• Tel: 858.663.9055
  • SeparatorEmail: info@nsjbio.com
  • Tel: 858.663.9055
  • Email: info@nsjbio.com
Home >> Antibodies >> SPOPL Antibody / Speckle-type POZ protein-like

SPOPL Antibody / Speckle-type POZ protein-like (FY12901)

  Catalog No Formulation Size Price (USD)  
Image FY12901 Adding 0.2 ml of distilled water will yield a concentration of 500 ug/ml 100 ug 449
Bulk quote request
Immunofluorescent staining of SPOPL using anti-SPOPL antibody (green) and anti-Beta Tubulin antibody (red). SPOPL was detected in an immunocytochemical section of cells. Enzyme antigen retrieval was performed using IHC enzyme antigen retrieval reagent for 15 mins. The cells were blocked with 10% goat serum. And then incubated with 5 ug/ml rabbit anti-SPOPL antibody and mouse anti-Beta Tubulin antibody overnight at 4oC. DyLight 488 Conjugated Goat Anti-Rabbit IgG and Cy3 Conjugated Goat Anti-Mouse IgG were used as secondary antibody at 1:500 dilution and incubated for 30 minutes at 37oC. Visualize using a fluorescence microscope and filter sets appropriate for the label used.
Western blot analysis of SPOPL using anti-SPOPL antibody. Electrophoresis was performed on a 10% SDS-PAGE gel at 80V (Stacking gel) / 120V (Resolving gel) for 2 hours. Lane 1: human Hela whole cell lysates, Lane 2: human HepG2 whole cell lysates, Lane 3: human MCF-7 whole cell lysates. After electrophoresis, proteins were transferred to a nitrocellulose membrane at 150 mA for 50-90 minutes. Blocked the membrane with 5% non-fat milk/TBS for 1.5 hour at RT. The membrane was incubated with rabbit anti-SPOPL antibody at 0.5 ug/ml overnight at 4oC, then washed with TBS-0.1%Tween 3 times with 5 minutes each and probed with a goat anti-rabbit IgG-HRP secondary antibody at a dilution of 1:5000 for 1.5 hour at RT. The signal was developed using an ECL Plus Western Blotting Substrate. A specific band was detected for SPOPL at approximately 45 kDa. The expected molecular weight of SPOPL is ~45 kDa.
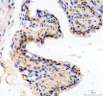
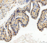
Immunohistochemical staining of SPOPL using anti-SPOPL antibody. SPOPL was detected in a paraffin-embedded section of mouse bladder tissue. Heat mediated antigen retrieval was performed in EDTA buffer (pH 8.0, epitope retrieval solution). The tissue section was blocked with 10% goat serum. The tissue section was then incubated with 2 ug/ml rabbit anti-SPOPL antibody overnight at 4oC. Peroxidase Conjugated Goat Anti-rabbit IgG was used as secondary antibody and incubated for 30 minutes at 37oC. The tissue section was developed using an HRP secondary and DAB substrate.
Immunohistochemical staining of SPOPL using anti-SPOPL antibody. SPOPL was detected in a paraffin-embedded section of mouse bladder tissue. Heat mediated antigen retrieval was performed in EDTA buffer (pH 8.0, epitope retrieval solution). The tissue section was blocked with 10% goat serum. The tissue section was then incubated with 2 ug/ml rabbit anti-SPOPL antibody overnight at 4oC. Peroxidase Conjugated Goat Anti-rabbit IgG was used as secondary antibody and incubated for 30 minutes at 37oC. The tissue section was developed using an HRP secondary and DAB substrate.
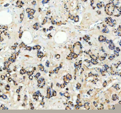
Immunohistochemical staining of SPOPL using anti-SPOPL antibody. SPOPL was detected in a paraffin-embedded section of human thyroid cancer tissue. Heat mediated antigen retrieval was performed in EDTA buffer (pH 8.0, epitope retrieval solution). The tissue section was blocked with 10% goat serum. The tissue section was then incubated with 2 ug/ml rabbit anti-SPOPL antibody overnight at 4oC. Peroxidase Conjugated Goat Anti-rabbit IgG was used as secondary antibody and incubated for 30 minutes at 37oC. The tissue section was developed using an HRP secondary and DAB substrate.
Immunoprecipitating SPOPL in MCF-7 whole cell lysate. Western blot analysis of SPOPL using anti-SPOPL antibody. Lane 1: MCF-7 whole cell lysates (30ug), Lane 2: Rabbit control IgG instead of anti-SPOPL antibody in MCF-7 whole cell lysate, Lane 3: anti-SPOPL antibody (2ug) + MCF-7 whole cell lysate (500ug). After electrophoresis, proteins were transferred to a membrane. Then the membrane was incubated with rabbit anti-SPOPL antibody at a dilution of 0.5 ug/ml and probed with a mouse anti-rabbit IgG-HRP secondary antibody (Light Chain). The signal is developed using ECL Plus Western Blotting Substrate. A specific band was detected for SPOPL at approximately 45 kDa. The expected molecular weight of SPOPL is at 45 kDa.
Flow Cytometry analysis of PC-3 cells using anti-SPOPL antibody. Overlay histogram showing PC-3 cells stained with (Blue line). To facilitate intracellular staining, cells were fixed with 4% paraformaldehyde and permeabilized with permeabilization buffer. The cells were blocked with 10% normal goat serum. And then incubated with rabbit anti-SPOPL antibody (1 ug/million cells) for 30 min at 20oC. DyLight 488 conjugated goat anti-rabbit IgG (5-10 ug/million cells) was used as secondary antibody for 30 minutes at 20oC. Isotype control antibody (Green line) was rabbit IgG (1 ug/million cells) used under the same conditions. Unlabelled sample without incubation with primary antibody and secondary antibody (Red line) was used as a blank control.
Availability 1-2 days
Species Reactivity Human, Mouse
Format Lyophilized
Host Rabbit
Clonality Polyclonal (rabbit origin)
Isotype Rabbit IgG
Purity Immunogen affinity purified
Buffer Each vial contains 4 mg Trehalose, 0.9 mg NaCl, 0.2 mg Na2HPO4.
UniProt Q6IQ16
Localization Nuclear
Applications Western Blot : 0.25-0.5ug/ml
Immunohistochemistry : 2-5ug/ml
Immunocytochemistry/Immunofluorescence : 5ug/ml
Immunoprecipitation : 2-4ug/500ug of lysate
Flow Cytometry : 1-3ug/million cells
ELISA : 0.1-0.5ug/ml
Limitations This SPOPL antibody is available for research use only.
Review this product on BioCompare and get a $20 Amazon gift card

