• Tel: 858.663.9055
  • SeparatorEmail: info@nsjbio.com
  • Tel: 858.663.9055
  • Email: info@nsjbio.com
Home >> Antibodies >> Src Antibody

Src Antibody (F51226)

  Catalog No Formulation Size Price (USD)  
Image F51226-0.4ML In 1X PBS, pH 7.4, with 0.09% sodium azide 0.4 ml 439
Image
F51226-0.08ML In 1X PBS, pH 7.4, with 0.09% sodium azide 0.08 ml 205
Bulk quote request
Western blot analysis of Src antibody and HepG2 lysate. Predicted size 55~60 kDa
Western blot analysis of lysate from A375 cell line using Src antibody diluted at 1:1000.
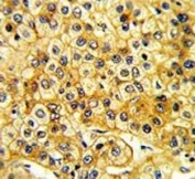
IHC analysis of FFPE human hepatocarcinoma with Src antibody
Confocal immunofluorescent analysis of Src antibody with A375 cells followed by Alexa Fluor 488-conjugated goat anti-rabbit lgG (green). Actin filaments have been labeled with Alexa Fluor 555 Phalloidin (red). DAPI was used as a nuclear counterstain (blue).
Availability 1-3 business days
Species Reactivity Human
Predicted Reactivity Bovine, Chicken, Mouse, Pig, Rat, Xenopus, Zebrafish
Format Antigen affinity purified
Host Rabbit
Clonality Polyclonal (rabbit origin)
Isotype Rabbit Ig
Purity Antigen affinity
UniProt P12931
Applications Western Blot : 1:1000
IHC (Paraffin) : 1:50-1:100
Immunofluorescence : 1:10-1:50
Limitations This Src antibody is available for research use only.
Review this product on BioCompare and get a $20 Amazon gift card

Related Products

  • Applications : WB, IF, ELISA
    Reactivity : Human, Mouse
  • Applications : WB
    Reactivity : Human
  • Applications : WB
    Reactivity : Human
    Rab Mono Image
  • Applications : WB
    Reactivity : Human
    Rab Mono Image
  • Applications : WB, IHC-P, FACS
    Reactivity : Human
  • Applications : WB, ELISA
    Reactivity : Mouse
  • Applications : WB, ELISA
    Reactivity : Human, Mouse, Rat
  • Applications : IHC, IF, WB, ELISA
    Reactivity : Human, Mouse
  • Applications : WB, IHC, FACS, IF, ELISA
    Reactivity : Human
    Pred. Reactivity : Mouse

Description

Src is a tyrosine-protein kinase whose activity can be inhibited by phosphorylation by c-Src kinase.

Application Notes

Titration of the Src antibody may be required due to differences in protocols and secondary/substrate sensitivity.

Immunogen

A portion of amino acids 397-424 from the human protein was used as the immunogen for this Src antibody.

Storage

Aliquot the Src antibody and store frozen at -20oC or colder. Avoid repeated freeze-thaw cycles.

Cross
Bulk Quote Request Form
Name*:
Organization*:
Email*:
Phone Number*:
Catalog No.*:
Comments and Specifics(amount, formulation, etc.)*:
Validation code: Captchapackage Image


Can't read the image? click here to refresh.
    *required field

Your bulk quote request has been submitted successfully!

Please contact us if you have any questions.