• Tel: 858.663.9055
  • SeparatorEmail: info@nsjbio.com
  • Tel: 858.663.9055
  • Email: info@nsjbio.com
Home >> Antibodies >> SPINK4 Antibody / Serine peptidase inhibitor Kazal-type 4

SPINK4 Antibody / Serine peptidase inhibitor Kazal-type 4 (FY13186)

  Catalog No Formulation Size Price (USD)  
Image FY13186 Adding 0.2 ml of distilled water will yield a concentration of 500 ug/ml 100 ug 439
Bulk quote request
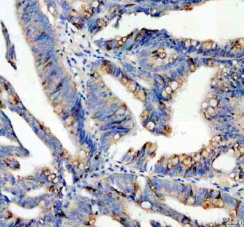
Immunohistochemical staining of SPINK4 using anti-SPINK4 antibody. SPINK4 was detected in a paraffin-embedded section of human colon cancer tissue. Heat mediated antigen retrieval was performed in EDTA buffer (pH 8.0, epitope retrieval solution). The tissue section was blocked with 10% goat serum. The tissue section was then incubated with 2 ug/ml rabbit anti-SPINK4 antibody overnight at 4oC. Peroxidase Conjugated Goat Anti-rabbit IgG was used as secondary antibody and incubated for 30 minutes at 37oC. The tissue section was developed using an HRP secondary and DAB substrate.
Availability 1-2 days
Species Reactivity Human
Format Lyophilized
Clonality Polyclonal (rabbit origin)
Isotype Rabbit IgG
Purity Immunogen affinity purified
Buffer Each vial contains 4 mg Trehalose, 0.9 mg NaCl, 0.2 mg Na2HPO4.
UniProt O60575
Localization Golgi, Nucleus
Applications Immunohistochemistry : 2-5ug/ml
Limitations This SPINK4 antibody is available for research use only.
Review this product on BioCompare and get a $20 Amazon gift card

Description

SPINK4 antibody detects Serine peptidase inhibitor Kazal-type 4, a secreted protease inhibitor that regulates intestinal mucosal protection and epithelial homeostasis. The UniProt recommended name is Serine peptidase inhibitor Kazal-type 4 (SPINK4). This small protein is part of the Kazal-type serine protease inhibitor family and functions as a local regulator of proteolytic activity in gastrointestinal tissues.

Functionally, SPINK4 antibody identifies a 86-amino-acid protein predominantly expressed in goblet cells of the small and large intestine. SPINK4 binds and inhibits trypsin-like proteases, preventing excessive proteolysis in the mucosal environment. It contributes to epithelial integrity and immune defense by maintaining the protective mucus barrier.

The SPINK4 gene is located on chromosome 9p13.3 and is expressed specifically in intestinal and colonic mucosa. Its expression is upregulated during inflammation and epithelial injury, reflecting its protective and regulatory role in the gut.

Pathologically, elevated SPINK4 levels have been reported in colorectal cancer, inflammatory bowel disease, and gastrointestinal infections. It is a potential biomarker for epithelial stress and differentiation states in intestinal disorders. Research using SPINK4 antibody supports studies in mucosal immunology, epithelial biology, and cancer biomarker discovery.

SPINK4 antibody is validated for western blotting, ELISA, and immunohistochemistry to detect secreted protease inhibitors. NSJ Bioreagents provides SPINK4 antibody reagents optimized for research in digestive physiology, protease regulation, and epithelial pathology.

Structurally, Serine peptidase inhibitor Kazal-type 4 consists of a single Kazal inhibitory domain stabilized by disulfide bonds, which confers high affinity for target proteases. This antibody enables investigation of SPINK4's function in mucosal protection and intestinal homeostasis.

Application Notes

Optimal dilution of the SPINK4 antibody should be determined by the researcher.

Immunogen

A synthetic peptide corresponding to a sequence at the N-terminus of human SPINK4 was used as the immunogen for the SPINK4 antibody.

Storage

After reconstitution, the SPINK4 antibody can be stored for up to one month at 4oC. For long-term, aliquot and store at -20oC. Avoid repeated freezing and thawing.

Cross
Bulk Quote Request Form
Name*:
Organization*:
Email*:
Phone Number*:
Catalog No.*:
Comments and Specifics(amount, formulation, etc.)*:
Validation code: Captchapackage Image


Can't read the image? click here to refresh.
    *required field

Your bulk quote request has been submitted successfully!

Please contact us if you have any questions.