• Tel: 858.663.9055
  • SeparatorEmail: info@nsjbio.com
  • Tel: 858.663.9055
  • Email: info@nsjbio.com
Home >> Antibodies >> SRRT Antibody / ARS2

SRRT Antibody / ARS2 (FY12196)

  Catalog No Formulation Size Price (USD)  
Image FY12196 Adding 0.2 ml of distilled water will yield a concentration of 500 ug/ml 100 ug 449
Bulk quote request
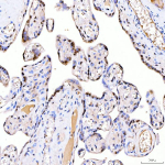
Immunohistochemical staining of SRRT using anti-SRRT antibody. SRRT was detected in a paraffin-embedded section of human lung adenocarcinoma tissue. Heat mediated antigen retrieval was performed in EDTA buffer (pH 8.0, epitope retrieval solution). The tissue section was blocked with 10% goat serum. The tissue section was then incubated with 2 ug/ml rabbit anti-SRRT antibody overnight at 4oC. Peroxidase Conjugated Goat Anti-rabbit IgG was used as secondary antibody and incubated for 30 minutes at 37oC. The tissue section was developed using an HRP secondary and DAB substrate.
Western blot analysis of SRRT using anti-SRRT antibody. Electrophoresis was performed on a 8% SDS-PAGE gel at 80V (Stacking gel) / 120V (Resolving gel) for 2 hours. Lane 1: human MCF-7 whole cell lysates, Lane 2: human Hela whole cell lysates, Lane 3: human Caco-2 whole cell lysates, Lane 4: human THP-1 whole cell lysates, Lane 5: rat brain tissue lysates, Lane 6: rat C6 whole cell lysates, Lane 7: mouse brain tissue lysates, Lane 8: mouse Neuro-2a whole cell lysates. After electrophoresis, proteins were transferred to a nitrocellulose membrane at 150 mA for 50-90 minutes. Blocked the membrane with 5% non-fat milk/TBS for 1.5 hour at RT. The membrane was incubated with rabbit anti-SRRT antibody at 0.5 ug/ml overnight at 4oC, then washed with TBS-0.1%Tween 3 times with 5 minutes each and probed with a goat anti-rabbit IgG-HRP secondary antibody at a dilution of 1:5000 for 1.5 hour at RT. The signal is developed using an ECL Plus Western Blotting Substratewith Tanon 5200 system. A specific band was detected for SRRT at approximately 101 kDa. The expected band size for SRRT is at 101 kDa.
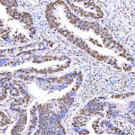
Immunohistochemical staining of SRRT using anti-SRRT antibody. SRRT was detected in a paraffin-embedded section of human appendix adenocarcinoma tissue. Heat mediated antigen retrieval was performed in EDTA buffer (pH 8.0, epitope retrieval solution). The tissue section was blocked with 10% goat serum. The tissue section was then incubated with 2 ug/ml rabbit anti-SRRT antibody overnight at 4oC. Peroxidase Conjugated Goat Anti-rabbit IgG was used as secondary antibody and incubated for 30 minutes at 37oC. The tissue section was developed using an HRP secondary and DAB substrate.
Immunohistochemical staining of SRRT using anti-SRRT antibody. SRRT was detected in a paraffin-embedded section of human breast cancer tissue. Heat mediated antigen retrieval was performed in EDTA buffer (pH 8.0, epitope retrieval solution). The tissue section was blocked with 10% goat serum. The tissue section was then incubated with 2 ug/ml rabbit anti-SRRT antibody overnight at 4oC. Peroxidase Conjugated Goat Anti-rabbit IgG was used as secondary antibody and incubated for 30 minutes at 37oC. The tissue section was developed using an HRP secondary and DAB substrate.
Immunohistochemical staining of SRRT using anti-SRRT antibody. SRRT was detected in a paraffin-embedded section of human endometrioid adenocarcinoma tissue. Heat mediated antigen retrieval was performed in EDTA buffer (pH 8.0, epitope retrieval solution). The tissue section was blocked with 10% goat serum. The tissue section was then incubated with 2 ug/ml rabbit anti-SRRT antibody overnight at 4oC. Peroxidase Conjugated Goat Anti-rabbit IgG was used as secondary antibody and incubated for 30 minutes at 37oC. The tissue section was developed using an HRP secondary and DAB substrate.
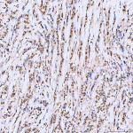
Immunohistochemical staining of SRRT using anti-SRRT antibody. SRRT was detected in a paraffin-embedded section of human liver cancer tissue. Heat mediated antigen retrieval was performed in EDTA buffer (pH 8.0, epitope retrieval solution). The tissue section was blocked with 10% goat serum. The tissue section was then incubated with 2 ug/ml rabbit anti-SRRT antibody overnight at 4oC. Peroxidase Conjugated Goat Anti-rabbit IgG was used as secondary antibody and incubated for 30 minutes at 37oC. The tissue section was developed using an HRP secondary and DAB substrate.
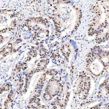
