• Tel: 858.663.9055
  • SeparatorEmail: info@nsjbio.com
  • Tel: 858.663.9055
  • Email: info@nsjbio.com
Home >> Antibodies >> Squalene synthase Antibody / SQS / FDFT1

Squalene synthase Antibody / SQS / FDFT1 (F54769)

  Catalog No Formulation Size Price (USD)  
Image F54769-0.4ML In 1X PBS, pH 7.4, with 0.09% sodium azide 0.4 ml 439
Image
F54769-0.08ML In 1X PBS, pH 7.4, with 0.09% sodium azide 0.08 ml 205
Bulk quote request
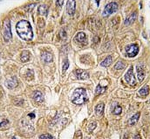
IHC testing of FFPE human hepatocellular carcinoma tissue with Squalene synthase antibody. HIER: steam section in pH6 citrate buffer for 20 min and allow to cool prior to staining.
Western blot testing of human A375 in the absence (left) and presence (right) of immunizing peptide using Squalene synthase antibody. Predicted molecular weight ~48 kDa.
Western blot testing of 1) non-transfected and 2) transfected 293 cell lysate with Squalene synthase antibody.
Availability 1-3 business days
Species Reactivity Human
Format Purified
Host Rabbit
Clonality Polyclonal (rabbit origin)
Isotype Rabbit Ig
Purity Purified
UniProt P37268
Localization Cytoplasmic
Applications Western Blot : 1:500-1:1000
Immunohistochemistry (FFPE) : 1:50-1:100
Limitations This Squalene synthase antibody is available for research use only.
Review this product on BioCompare and get a $20 Amazon gift card

Description

FDFT1 / Squalene synthase catalyzes the first step in the cholesterol biosynthetic pathway, the conversion of trans-farnesyldiphosphate to squalene. The loss of promoter activity and response to sterols for FDFT1 is localized to a 69-bp section positioned 131 bp 5-prime to the transcription start site. Sequence analysis of this region shows that it contains a sterol regulatory element-1 (SRE1) previously identified in other sterol regulated genes and 2 putative NF1 binding sites.

Application Notes

The stated application concentrations are suggested starting points. Titration of the Squalene synthase antibody may be required due to differences in protocols and secondary/substrate sensitivity.

Immunogen

A portion of amino acids 140-170 from the human protein was used as the immunogen for the Squalene synthase antibody.

Storage

Aliquot the Squalene synthase antibody and store frozen at -20oC or colder. Avoid repeated freeze-thaw cycles.

Cross
Bulk Quote Request Form
Name*:
Organization*:
Email*:
Phone Number*:
Catalog No.*:
Comments and Specifics(amount, formulation, etc.)*:
Validation code: Captchapackage Image


Can't read the image? click here to refresh.
    *required field

Your bulk quote request has been submitted successfully!

Please contact us if you have any questions.