• Tel: 858.663.9055
  • SeparatorEmail: info@nsjbio.com
  • Tel: 858.663.9055
  • Email: info@nsjbio.com
Home >> Antibodies >> SQOR Antibody / Sulfide quinone oxidoreductase / SQRDL

SQOR Antibody / Sulfide quinone oxidoreductase / SQRDL (FY13104)

  Catalog No Formulation Size Price (USD)  
Image FY13104 Adding 0.2 ml of distilled water will yield a concentration of 500 ug/ml 100 ug 439
Bulk quote request
Immunofluorescent staining of SQRDL/SQOR using anti-SQOR antibody (red). SQRDL/SQOR was detected in an immunocytochemical section of PC-3 cells. Enzyme antigen retrieval was performed using IHC enzyme antigen retrieval reagent for 15 mins. The cells were blocked with 10% goat serum. And then incubated with 5 ug/ml rabbit anti-SQOR antibody overnight at 4oC. DyLight 550 Conjugated Goat Anti-Rabbit IgG was used as secondary antibody at 1:500 dilution and incubated for 30 minutes at 37oC. The section was counterstained with DAPI nuclear stain (blue). Visualize using a fluorescence microscope and filter sets appropriate for the label used.
Western blot analysis of SQRDL/SQOR using anti-SQOR antibody. Lane 1: human Hela whole cell lysates, Lane 2: human HepG2 whole cell lysates. After electrophoresis, proteins were transferred to a nitrocellulose membrane at 150 mA for 50-90 minutes. Blocked the membrane with 5% non-fat milk/TBS for 1.5 hour at RT. The membrane was incubated with rabbit anti-SQOR antibody at 0.5 ug/ml overnight at 4oC, then washed with TBS-0.1%Tween 3 times with 5 minutes each and probed with a goat anti-rabbit IgG-HRP secondary antibody at a dilution of 1:5000 for 1.5 hour at RT. The signal was developed using enhanced chemiluminescent. SQOR antibody detects a dominant band at ~50 kDa in HeLa and HepG2 with lighter bands just above and below. SQOR is a mitochondrial inner-membrane enzyme synthesized as a precursor that is processed after import; minor precursor/processing intermediates and common PTMs can yield closely spaced bands around the main species.
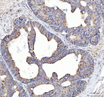
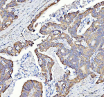
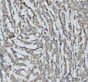
Immunohistochemical staining of SQRDL/SQOR using anti-SQOR antibody. SQRDL/SQOR was detected in a paraffin-embedded section of human colorectal adenocarcinoma tissue. Heat mediated antigen retrieval was performed in EDTA buffer (pH 8.0, epitope retrieval solution). The tissue section was blocked with 10% goat serum. The tissue section was then incubated with 2 ug/ml rabbit anti-SQOR antibody overnight at 4oC. Peroxidase Conjugated Goat Anti-rabbit IgG was used as secondary antibody and incubated for 30 minutes at 37oC. The tissue section was developed using an HRP secondary and DAB substrate.
Immunohistochemical staining of SQRDL/SQOR using anti-SQOR antibody. SQRDL/SQOR was detected in a paraffin-embedded section of human liver cancer tissue. Heat mediated antigen retrieval was performed in EDTA buffer (pH 8.0, epitope retrieval solution). The tissue section was blocked with 10% goat serum. The tissue section was then incubated with 2 ug/ml rabbit anti-SQOR antibody overnight at 4oC. Peroxidase Conjugated Goat Anti-rabbit IgG was used as secondary antibody and incubated for 30 minutes at 37oC. The tissue section was developed using an HRP secondary and DAB substrate.
Immunohistochemical staining of SQRDL/SQOR using anti-SQOR antibody. SQRDL/SQOR was detected in a paraffin-embedded section of human lung adenocarcinoma tissue. Heat mediated antigen retrieval was performed in EDTA buffer (pH 8.0, epitope retrieval solution). The tissue section was blocked with 10% goat serum. The tissue section was then incubated with 2 ug/ml rabbit anti-SQOR antibody overnight at 4oC. Peroxidase Conjugated Goat Anti-rabbit IgG was used as secondary antibody and incubated for 30 minutes at 37oC. The tissue section was developed using an HRP secondary and DAB substrate.
Immunohistochemical staining of SQRDL/SQOR using anti-SQOR antibody. SQRDL/SQOR was detected in a paraffin-embedded section of human breast cancer tissue. Heat mediated antigen retrieval was performed in EDTA buffer (pH 8.0, epitope retrieval solution). The tissue section was blocked with 10% goat serum. The tissue section was then incubated with 2 ug/ml rabbit anti-SQOR antibody overnight at 4oC. Peroxidase Conjugated Goat Anti-rabbit IgG was used as secondary antibody and incubated for 30 minutes at 37oC. The tissue section was developed using an HRP secondary and DAB substrate.
Flow Cytometry analysis of JK cells using anti-SQOR antibody. Overlay histogram showing JK cells stained with (Blue line). To facilitate intracellular staining, cells were fixed with 4% paraformaldehyde and permeabilized with permeabilization buffer. The cells were blocked with 10% normal goat serum. And then incubated with rabbit anti-SQOR antibody (1 ug/million cells) for 30 min at 20oC. DyLight 488 conjugated goat anti-rabbit IgG (5-10 ug/million cells) was used as secondary antibody for 30 minutes at 20oC. Isotype control antibody (Green line) was rabbit IgG (1 ug/million cells) used under the same conditions. Unlabelled sample (Red line) was also used as a control.
Availability 1-2 days
Species Reactivity Human
Format Lyophilized
Clonality Polyclonal (rabbit origin)
Isotype Rabbit IgG
Purity Immunogen affinity purified
Buffer Each vial contains 4 mg Trehalose, 0.9 mg NaCl, 0.2 mg Na2HPO4.
UniProt Q9Y6N5
Localization Cytoplasm (Mitochondria)
Applications Western Blot : 0.25-0.5ug/ml
Immunohistochemistry : 2-5ug/ml
Immunocytochemistry : 5ug/ml
Immunofluorescence : 5ug/ml
Flow Cytometry : 1-3ug/million cells
ELISA : 0.1-0.5ug/ml
Limitations This SQOR antibody is available for research use only.
Review this product on BioCompare and get a $20 Amazon gift card

