• Tel: 858.663.9055
  • SeparatorEmail: info@nsjbio.com
  • Tel: 858.663.9055
  • Email: info@nsjbio.com
Home >> Antibodies >> SRY-box transcription factor 10 Antibody / SOX10

SRY-box transcription factor 10 Antibody / SOX10 [clone rSOX10/13506] (V5999)

  Catalog No Formulation Size Price (USD)  
Image V5999-100UG 0.2 mg/ml in 1X PBS with 0.05% BSA, 0.05% sodium azide 100 ug 559
Image
V5999-20UG 0.2 mg/ml in 1X PBS with 0.05% BSA, 0.05% sodium azide 20 ug 259
Image
V5999SAF-100UG 1 mg/ml in 1X PBS; BSA free, sodium azide free 100 ug 559
Microvalidated Recmousemono
Bulk quote request
Western blot analysis of SOX10 antibody (clone rSOX10/13506). Human brain tissue lysate and A431 whole cell lysate were resolved by SDS-PAGE and immunoblotted with SRY-box transcription factor 10 antibody. A specific band is detected at approximately 53 kDa, consistent with the predicted molecular weight of SOX10.
Western blot analysis of SOX10 antibody (clone rSOX10/13506). B16 whole cell lysate was resolved by SDS-PAGE and immunoblotted with SRY-box transcription factor 10 antibody. A prominent band is observed at approximately 50-55 kDa, consistent with the predicted molecular weight of SOX10.
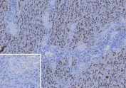
Immunohistochemistry analysis of SOX10 antibody (clone rSOX10/13506) in formalin-fixed, paraffin-embedded human melanoma tissue. Strong nuclear staining is observed in tumor cells, consistent with SRY-box transcription factor 10 expression in melanocytic lineage cells. The inset shows PBS used in place of primary antibody as a negative control, demonstrating absence of specific staining. Antigen retrieval was performed by heating tissue sections in 10 mM Tris with 1 mM EDTA, pH 9.0, for 45 minutes at 95oC followed by cooling at room temperature for 20 minutes.
SDS-PAGE Analysis of Purified SRY-box transcription factor 10/SOX10 antibody (rSOX10/13506). Confirmation of Purity and Integrity of Antibody.
Species Reactivity Human, Mouse
Format Purified
Host Mouse
Clonality Recombinant Mouse Monoclonal
Isotype Mouse IgG2b, kappa
Clone Name rSOX10/13506
UniProt P56693
Localization Cytoplasm, Mitochondrion outer membrane, Nucleus
Applications Immunohistochemistry (FFPE) : 1-2ug/ml
Western Blot : 2-4ug/ml
Limitations This SRY-box transcription factor 10/SOX10 antibody is available for research use only.
Review this product on BioCompare and get a $20 Amazon gift card

Related Products

Description

SRY-box transcription factor 10 Antibody recognizes SOX10, a nuclear DNA-binding protein encoded by the SOX10 gene and belonging to the SOX family of high mobility group box transcription factors. SOX10 contains a conserved HMG-box domain that enables sequence-specific DNA binding and transcriptional activation of genes essential for neural crest development and lineage specification. This transcription factor localizes predominantly to the nucleus, consistent with its regulatory role in gene expression programs controlling cell fate determination.

SOX10 plays a critical role during embryogenesis, where it regulates neural crest cell survival, migration, and differentiation. It is indispensable for formation of melanocytes, Schwann cells, peripheral glial cells, and elements of the enteric nervous system. In melanocyte biology, SOX10 functions upstream of MITF and influences pigmentation pathways by regulating genes involved in melanin synthesis and melanocyte maintenance. In peripheral nerve development, SOX10 contributes to Schwann cell maturation and myelination through interaction with signaling pathways including Wnt, Notch, and neuregulin-mediated mechanisms.

In adult tissues, SOX10 expression is largely restricted to melanocytes within the basal epidermis and hair follicles and to Schwann cells associated with peripheral nerves. This lineage-restricted distribution makes SOX10 antibody a valuable marker for identifying neural crest-derived cell populations. Nuclear staining is characteristic of SOX10 detection and reflects its function as a transcription factor.

SOX10 has significant relevance in oncology research. Expression is frequently observed in melanoma, malignant peripheral nerve sheath tumors, and clear cell sarcoma, where nuclear staining supports identification of melanocytic or neural crest differentiation. SOX10 expression has also been reported in subsets of triple-negative breast carcinoma and salivary gland tumors exhibiting basal-like or myoepithelial characteristics. Dysregulated SOX10 activity may contribute to tumor progression and cellular plasticity in melanoma and related malignancies.

SRY-box transcription factor 10 Antibody / SOX10 (clone rSOX10/13506) is a recombinant monoclonal antibody suitable for detecting SOX10 protein expression in research applications focused on neural crest biology, melanocyte differentiation, peripheral nerve studies, and tumor characterization.

Application Notes

Optimal dilution of the SRY-box transcription factor 10/SOX10 antibody should be determined by the researcher.

Immunogen

Recombinant human SOX10 protein fragment (around amino acids 115-269) (exact sequence is proprietary) was used as the immunogen for the SRY-box transcription factor 10/SOX10 antibody.

Storage

SRY-box transcription factor 10/SOX10 antibody with sodium azide - store at 2 to 8oC; antibody without sodium azide - store at -20 to -80oC.

Cross
Bulk Quote Request Form
Name*:
Organization*:
Email*:
Phone Number*:
Catalog No.*:
Comments and Specifics(amount, formulation, etc.)*:
Validation code: Captchapackage Image


Can't read the image? click here to refresh.
    *required field

Your bulk quote request has been submitted successfully!

Please contact us if you have any questions.