• Tel: 858.663.9055
  • SeparatorEmail: info@nsjbio.com
  • Tel: 858.663.9055
  • Email: info@nsjbio.com
Home >> Antibodies >> SREBF2 Antibody / SREBP2

SREBF2 Antibody / SREBP2 [clone SREBP2/1580] (V9612)

  Catalog No Formulation Size Price (USD)  
Image V9612-100UG 0.2 mg/ml in 1X PBS with 0.1 mg/ml BSA (US sourced), 0.05% sodium azide 100 ug 559
Image
V9612-20UG 0.2 mg/ml in 1X PBS with 0.1 mg/ml BSA (US sourced), 0.05% sodium azide 20 ug 259
Image
V9612SAF-100UG 1 mg/ml in 1X PBS; BSA free, sodium azide free 100 ug 559
Bulk quote request
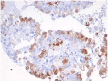
IHC staining of FFPE human renal carcinoma tissue with SREBF2 antibody (clone SREBP2/1580) at 2ug/ml in PBS for 30min RT. HIER: boil tissue sections in pH 9 10mM Tris with 1mM EDTA for 20 min and allow to cool before testing.
Availability 1-3 business days
Species Reactivity Human
Format Purified
Host Mouse
Clonality Monoclonal (mouse origin)
Isotype Mouse IgG1, kappa
Clone Name SREBP2/1580
Purity Protein A/G affinity
UniProt Q12772
Localization Nucleus, Cytoplasm
Applications Immunohistochemistry (FFPE) : 1-2ug/ml
Limitations This SREBF2 antibody is available for research use only.
Review this product on BioCompare and get a $20 Amazon gift card

Related Products

Description

The low density lipoprotein (LDL) receptor mediates the endocytic uptake of cholesterol-carrying lipoproteins, thereby controlling cholesterol levels in cells and plasma. Transcription of the LDL receptor gene is controlled by a ten base pair sequence in the 5 flanking region, designated sterol regulatory element 1 (SRE-1). When cellular sterol stores are depleted, the element is activated, the gene is transcribed and the cellular uptake of LDL increases. A set of SREbinding proteins (SREBPs) have been identified, including two basic helixloop-helix-leucine zipper (bHLH-zip) transcription factors, designated SREBP-1 and SREBP-2. SREBP-1 and SREBP-2 have been shown to have the same specificity for SRE-1 in vitro and to activate the transcription of reporter genes containing SRE-1 in the same way.

Application Notes

Optimal dilution of the SREBF2 antibody should be determined by the researcher.

Immunogen

Recombinant full-length human protein was used as the immunogen for the SREBF2 antibody.

Storage

Aliquot the SREBF2 antibody and store frozen at -20oC or colder. Avoid repeated freeze-thaw cycles.

Cross
Bulk Quote Request Form
Name*:
Organization*:
Email*:
Phone Number*:
Catalog No.*:
Comments and Specifics(amount, formulation, etc.)*:
Validation code: Captchapackage Image


Can't read the image? click here to refresh.
    *required field

Your bulk quote request has been submitted successfully!

Please contact us if you have any questions.