• Tel: 858.663.9055
  • SeparatorEmail: info@nsjbio.com
  • Tel: 858.663.9055
  • Email: info@nsjbio.com
Home >> Antibodies >> SRBD1 Antibody / S1 RNA-binding domain-containing protein 1

SRBD1 Antibody / S1 RNA-binding domain-containing protein 1 (FY13247)

  Catalog No Formulation Size Price (USD)  
Image FY13247 Adding 0.2 ml of distilled water will yield a concentration of 500 ug/ml 100 ug 449
Bulk quote request
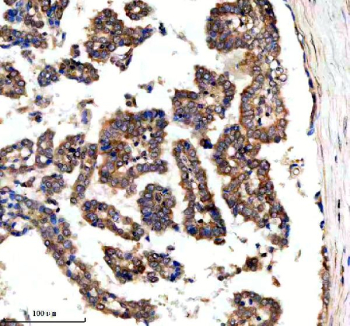
Immunohistochemical staining of SRBD1 using anti-SRBD1 antibody. SRBD1 was detected in a paraffin-embedded section of human lung adenocarcinoma tissue. Heat mediated antigen retrieval was performed in EDTA buffer (pH 8.0, epitope retrieval solution). The tissue section was blocked with 10% goat serum. The tissue section was then incubated with 2 ug/ml rabbit anti-SRBD1 antibody overnight at 4oC. Peroxidase Conjugated Goat Anti-rabbit IgG was used as secondary antibody and incubated for 30 minutes at 37oC. The tissue section was developed using an HRP secondary and DAB substrate.
Western blot analysis of SRBD1 using anti-SRBD1 antibody. Electrophoresis was performed on a 8% SDS-PAGE gel at 80V (Stacking gel) / 120V (Resolving gel) for 2 hours. Lane 1: human SH-SY5Y whole cell lysates, Lane 2: human HepG2 whole cell lysates, Lane 3: human HEL whole cell lysates, Lane 4: human whole cell lysates, Lane 5: rat brain tissue lysates, Lane 6: rat testis tissue lysates, Lane 7: mouse brain tissue lysates, Lane 8: mouse testis tissue lysates. After electrophoresis, proteins were transferred to a nitrocellulose membrane at 150 mA for 50-90 minutes. Blocked the membrane with 5% non-fat milk/TBS for 1.5 hour at RT. The membrane was incubated with rabbit anti-SRBD1 antibody at 0.5 ug/ml overnight at 4oC, then washed with TBS-0.1%Tween 3 times with 5 minutes each and probed with a goat anti-rabbit IgG-HRP secondary antibody at a dilution of 1:5000 for 1.5 hour at RT. The signal was developed using an ECL Plus Western Blotting Substrate. Western blot detection of SRBD1 reveals a predominant band just above 70 kDa across multiple lysates. Although the predicted size of full-length SRBD1 is ~112 kDa, SRBD1 encodes shorter isoforms and can yield stable truncated species, which likely account for the ~70 kDa band observed here.
Flow Cytometry analysis of HEL cells using anti-SRBD1 antibody. Overlay histogram showing HEL cells stained with (Blue line). To facilitate intracellular staining, cells were fixed with 4% paraformaldehyde and permeabilized with permeabilization buffer. The cells were blocked with 10% normal goat serum. And then incubated with rabbit anti-SRBD1 antibody (1 ug/million cells) for 30 min at 20oC. DyLight 488 conjugated goat anti-rabbit IgG (5-10 ug/million cells) was used as secondary antibody for 30 minutes at 20oC. Isotype control antibody (Green line) was rabbit IgG (1 ug/million cells) used under the same conditions. Unlabelled sample without incubation with primary antibody and secondary antibody (Red line) was used as a blank control.
Availability 1-2 days
Species Reactivity Human, Mouse, Rat
Format Lyophilized
Host Rabbit
Clonality Polyclonal (rabbit origin)
Isotype Rabbit IgG
Purity Immunogen affinity purified
Buffer Each vial contains 4 mg Trehalose, 0.9 mg NaCl, 0.2 mg Na2HPO4.
UniProt Q8N5C6
Localization Cytoplasm, Mitochondria
Applications Western Blot : 0.25-0.5ug/ml
Immunohistochemistry : 2-5ug/ml
Flow Cytometry : 1-3ug/million cells
ELISA : 0.1-0.5ug/ml
Limitations This SRBD1 antibody is available for research use only.
Review this product on BioCompare and get a $20 Amazon gift card

Description

SRBD1 antibody detects S1 RNA-binding domain-containing protein 1, a nuclear and cytoplasmic protein involved in RNA metabolism, ribosome biogenesis, and cell cycle regulation. The UniProt recommended name is S1 RNA-binding domain-containing protein 1 (SRBD1). This multifunctional protein contains an S1-type RNA-binding domain that associates with ribosomal subunits and regulatory RNAs, linking gene expression control to cellular proliferation and differentiation.

Functionally, SRBD1 antibody identifies a 1,364-amino-acid protein that interacts with ribosomal proteins and RNA helicases to facilitate ribosome maturation and rRNA processing. SRBD1 binds pre-rRNA intermediates and assists in their folding, modification, and assembly into mature ribosomal subunits. It also participates in RNA quality control and nonsense-mediated decay pathways, ensuring translational fidelity and RNA stability. In addition to its RNA-binding activity, SRBD1 influences transcriptional regulation and DNA replication by interacting with chromatin-associated complexes.

The SRBD1 gene is located on chromosome 2q31.1 and is expressed in proliferative tissues such as bone marrow, liver, and testis. Expression increases during active cell growth and decreases under stress or differentiation signals. SRBD1 activity coordinates ribosome assembly with cellular growth requirements, making it essential for protein synthesis homeostasis.

Pathologically, SRBD1 mutations and altered expression have been linked to cancer, developmental disorders, and glaucoma susceptibility. Overexpression may promote tumorigenesis by enhancing ribosome biogenesis and proliferation, while reduced SRBD1 disrupts translation and leads to genomic instability. Research using SRBD1 antibody supports studies in RNA biology, ribosome assembly, and oncogenic transformation.

SRBD1 antibody is validated for western blotting, immunohistochemistry, and immunofluorescence to detect RNA-binding proteins. NSJ Bioreagents provides SRBD1 antibody reagents optimized for studies in rRNA processing, translation regulation, and ribosomal biogenesis.

Structurally, S1 RNA-binding domain-containing protein 1 possesses an S1-type RNA-binding motif and multiple coiled-coil and low-complexity regions that mediate protein-protein and RNA interactions. This modular structure allows SRBD1 to serve as a scaffold linking RNA metabolism to nuclear and cytoplasmic processes. This antibody enables the investigation of SRBD1's role in ribosome formation and its regulation of gene expression and cellular growth.

Application Notes

Optimal dilution of the SRBD1 antibody should be determined by the researcher.

Immunogen

E.coli-derived human SRBD1 recombinant protein (Position: M613-K955) was used as the immunogen for the SRBD1 antibody.

Storage

After reconstitution, the SRBD1 antibody can be stored for up to one month at 4oC. For long-term, aliquot and store at -20oC. Avoid repeated freezing and thawing.

Cross
Bulk Quote Request Form
Name*:
Organization*:
Email*:
Phone Number*:
Catalog No.*:
Comments and Specifics(amount, formulation, etc.)*:
Validation code: Captchapackage Image


Can't read the image? click here to refresh.
    *required field

Your bulk quote request has been submitted successfully!

Please contact us if you have any questions.