• Tel: 858.663.9055
  • SeparatorEmail: info@nsjbio.com
  • Tel: 858.663.9055
  • Email: info@nsjbio.com
Home >> Antibodies >> SRA1 Antibody / Steroid receptor RNA activator 1

SRA1 Antibody / Steroid receptor RNA activator 1 (FY13216)

  Catalog No Formulation Size Price (USD)  
Image FY13216 Adding 0.2 ml of distilled water will yield a concentration of 500 ug/ml 100 ug 439
Bulk quote request
Immunohistochemical staining of SRA1 using anti-SRA1 antibody. SRA1 was detected in a paraffin-embedded section of human ovarian cancer tissue. Heat mediated antigen retrieval was performed in EDTA buffer (pH 8.0, epitope retrieval solution). The tissue section was blocked with 10% goat serum. The tissue section was then incubated with 1: 200 rabbit anti-SRA1 antibody overnight at 4oC. Peroxidase Conjugated Goat Anti-rabbit IgG was used as secondary antibody and incubated for 30 minutes at 37oC. The tissue section was developed using an HRP secondary and DAB substrate.
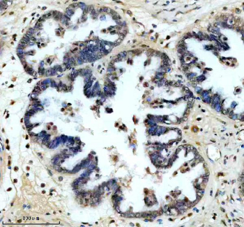
Immunohistochemical staining of SRA1 using anti-SRA1 antibody. SRA1 was detected in a paraffin-embedded section of human breast cancer tissue. Heat mediated antigen retrieval was performed in EDTA buffer (pH 8.0, epitope retrieval solution). The tissue section was blocked with 10% goat serum. The tissue section was then incubated with 1: 200 rabbit anti-SRA1 antibody overnight at 4oC. Peroxidase Conjugated Goat Anti-rabbit IgG was used as secondary antibody and incubated for 30 minutes at 37oC. The tissue section was developed using an HRP secondary and DAB substrate.
Immunohistochemical staining of SRA1 using anti-SRA1 antibody. SRA1 was detected in a paraffin-embedded section of mouse kidney tissue. Heat mediated antigen retrieval was performed in EDTA buffer (pH 8.0, epitope retrieval solution). The tissue section was blocked with 10% goat serum. The tissue section was then incubated with 1: 200 rabbit anti-SRA1 antibody overnight at 4oC. Peroxidase Conjugated Goat Anti-rabbit IgG was used as secondary antibody and incubated for 30 minutes at 37oC. The tissue section was developed using an HRP secondary and DAB substrate.
Immunohistochemical staining of SRA1 using anti-SRA1 antibody. SRA1 was detected in a paraffin-embedded section of rat kidney tissue. Heat mediated antigen retrieval was performed in EDTA buffer (pH 8.0, epitope retrieval solution). The tissue section was blocked with 10% goat serum. The tissue section was then incubated with 1: 200 rabbit anti-SRA1 antibody overnight at 4oC. Peroxidase Conjugated Goat Anti-rabbit IgG was used as secondary antibody and incubated for 30 minutes at 37oC. The tissue section was developed using an HRP secondary and DAB substrate.
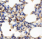
Immunohistochemical staining of SRA1 using anti-SRA1 antibody. SRA1 was detected in a paraffin-embedded section of mouse lung tissue. Heat mediated antigen retrieval was performed in EDTA buffer (pH 8.0, epitope retrieval solution). The tissue section was blocked with 10% goat serum. The tissue section was then incubated with 1: 200 rabbit anti-SRA1 antibody overnight at 4oC. Peroxidase Conjugated Goat Anti-rabbit IgG was used as secondary antibody and incubated for 30 minutes at 37oC. The tissue section was developed using an HRP secondary and DAB substrate.
Immunohistochemical staining of SRA1 using anti-SRA1 antibody. SRA1 was detected in a paraffin-embedded section of rat lung tissue. Heat mediated antigen retrieval was performed in EDTA buffer (pH 8.0, epitope retrieval solution). The tissue section was blocked with 10% goat serum. The tissue section was then incubated with 1: 200 rabbit anti-SRA1 antibody overnight at 4oC. Peroxidase Conjugated Goat Anti-rabbit IgG was used as secondary antibody and incubated for 30 minutes at 37oC. The tissue section was developed using an HRP secondary and DAB substrate.
Immunohistochemical staining of SRA1 using anti-SRA1 antibody. SRA1 was detected in a paraffin-embedded section of mouse liver tissue. Heat mediated antigen retrieval was performed in EDTA buffer (pH 8.0, epitope retrieval solution). The tissue section was blocked with 10% goat serum. The tissue section was then incubated with 1: 200 rabbit anti-SRA1 antibody overnight at 4oC. Peroxidase Conjugated Goat Anti-rabbit IgG was used as secondary antibody and incubated for 30 minutes at 37oC. The tissue section was developed using an HRP secondary and DAB substrate.
Immunohistochemical staining of SRA1 using anti-SRA1 antibody. SRA1 was detected in a paraffin-embedded section of rat liver tissue. Heat mediated antigen retrieval was performed in EDTA buffer (pH 8.0, epitope retrieval solution). The tissue section was blocked with 10% goat serum. The tissue section was then incubated with 1: 200 rabbit anti-SRA1 antibody overnight at 4oC. Peroxidase Conjugated Goat Anti-rabbit IgG was used as secondary antibody and incubated for 30 minutes at 37oC. The tissue section was developed using an HRP secondary and DAB substrate.
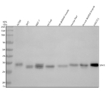
Western blot analysis of SRA1 using anti-SRA1 antibody. Electrophoresis was performed on a 10% SDS-PAGE gel at 80V (Stacking gel) / 120V (Resolving gel) for 2 hours. Lane 1: human whole cell lysates, Lane 2: human 293T whole cell lysates, Lane 3: human MCF-7 whole cell lysates, Lane 4: rat liver tissue lysates, Lane 5: rat skeletal muscle tissue lysates, Lane 6: mouse liver tissue lysates, Lane 7: mouse skeletal muscle tissue lysates, Lane 8: mouse NIH/3T3 whole cell lysates. After electrophoresis, proteins were transferred to a nitrocellulose membrane at 150 mA for 50-90 minutes. Blocked the membrane with 5% non-fat milk/TBS for 1.5 hour at RT. The membrane was incubated with rabbit anti-SRA1 antibody at 0.5 ug/ml overnight at 4oC, then washed with TBS-0.1%Tween 3 times with 5 minutes each and probed with a goat anti-rabbit IgG-HRP secondary antibody at a dilution of 1:5000 for 1.5 hour at RT. The signal was developed using an ECL Plus Western Blotting Substrate. A specific band was detected for SRA1 at approximately 33 kDa. The expected molecular weight of SRA1 is at 24 kDa.
Immunofluorescent staining of SRA1 using anti-SRA1 antibody (green) and anti-Beta Tubulin antibody (red). SRA1 was detected in an immunocytochemical section of human HeLa cells. Enzyme antigen retrieval was performed using IHC enzyme antigen retrieval reagent for 15 mins. The cells were blocked with 10% goat serum. And then incubated with 5 ug/ml rabbit anti-SRA1 antibody and mouse anti-Beta Tubulin antibody overnight at 4oC. DyLight 488 Conjugated Goat Anti-Rabbit IgG and Cy3 Conjugated Goat Anti-Mouse IgG were used as secondary antibody at 1:500 dilution and incubated for 30 minutes at 37oC. Visualize using a fluorescence microscope and filter sets appropriate for the label used.
Flow cytometry analysis of fixed and permeabilized human 293T cells with SRA1 antibody at 1ug/million cells (blocked with goat sera); Red=cells alone, Green=isotype control, Blue= SRA1 antibody.
Availability 1-2 days
Species Reactivity Human, Mouse, Rat
Format Lyophilized
Clonality Polyclonal (rabbit origin)
Isotype Rabbit IgG
Purity Immunogen affinity purified
Buffer Each vial contains 4 mg Trehalose, 0.9 mg NaCl, 0.2 mg Na2HPO4.
UniProt Q9HD15
Localization Nuclear, cytoplasmic
Applications Western Blot : 0.25-0.5ug/ml
Immunocytochemistry/Immunofluorescence : 5ug/ml
Flow Cytometry : 1-3ug/million cells
ELISA : 0.1-0.5ug/ml
Limitations This SRA1 antibody is available for research use only.
Review this product on BioCompare and get a $20 Amazon gift card

