• Tel: 858.663.9055
  • SeparatorEmail: info@nsjbio.com
  • Tel: 858.663.9055
  • Email: info@nsjbio.com
Home >> Antibodies >> SPOCK1 Antibody / Testican 1

SPOCK1 Antibody / Testican 1 (FY13273)

  Catalog No Formulation Size Price (USD)  
Image FY13273 Adding 0.2 ml of distilled water will yield a concentration of 500 ug/ml 100 ug 449
Bulk quote request
Immunofluorescent staining of SPOCK1 using anti-SPOCK1 antibody (red). SPOCK1 was detected in a paraffin-embedded section of human thyroid cancer tissue. Heat mediated antigen retrieval was performed in EDTA buffer (pH 8.0, epitope retrieval solution). The tissue section was blocked with 10% goat serum. The tissue section was then incubated with 5 ug/ml rabbit anti-SPOCK1 antibody overnight at 4oC. Cy3 Conjugated Goat Anti-Rabbit IgG was used as secondary antibody at 1:500 dilution and incubated for 30 minutes at 37oC. The section was counterstained with DAPI nuclear stain (blue). Visualize using a fluorescence microscope and filter sets appropriate for the label used.
Western blot analysis of SPOCK1 using anti-SPOCK1 antibody. Electrophoresis was performed on a 10% SDS-PAGE gel at 80V (Stacking gel) / 120V (Resolving gel) for 2 hours. Lane 1: human Hela whole cell lysates, Lane 2: human PC-3 whole cell lysates, Lane 1: human 293T whole cell lysates, Lane 2: human U251 whole cell lysates, Lane 5: rat brain tissue lysates, Lane 6: rat C6 whole cell lysates Lane 7: mouse brain tissue lysates. After electrophoresis, proteins were transferred to a nitrocellulose membrane at 150 mA for 50-90 minutes. Blocked the membrane with 5% non-fat milk/TBS for 1.5 hour at RT. The membrane was incubated with rabbit anti-SPOCK1 antibody at 0.5 ug/ml overnight at 4oC, then washed with TBS-0.1%Tween 3 times with 5 minutes each and probed with a goat anti-rabbit IgG-HRP secondary antibody at a dilution of 1:5000 for 1.5 hour at RT. The signal was developed using an ECL Plus Western Blotting Substrate. A predominant band is detected at an approximately 50-52 kDa in most samples, running slightly above the predicted ~49 kDa size and consistent with the glycosylated secreted form of SPOCK1. HeLa and U251 lysates show a stronger band near 49 kDa with a weaker band just above 50 kDa, likely reflecting coexisting core and more highly glycosylated SPOCK1 species rather than distinct isoforms.
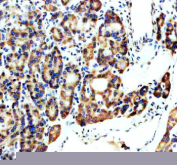
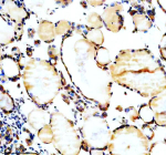
Immunohistochemical staining of SPOCK1 using anti-SPOCK1 antibody. SPOCK1 was detected in a paraffin-embedded section of human thyroid cancer tissue. Heat mediated antigen retrieval was performed in EDTA buffer (pH 8.0, epitope retrieval solution). The tissue section was blocked with 10% goat serum. The tissue section was then incubated with 2 ug/ml rabbit anti-SPOCK1 antibody overnight at 4oC. Peroxidase Conjugated Goat Anti-rabbit IgG was used as secondary antibody and incubated for 30 minutes at 37oC. The tissue section was developed using an HRP secondary and DAB substrate.
Immunohistochemical staining of SPOCK1 using anti-SPOCK1 antibody. SPOCK1 was detected in a paraffin-embedded section of human thyroid cancer tissue. Heat mediated antigen retrieval was performed in EDTA buffer (pH 8.0, epitope retrieval solution). The tissue section was blocked with 10% goat serum. The tissue section was then incubated with 2 ug/ml rabbit anti-SPOCK1 antibody overnight at 4oC. Peroxidase Conjugated Goat Anti-rabbit IgG was used as secondary antibody and incubated for 30 minutes at 37oC. The tissue section was developed using an HRP secondary and DAB substrate.
Flow Cytometry analysis of U251 cells using anti-SPOCK1 antibody. Overlay histogram showing U251 cells stained with (Blue line). The cells were fixed with 4% paraformaldehyde and blocked with 10% normal goat serum. And then incubated with rabbit anti-SPOCK1 antibody (1 ug/million cells) for 30 min at 20oC. DyLight 488 conjugated goat anti-rabbit IgG (5-10 ug/million cells) was used as secondary antibody for 30 minutes at 20oC. Isotype control antibody (Green line) was rabbit IgG (1 ug/million cells) used under the same conditions. Unlabelled sample without incubation with primary antibody and secondary antibody (Red line) was used as a blank control.
Availability 1-2 days
Species Reactivity Human, Mouse, Rat
Format Lyophilized
Host Rabbit
Clonality Polyclonal (rabbit origin)
Isotype Rabbit IgG
Purity Immunogen affinity purified
Buffer Each vial contains 4 mg Trehalose, 0.9 mg NaCl, 0.2 mg Na2HPO4.
UniProt Q08629
Applications Western Blot : 0.25-0.5ug/ml
Immunohistochemistry : 2-5ug/ml
Immunofluorescence : 5ug/ml
Flow Cytometry : 1-3ug/million cells
ELISA : 0.1-0.5ug/ml
Limitations This SPOCK1 antibody is available for research use only.
Review this product on BioCompare and get a $20 Amazon gift card