Immunohistochemical staining of SRRT using anti-SRRT antibody. SRRT was detected in a paraffin-embedded section of human colon adenocarcinoma tissue. Heat mediated antigen retrieval was performed in EDTA buffer (pH 8.0, epitope retrieval solution). The tissue section was blocked with 10% goat serum. The tissue section was then incubated with 2 ug/ml rabbit anti-SRRT antibody overnight at 4oC. Peroxidase Conjugated Goat Anti-rabbit IgG was used as secondary antibody and incubated for 30 minutes at 37oC. The tissue section was developed using an HRP secondary and DAB substrate.
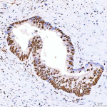
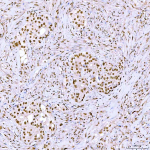
Immunohistochemical staining of SRRT using anti-SRRT antibody. SRRT was detected in a paraffin-embedded section of human ovary serous carcinoma tissue. Heat mediated antigen retrieval was performed in EDTA buffer (pH 8.0, epitope retrieval solution). The tissue section was blocked with 10% goat serum. The tissue section was then incubated with 2 ug/ml rabbit anti-SRRT antibody overnight at 4oC. Peroxidase Conjugated Goat Anti-rabbit IgG was used as secondary antibody and incubated for 30 minutes at 37oC. The tissue section was developed using an HRP secondary and DAB substrate.
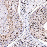
Immunohistochemical staining of SRRT using anti-SRRT antibody. SRRT was detected in a paraffin-embedded section of human penis squamous cell carcinoma tissue. Heat mediated antigen retrieval was performed in EDTA buffer (pH 8.0, epitope retrieval solution). The tissue section was blocked with 10% goat serum. The tissue section was then incubated with 2 ug/ml rabbit anti-SRRT antibody overnight at 4oC. Peroxidase Conjugated Goat Anti-rabbit IgG was used as secondary antibody and incubated for 30 minutes at 37oC. The tissue section was developed using an HRP secondary and DAB substrate.
Immunohistochemical staining of SRRT using anti-SRRT antibody. SRRT was detected in a paraffin-embedded section of human placenta tissue. Heat mediated antigen retrieval was performed in EDTA buffer (pH 8.0, epitope retrieval solution). The tissue section was blocked with 10% goat serum. The tissue section was then incubated with 2 ug/ml rabbit anti-SRRT antibody overnight at 4oC. Peroxidase Conjugated Goat Anti-rabbit IgG was used as secondary antibody and incubated for 30 minutes at 37oC. The tissue section was developed using an HRP secondary and DAB substrate.
Immunohistochemical staining of SRRT using anti-SRRT antibody. SRRT was detected in a paraffin-embedded section of mouse brain tissue. Heat mediated antigen retrieval was performed in EDTA buffer (pH 8.0, epitope retrieval solution). The tissue section was blocked with 10% goat serum. The tissue section was then incubated with 2 ug/ml rabbit anti-SRRT antibody overnight at 4oC. Peroxidase Conjugated Goat Anti-rabbit IgG was used as secondary antibody and incubated for 30 minutes at 37oC. The tissue section was developed using an HRP secondary and DAB substrate.
Immunohistochemical staining of SRRT using anti-SRRT antibody. SRRT was detected in a paraffin-embedded section of rat brain tissue. Heat mediated antigen retrieval was performed in EDTA buffer (pH 8.0, epitope retrieval solution). The tissue section was blocked with 10% goat serum. The tissue section was then incubated with 2 ug/ml rabbit anti-SRRT antibody overnight at 4oC. Peroxidase Conjugated Goat Anti-rabbit IgG was used as secondary antibody and incubated for 30 minutes at 37oC. The tissue section was developed using an HRP secondary and DAB substrate.
Immunofluorescent staining of FFPE human A549 cells with SRRT antibody (green) and Alpha Tubulin mAb (red). HIER: steam section in pH6 citrate buffer for 20 min.
Immunoprecipitation of SRRT protein from 500ug of human MCF7 whole cell lysate with 2ug of SRRT antibody.
Flow cytometry analysis of fixed and permeabilized human MCF7 cells with SRRT antibody at 1ug/million cells (blocked with goat sera); Red=cells alone, Green=isotype control, Blue= SRRT antibody.
Availability 1-2 days
Species Reactivity Human, Mouse, Rat
Format Lyophilized
Host Rabbit
Clonality Polyclonal (rabbit origin)
Isotype Rabbit IgG
Purity Immunogen affinity purified
Buffer Each vial contains 4 mg Trehalose, 0.9 mg NaCl, 0.2 mg Na2HPO4.
UniProt Q9BXP5
Localization Nuclear, cytoplasmic
Applications Western Blot : 0.25-0.5ug/ml
Immunohistochemistry : 2-5ug/ml
Immunocytochemistry : 5ug/ml
Immunofluorescence : 5ug/ml
Immunoprecipitation : 2-4ug/500ug of lysate
Flow Cytometry : 1-3ug/million cells
ELISA : 0.1-0.5ug/ml
Limitations This SRRT antibody is available for research use only.
Review this product on BioCompare and get a $20 Amazon gift card

