA for 20 min and allow to cool before testing.
Western blot testing of human 1) K562, 2) HEL and 3) HL60 cell lysate with SSB antibody. Predicted molecular weight ~47 kDa.
Immunofluorescent staining of FFPE human Caco-2 cells with SSB antibody (green) and DAPI nuclear stain (blue). HIER: steam section in pH6 citrate buffer for 20 min.
Flow cytometry testing of human A431 cells with SSB antibody at 1ug/million cells (blocked with goat sera); Red=cells alone, Green=isotype control, Blue= SSB antibody.
Availability 1-3 business days
Species Reactivity Human
Format Antigen affinity purified
Host Rabbit
Clonality Polyclonal (rabbit origin)
Isotype Rabbit IgG
Purity Antigen affinity purified
Buffer Lyophilized from 1X PBS with 2% Trehalose
UniProt P05455
Localization Nuclear
Applications Western Blot : 1-2ug/ml
Immunohistochemistry (FFPE) : 2-5ug/ml
Immunofluorescence (FFPE) : 5ug/ml
Flow Cytometry : 1-3ug/million cells
Direct ELISA : 0.1-0.5ug/ml
Limitations This SSB antibody is available for research use only.
Review this product on BioCompare and get a $20 Amazon gift card

Related Products

  • Applications : IHC, FACS, WB, ELISA
    Reactivity : Human
    Pred. Reactivity : Bovine
  • Applications : IHC, WB, ELISA
    Reactivity : Human
    Pred. Reactivity : Rabbit

Description

Sjogren syndrome type B antigen (SS-B) also known as Lupus La protein is a protein that in humans is encoded by the SSB gene. The protein encoded by this gene is involved in diverse aspects of RNA metabolism, including binding and protecting poly(U) termini of nascent RNA polymerase III transcripts from exonuclease digestion, processing 5' and 3' ends of pre-tRNA precursors, acting as an RNA chaperone, and binding viral RNAs associated with hepatitis C virus. Autoantibodies reacting with this protein are found in the sera of patients with Sjogren syndrome and systemic lupus erythematosus. Alternative promoter usage results in two different transcript variants which encode the same protein.

Application Notes

Optimal dilution of the SSB antibody should be determined by the researcher.

Immunogen

Recombinant human protein (amino acids D6-L283) was used as the immunogen for the SSB antibody.

Storage

After reconstitution, the SSB antibody can be stored for up to one month at 4oC. For long-term, aliquot and store at -20oC. Avoid repeated freezing and thawing.

Cross
Bulk Quote Request Form
Name*:
Organization*:
Email*:
Phone Number*:
Catalog No.*:
Comments and Specifics(amount, formulation, etc.)*:
Validation code: Captchapackage Image


Can't read the image? click here to refresh.
    *required field

Your bulk quote request has been submitted successfully!

Please contact us if you have any questions.