• Tel: 858.663.9055
  • SeparatorEmail: info@nsjbio.com
  • Tel: 858.663.9055
  • Email: info@nsjbio.com
Home >> Antibodies >> SRARP Antibody / Steroid receptor-associated and regulated protein

SRARP Antibody / Steroid receptor-associated and regulated protein (FY12784)

  Catalog No Formulation Size Price (USD)  
Image FY12784 Adding 0.2 ml of distilled water will yield a concentration of 500 ug/ml 100 ug 449
Bulk quote request
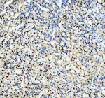
Immunohistochemical staining of SRARP using anti-SRARP antibody. SRARP was detected in a paraffin-embedded section of human bladder cancer tissue. Heat mediated antigen retrieval was performed in EDTA buffer (pH 8.0, epitope retrieval solution). The tissue section was blocked with 10% goat serum. The tissue section was then incubated with 2 ug/ml rabbit anti-SRARP antibody overnight at 4oC. Peroxidase Conjugated Goat Anti-rabbit IgG was used as secondary antibody and incubated for 30 minutes at 37oC. The tissue section was developed using an HRP secondary and DAB substrate.
Western blot analysis of SRARP using anti-SRARP antibody. Electrophoresis was performed on a 12% SDS-PAGE gel at 80V (Stacking gel) / 120V (Resolving gel) for 2 hours. Lane 1: human HepG2 whole cell lysates, Lane 2: human Hela whole cell lysates, Lane 3: human K562 whole cell lysates, Lane 4: human U251 whole cell lysates. After electrophoresis, proteins were transferred to a nitrocellulose membrane at 150 mA for 50-90 minutes. Blocked the membrane with 5% non-fat milk/TBS for 1.5 hour at RT. The membrane was incubated with rabbit anti-SRARP antibody at 0.5 ug/ml overnight at 4oC, then washed with TBS-0.1%Tween 3 times with 5 minutes each and probed with a goat anti-rabbit IgG-HRP secondary antibody at a dilution of 1:5000 for 1.5 hour at RT. The signal was developed using an ECL Plus Western Blotting Substrate. A specific band was detected for SRARP at approximately 18 kDa. The expected molecular weight of SRARP is ~18 kDa.
Immunohistochemical staining of SRARP using anti-SRARP antibody. SRARP was detected in a paraffin-embedded section of human thyroid cancer tissue. Heat mediated antigen retrieval was performed in EDTA buffer (pH 8.0, epitope retrieval solution). The tissue section was blocked with 10% goat serum. The tissue section was then incubated with 2 ug/ml rabbit anti-SRARP antibody overnight at 4oC. Peroxidase Conjugated Goat Anti-rabbit IgG was used as secondary antibody and incubated for 30 minutes at 37oC. The tissue section was developed using an HRP secondary and DAB substrate.
Availability 1-2 days
Species Reactivity Human
Format Lyophilized
Host Rabbit
Clonality Polyclonal (rabbit origin)
Isotype Rabbit IgG
Purity Immunogen affinity purified
Buffer Each vial contains 4 mg Trehalose, 0.9 mg NaCl, 0.2 mg Na2HPO4.
UniProt Q8NEQ6
Localization Cytoplasm, Nucleus
Applications Western Blot : 0.25-0.5ug/ml
Immunohistochemistry : 2-5ug/ml
ELISA : 0.1-0.5ug/ml
Limitations This SRARP antibody is available for research use only.
Review this product on BioCompare and get a $20 Amazon gift card

Description

SRARP antibody detects Steroid receptor-associated and regulated protein, a nuclear transcriptional regulator that modulates retinoic acid and estrogen receptor signaling. Encoded by the SRARP gene on chromosome 1p36.12, this protein functions as a transcriptional cofactor influencing gene expression during development and cellular differentiation. SRARP contains LXXLL motifs characteristic of nuclear receptor cofactors and acts as both a transcriptional regulator and target of steroid hormone pathways.

SRARP is expressed in hormone-responsive tissues including the brain, ovary, testis, and endometrium. It interacts with nuclear receptors such as estrogen receptor alpha (ERalpha) and retinoic acid receptor (RAR), modulating transcriptional output in a ligand-dependent manner. Through these interactions, SRARP influences gene networks governing cell cycle progression, neurogenesis, and reproductive tissue differentiation. Its expression is hormonally regulated, increasing in response to estrogen and decreasing under conditions of hormone withdrawal.

The SRARP antibody is widely used in endocrinology, neurobiology, and developmental research to study transcriptional regulation and steroid receptor signaling. Western blot analysis typically identifies a 27 kilodalton band corresponding to SRARP, while immunofluorescence shows nuclear localization in hormone-responsive cells. This antibody enables characterization of SRARP's role in receptor signaling and target gene transcription.

Dysregulation of SRARP expression has been linked to altered reproductive function and hormone-dependent cancers, including breast and ovarian carcinoma. SRARP may function as a modulator balancing proliferative and differentiation signals in response to hormonal cues. The SRARP antibody provides a key reagent for exploring transcriptional networks influenced by steroid receptors. NSJ Bioreagents supplies this antibody validated for western blotting and immunohistochemistry, ensuring high sensitivity and reproducibility for hormone receptor research.

Application Notes

Optimal dilution of the SRARP antibody should be determined by the researcher.

Immunogen

E.coli-derived human SRARP recombinant protein (Position: K30-S147) was used as the immunogen for the SRARP antibody.

Storage

After reconstitution, the SRARP antibody can be stored for up to one month at 4oC. For long-term, aliquot and store at -20oC. Avoid repeated freezing and thawing.

Cross
Bulk Quote Request Form
Name*:
Organization*:
Email*:
Phone Number*:
Catalog No.*:
Comments and Specifics(amount, formulation, etc.)*:
Validation code: Captchapackage Image


Can't read the image? click here to refresh.
    *required field

Your bulk quote request has been submitted successfully!

Please contact us if you have any questions.