• Tel: 858.663.9055
  • SeparatorEmail: info@nsjbio.com
  • Tel: 858.663.9055
  • Email: info@nsjbio.com
Home >> Antibodies >> SRSF1 Antibody / SF2

SRSF1 Antibody / SF2 (F54891)

  Catalog No Formulation Size Price (USD)  
Image F54891-0.4ML In 1X PBS, pH 7.4, with 0.09% sodium azide 0.4 ml 439
Image
F54891-0.08ML In 1X PBS, pH 7.4, with 0.09% sodium azide 0.08 ml 205
Bulk quote request
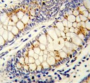
IHC testing of FFPE human colon carcinoma tissue with SRSF1 antibody. HIER: steam section in pH6 citrate buffer for 20 min and allow to cool prior to staining.
Western blot testing of human HL60 cell lysate with SRSF1 antibody. Predicted molecular weight ~28 kDa.
Flow cytometry testing of human WiDr cells with SRSF1 antibody; Blue=isotype control, Green= SRSF1 antibody.
Availability 1-3 business days
Species Reactivity Human
Format Purified
Host Rabbit
Clonality Polyclonal (rabbit origin)
Isotype Rabbit Ig
Purity Purified
UniProt Q07955
Localization Cytoplasmic
Applications Flow Cytometry : 1:10-1:50 (1x10e6 cells)
Western Blot : 1:500-1:1000
Immunohistochemistry (FFPE) : 1:50-1:100
Limitations This SRSF1 antibody is available for research use only.
Review this product on BioCompare and get a $20 Amazon gift card

Related Products

Description

SRSF1 is a member of the arginine/serine-rich splicing factor protein family, and functions in both constitutive and alternative pre-mRNA splicing. The protein binds to pre-mRNA transcripts and components of the spliceosome, and can either activate or repress splicing depending on the location of the pre-mRNA binding site. The protein's ability to activate splicing is regulated by phosphorylation and interactions with other splicing factor associated proteins.

Application Notes

The stated application concentrations are suggested starting points. Titration of the SRSF1 antibody may be required due to differences in protocols and secondary/substrate sensitivity.

Immunogen

A portion of amino acids 158-186 from the human protein was used as the immunogen for the SRSF1 antibody.

Storage

Aliquot the SRSF1 antibody and store frozen at -20oC or colder. Avoid repeated freeze-thaw cycles.

Cross
Bulk Quote Request Form
Name*:
Organization*:
Email*:
Phone Number*:
Catalog No.*:
Comments and Specifics(amount, formulation, etc.)*:
Validation code: Captchapackage Image


Can't read the image? click here to refresh.
    *required field

Your bulk quote request has been submitted successfully!

Please contact us if you have any questions.