• Tel: 858.663.9055
  • SeparatorEmail: info@nsjbio.com
  • Tel: 858.663.9055
  • Email: info@nsjbio.com
Home >> Antibodies >> SPON1 Antibody / Spondin 1

SPON1 Antibody / Spondin 1 (FY12507)

  Catalog No Formulation Size Price (USD)  
Image FY12507 Adding 0.2 ml of distilled water will yield a concentration of 500 ug/ml 100 ug 449
Bulk quote request
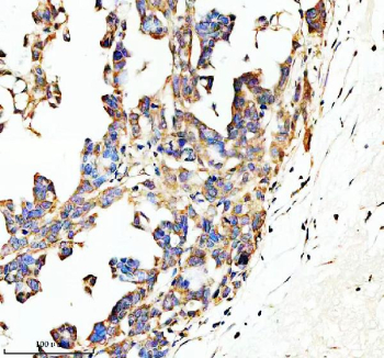
Immunohistochemical staining of SPON1 using anti-SPON1 antibody. SPON1 was detected in a paraffin-embedded section of human ovarian cancer tissue. Heat mediated antigen retrieval was performed in EDTA buffer (pH 8.0, epitope retrieval solution). The tissue section was blocked with 10% goat serum. The tissue section was then incubated with 2 ug/ml rabbit anti-SPON1 antibody overnight at 4oC. Peroxidase Conjugated Goat Anti-rabbit IgG was used as secondary antibody and incubated for 30 minutes at 37oC. The tissue section was developed using an HRP secondary and DAB substrate.
Availability 1-2 days
Species Reactivity Human
Format Lyophilized
Host Rabbit
Clonality Polyclonal (rabbit origin)
Isotype Rabbit IgG
Purity Immunogen affinity purified
Buffer Each vial contains 4 mg Trehalose, 0.9 mg NaCl, 0.2 mg Na2HPO4.
UniProt Q9HCB6
Applications Immunohistochemistry : 2-5ug/ml
ELISA : 0.1-0.5ug/ml
Limitations This SPON1 antibody is available for research use only.
Review this product on BioCompare and get a $20 Amazon gift card

Description

SPON1 antibody detects Spondin-1, an extracellular matrix protein that promotes cell adhesion, axon guidance, and tissue organization. Spondin-1 is a member of the F-spondin family of secreted glycoproteins that regulate neuronal outgrowth and vascular patterning. The SPON1 antibody is used in neuroscience, developmental biology, and vascular research to study ECM signaling and neural development.

SPON1 is encoded by the SPON1 gene located on human chromosome 11p15.2. The protein is approximately 91 kilodaltons and consists of a signal peptide, reelin domain, thrombospondin type I repeats, and a C-terminal region that mediates cell surface binding. Spondin-1 is secreted into the extracellular matrix where it interacts with integrins and heparan sulfate proteoglycans to promote neurite extension and cell attachment.

A SPON1 antibody can detect a 90-95 kilodalton band by western blot and reveals extracellular and pericellular staining in immunohistochemistry. During embryonic development, Spondin-1 guides commissural axons across the midline and contributes to axonal fasciculation. In adult tissues, it participates in vascular remodeling and ECM integrity. Spondin-1 is also implicated in Alzheimer's disease pathology, where altered expression affects amyloid precursor protein processing.

Beyond neural function, Spondin-1 contributes to chondrogenesis, osteogenesis, and tumor angiogenesis. Its expression is upregulated during wound repair and inflammation, suggesting a role in tissue regeneration. NSJ Bioreagents provides a validated SPON1 antibody, supporting investigations into neuronal growth and extracellular signaling.

Application Notes

Optimal dilution of the SPON1 antibody should be determined by the researcher.

Immunogen

E.coli-derived human SPON1 recombinant protein (Position: E247-H611) was used as the immunogen for the SPON1 antibody.

Storage

After reconstitution, the SPON1 antibody can be stored for up to one month at 4oC. For long-term, aliquot and store at -20oC. Avoid repeated freezing and thawing.

Cross
Bulk Quote Request Form
Name*:
Organization*:
Email*:
Phone Number*:
Catalog No.*:
Comments and Specifics(amount, formulation, etc.)*:
Validation code: Captchapackage Image


Can't read the image? click here to refresh.
    *required field

Your bulk quote request has been submitted successfully!

Please contact us if you have any questions.