Description

SPOPL antibody detects Speckle-type POZ protein-like, a nuclear adaptor protein that regulates protein ubiquitination and transcriptional repression. Encoded by the SPOPL gene on chromosome 2q22.1, this protein is a homolog of SPOP (Speckle-type POZ protein) and functions as a substrate adaptor within the CUL3-based E3 ubiquitin ligase complex. SPOPL recruits specific nuclear proteins for ubiquitin-dependent degradation, thereby modulating chromatin structure, transcriptional activity, and protein homeostasis.

Structurally, SPOPL is a 367-amino-acid nuclear protein of approximately 41 kilodaltons containing a BTB/POZ domain responsible for CUL3 interaction and a MATH domain that recognizes substrate proteins. Unlike its paralog SPOP, which forms higher-order oligomers, SPOPL exists as a stable dimer, influencing substrate specificity and ubiquitination efficiency. SPOPL localizes to nuclear speckles and chromatin-associated regions, where it coordinates the degradation of transcriptional co-regulators and chromatin modifiers.

The SPOPL antibody is widely used in cell biology, molecular genetics, and oncology research to study ubiquitin signaling, transcriptional repression, and nuclear protein quality control. Western blot analysis detects a 41 kilodalton band corresponding to SPOPL, while immunofluorescence shows punctate nuclear staining consistent with speckle localization. This antibody enables exploration of nuclear ubiquitin pathways and their effects on gene expression and chromatin remodeling.

Functionally, SPOPL forms part of the CUL3-RBX1 ubiquitin ligase complex, targeting proteins involved in chromatin regulation and transcriptional activation. By controlling the degradation of co-regulators, SPOPL influences gene silencing, cell cycle progression, and developmental signaling. Dysregulation of SPOPL expression has been linked to cancer, where altered ubiquitin signaling contributes to genomic instability and transcriptional imbalance. The SPOPL antibody provides a reliable reagent for studying these nuclear pathways and understanding adaptor-mediated substrate selection in ubiquitin ligase systems. NSJ Bioreagents validates this antibody for its applications, ensuring precise and reproducible detection in ubiquitin signaling and transcriptional studies.

Application Notes

Optimal dilution of the SPOPL antibody should be determined by the researcher.

Immunogen

E.coli-derived human SPOPL recombinant protein (Position: H173-Q361) was used as the immunogen for the SPOPL antibody.

Storage

After reconstitution, the SPOPL antibody can be stored for up to one month at 4oC. For long-term, aliquot and store at -20oC. Avoid repeated freezing and thawing.

Cross
Bulk Quote Request Form
Name*:
Organization*:
Email*:
Phone Number*:
Catalog No.*:
Comments and Specifics(amount, formulation, etc.)*:
Validation code: Captchapackage Image


Can't read the image? click here to refresh.
    *required field

Your bulk quote request has been submitted successfully!

Please contact us if you have any questions.