• Tel: 858.663.9055
  • SeparatorEmail: info@nsjbio.com
  • Tel: 858.663.9055
  • Email: info@nsjbio.com
Home >> Antibodies >> SPTLC1 Antibody / Serine palmitoyltransferase 1

SPTLC1 Antibody / Serine palmitoyltransferase 1 (R30870)

  Catalog No Formulation Size Price (USD)  
Image R30870 0.5mg/ml if reconstituted with 0.2ml sterile DI water 100 ug 449
Bulk quote request
Western blot testing of 1) human SiHa, 2) human U-251, 3) rat brain and 4) mouse brain tissue lysate with SPTLC1 antibody. Expected molecular weight ~53 kDa.
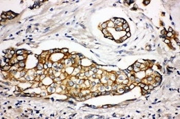
IHC staining of FFPE human breast cancer tissue with SPTLC1 antibody. HIER: boil tissue sections in pH8 EDTA for 20 min and allow to cool before testing.
Availability 1-3 business days
Species Reactivity Human, Mouse, Rat
Format Antigen affinity purified
Host Rabbit
Clonality Polyclonal (rabbit origin)
Isotype Rabbit IgG
Purity Antigen affinity
Buffer Lyophilized from 1X PBS with 2.5% BSA and 0.025% sodium azide/thimerosal
UniProt O15269
Localization Cytoplasmic
Applications Western Blot : 0.5-1ug/ml
Immunohistochemistry (FFPE) : 2-5ug/ml
Limitations This SPTLC1 antibody is available for research use only.
Review this product on BioCompare and get a $20 Amazon gift card

Related Products

Description

Serine palmitoyltransferase, long chain base subunit 1, also known as SPT1, LCB1, is a protein which in humans is encoded by the SPTLC1 gene. Dawkins et al.(2001)noted that the gene maps to chromosome 9q22.1-q22.3. Serine palmitoyltransferase, which consists of two different subunits, is the initial enzyme in sphingolipid biosynthesis. It converts L-serine and palmitoyl CoA to 3-oxosphinganine with pyridoxal 5'-phosphate as a cofactor. The product of this gene is the long chain base subunit 1 of serine palmitoyltransferase. Mutations in this gene were identified in patients with hereditary sensory neuropathy type 1. Alternatively spliced variants encoding different isoforms have been identified.

Application Notes

The stated application concentrations are suggested starting amounts. Titration of the SPTLC1 antibody may be required due to differences in protocols and secondary/substrate sensitivity.

Immunogen

An amino acid sequence from the middle region of human SPTLC1 (FYGTFDVHLDLEDRLAK) was used as the immunogen for this SPTLC1 antibody.

Storage

After reconstitution, the SPTLC1 antibody can be stored for up to one month at 4oC. For long-term, aliquot and store at -20oC. Avoid repeated freezing and thawing.

Cross
Bulk Quote Request Form
Name*:
Organization*:
Email*:
Phone Number*:
Catalog No.*:
Comments and Specifics(amount, formulation, etc.)*:
Validation code: Captchapackage Image


Can't read the image? click here to refresh.
    *required field

Your bulk quote request has been submitted successfully!

Please contact us if you have any questions.