Description

SPOCK1 antibody detects Testican-1, a secreted glycoprotein that modulates extracellular matrix organization, protease activity, and cell migration. The UniProt recommended name is Testican-1 (SPOCK1). This protein belongs to the SPARC/osteonectin family and contributes to tissue remodeling, neural development, and tumor invasion through regulation of extracellular proteolytic balance.

Functionally, SPOCK1 antibody identifies a 438-amino-acid protein characterized by domains for proteoglycan attachment and calcium binding. SPOCK1 inhibits metalloproteinases such as MMP2 and cathepsin L, thereby influencing extracellular matrix turnover. It also interacts with glycosaminoglycans and cell surface receptors to regulate adhesion, proliferation, and differentiation. In the nervous system, SPOCK1 supports axon guidance, synaptic stability, and neurogenesis. In non-neural tissues, it contributes to angiogenesis and wound repair.

The SPOCK1 gene is located on chromosome 5q31.2 and is expressed in brain, kidney, heart, and various epithelial tissues. Expression is regulated during embryogenesis and tissue regeneration and is modulated by growth factors including TGFbeta and EGF. SPOCK1's matrix-associated properties make it a key component in maintaining extracellular homeostasis.

Pathologically, elevated SPOCK1 expression has been linked to tumor progression and metastasis in cancers such as lung, liver, and prostate carcinoma. By modulating MMP activity and promoting epithelial-mesenchymal transition (EMT), SPOCK1 enhances invasion and angiogenesis. Conversely, in neural tissues, dysregulation affects axonal pathfinding and synapse formation. Research using SPOCK1 antibody supports studies in cancer metastasis, extracellular matrix biology, and neural development.

SPOCK1 antibody can be validated for western blotting, immunohistochemistry, and ELISA to detect extracellular matrix proteins. NSJ Bioreagents provides SPOCK1 antibody reagents optimized for research in tumor microenvironment, neural growth, and protease regulation.

Structurally, Testican-1 contains an N-terminal proteoglycan domain with glycosaminoglycan attachment sites, followed by Kazal-type protease inhibitor and calcium-binding domains. Its modular organization allows inhibition of proteolytic enzymes and stabilization of extracellular matrix components. This antibody enables analysis of SPOCK1's function in matrix remodeling, neural morphogenesis, and tumor biology.

Application Notes

Optimal dilution of the SPOCK1 antibody should be determined by the researcher.

Immunogen

E.coli-derived human SPOCK1 recombinant protein (Position: H35-E427) was used as the immunogen for the SPOCK1 antibody.

Storage

After reconstitution, the SPOCK1 antibody can be stored for up to one month at 4oC. For long-term, aliquot and store at -20oC. Avoid repeated freezing and thawing.

Cross
Bulk Quote Request Form
Name*:
Organization*:
Email*:
Phone Number*:
Catalog No.*:
Comments and Specifics(amount, formulation, etc.)*:
Validation code: Captchapackage Image


Can't read the image? click here to refresh.
    *required field

Your bulk quote request has been submitted successfully!

Please contact us if you have any questions.