Description

SQOR antibody detects Sulfide quinone oxidoreductase, a mitochondrial enzyme that catalyzes the first step in hydrogen sulfide oxidation. The UniProt recommended name is Sulfide:quinone oxidoreductase (SQOR). Also known as Sulfide quinone reductase-like protein (SQRDL), this flavoprotein converts toxic hydrogen sulfide to persulfide intermediates, linking sulfur metabolism to cellular respiration.

Functionally, SQOR antibody identifies a 450-amino-acid mitochondrial inner membrane enzyme containing a covalently bound FAD cofactor. SQOR transfers electrons from hydrogen sulfide to ubiquinone, producing reduced ubiquinol for the respiratory chain while forming a persulfide on its catalytic cysteine residue. This reaction detoxifies sulfide and integrates it into mitochondrial energy metabolism.

The SQOR gene is located on chromosome 15q26.1 and is widely expressed, with highest levels in liver, kidney, and heart. It is localized to the mitochondrial inner membrane facing the intermembrane space, forming part of the mitochondrial sulfide oxidation pathway along with ETHE1, TST, and SUOX. SQOR activity ensures sulfide homeostasis and prevents respiratory inhibition by excess H2S.

Pathologically, SQOR deficiency disrupts sulfide metabolism, leading to mitochondrial dysfunction and oxidative stress. Altered expression has been observed in cardiovascular disease, ischemia-reperfusion injury, and metabolic disorders. By maintaining sulfide balance, SQOR contributes to redox regulation and cellular protection. Research using SQOR antibody aids in studying sulfur metabolism, mitochondrial bioenergetics, and redox biology.

SQOR antibody is suitable for western blotting, immunohistochemistry, and immunofluorescence to detect mitochondrial sulfur oxidation enzymes. NSJ Bioreagents provides validated SQOR antibody reagents designed for redox biology and mitochondrial function research.

Structurally, Sulfide:quinone oxidoreductase features an FAD-binding domain and transmembrane regions anchoring it to the inner mitochondrial membrane. Its catalytic mechanism involves cysteine persulfide intermediates and electron transfer to coenzyme Q. This antibody enables investigation of SQOR's enzymatic role in sulfur and redox metabolism.

Application Notes

Optimal dilution of the SQOR antibody should be determined by the researcher.

Immunogen

E.coli-derived human SQRDL/SQOR recombinant protein (Position: R12-E321) was used as the immunogen for the SQOR antibody.

Storage

After reconstitution, the SQOR antibody can be stored for up to one month at 4oC. For long-term, aliquot and store at -20oC. Avoid repeated freezing and thawing.

Cross
Bulk Quote Request Form
Name*:
Organization*:
Email*:
Phone Number*:
Catalog No.*:
Comments and Specifics(amount, formulation, etc.)*:
Validation code: Captchapackage Image


Can't read the image? click here to refresh.
    *required field

Your bulk quote request has been submitted successfully!

Please contact us if you have any questions.