Related Products

  • Applications : WB, ELISA (peptide)
    Reactivity : Human, Mouse, Rat
    Pred. Reactivity : Cow, Dog, Pig

Description

SRRT antibody detects Serrate RNA effector molecule homolog, also known as ARS2, encoded by the SRRT gene on chromosome 7q22.1. SRRT antibody is widely used in studies of RNA metabolism, microRNA processing, and transcriptional regulation. SRRT/ARS2 functions as a nuclear cap-binding complex (CBC)-associated factor, linking transcription termination with RNA processing. It is expressed across many tissues, with elevated levels in proliferating cells where RNA synthesis and processing are highly active.

Structurally, SRRT contains RNA-binding domains and conserved regions that mediate interactions with the cap-binding complex proteins CBP80 and CBP20. These interactions stabilize RNA transcripts and recruit processing machinery. SRRT also associates with the microprocessor complex component DROSHA, supporting microRNA biogenesis. Alternative splicing generates isoforms with distinct regulatory functions.

Functionally, SRRT/ARS2 acts as a multifunctional adaptor at the intersection of transcription and RNA processing. It coordinates transcription termination, 3' end formation, and maturation of non-coding RNAs. SRRT also regulates microRNA production by stabilizing pri-miRNA transcripts and facilitating their cleavage by the DROSHA-DGCR8 complex. Knockdown experiments reduce microRNA levels, impairing gene silencing and altering cell proliferation. Researchers use SRRT antibody to study RNA metabolism, transcription regulation, and microRNA biology.

Clinically, SRRT has been implicated in cancer and developmental disorders. Overexpression of SRRT supports tumor cell proliferation by enhancing RNA processing efficiency. Mutations or deletions of SRRT disrupt RNA maturation and contribute to developmental abnormalities. SRRT has also been linked to antiviral defense, where it regulates RNA stability during infection. NSJ Bioreagents provides SRRT antibody to support research in RNA biology, oncology, and developmental disease.

Experimentally, SRRT antibody is used in western blotting to detect the ~100 kDa protein, in immunofluorescence microscopy to study nuclear localization, and in immunohistochemistry to evaluate tissue-specific expression. Co-immunoprecipitation with SRRT antibody enables identification of RNA processing complexes and binding partners.

Application Notes

Optimal dilution of the SRRT antibody should be determined by the researcher.

Immunogen

E.coli-derived human ARS2/SRRT recombinant protein (Position: H125-Q793) was used as the immunogen for the SRRT antibody.

Storage

After reconstitution, the SRRT antibody can be stored for up to one month at 4oC. For long-term, aliquot and store at -20oC. Avoid repeated freezing and thawing.

Cross
Bulk Quote Request Form
Name*:
Organization*:
Email*:
Phone Number*:
Catalog No.*:
Comments and Specifics(amount, formulation, etc.)*:
Validation code: Captchapackage Image


Can't read the image? click here to refresh.
    *required field

Your bulk quote request has been submitted successfully!

Please contact us if you have any questions.