Description

SRA1 antibody detects Steroid receptor RNA activator 1, a multifunctional molecule that exists as both a non-coding RNA and a protein coactivator involved in nuclear receptor signaling. The UniProt recommended name is Steroid receptor RNA activator 1 (SRA1). This gene produces both an RNA transcript functioning as a transcriptional coactivator and a protein (SRAP) that modulates gene expression by interacting with hormone receptor complexes.

Functionally, SRA1 antibody identifies a 236-amino-acid nuclear protein that binds steroid hormone receptors such as estrogen receptor (ESR1), androgen receptor (AR), and glucocorticoid receptor (NR3C1). SRA1 enhances receptor-dependent transcription by stabilizing coactivator complexes containing p160 family members (NCOA1-3) and histone acetyltransferases such as CBP/p300. The RNA form of SRA1 acts as a scaffold that promotes chromatin remodeling and transcriptional activation.

The SRA1 gene is located on chromosome 5q31.3 and is broadly expressed in hormone-responsive tissues including breast, uterus, prostate, and skeletal muscle. Its expression is induced by steroid hormones, forming a positive feedback loop that amplifies nuclear receptor signaling. SRA1 plays key roles in reproductive physiology, energy metabolism, and cellular differentiation.

Pathologically, aberrant SRA1 expression contributes to hormone-dependent cancers and metabolic syndromes. Overexpression enhances estrogen and androgen signaling, driving tumor growth in breast and prostate cancer. Mutations or reduced expression can impair receptor-mediated gene regulation and contribute to infertility or metabolic dysfunction. Research using SRA1 antibody supports studies in transcriptional regulation, nuclear receptor biology, and hormone signaling.

SRA1 antibody is validated for western blotting, immunofluorescence, and immunohistochemistry to detect transcriptional coactivators. NSJ Bioreagents provides SRA1 antibody reagents optimized for use in endocrinology, gene expression, and cancer biology research.

Structurally, Steroid receptor RNA activator 1 protein (SRAP) contains RNA recognition and protein interaction domains that allow dual regulatory capacity through RNA-protein networks. Its modular architecture supports cooperative interactions with multiple transcriptional cofactors. This antibody enables detailed analysis of SRA1's function in steroid hormone receptor signaling and coactivation mechanisms.

Application Notes

Optimal dilution of the SRA1 antibody should be determined by the researcher.

Immunogen

E.coli-derived human SRA1 recombinant protein (Position: M1-S224) was used as the immunogen for the SRA1 antibody.

Storage

After reconstitution, the SRA1 antibody can be stored for up to one month at 4oC. For long-term, aliquot and store at -20oC. Avoid repeated freezing and thawing.

Cross
Bulk Quote Request Form
Name*:
Organization*:
Email*:
Phone Number*:
Catalog No.*:
Comments and Specifics(amount, formulation, etc.)*:
Validation code: Captchapackage Image


Can't read the image? click here to refresh.
    *required field

Your bulk quote request has been submitted successfully!

Please contact us if you have any questions.