• Tel: 858.663.9055
  • SeparatorEmail: info@nsjbio.com
  • Tel: 858.663.9055
  • Email: info@nsjbio.com
Home >> Antibodies >> SPI1 Antibody / PU.1

SPI1 Antibody / PU.1 (RQ6908)

  Catalog No Formulation Size Price (USD)  
Image RQ6908 0.5mg/ml if reconstituted with 0.2ml sterile DI water 100 ug 449
Bulk quote request
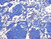
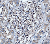
IHC staining of FFPE rat lymph gland tissue with SPI1 antibody. HIER: boil tissue sections in pH8 EDTA for 20 min and allow to cool before testing.
IHC staining of FFPE mouse lymph gland tissue with SPI1 antibody. HIER: boil tissue sections in pH8 EDTA for 20 min and allow to cool before testing.
IHC staining of FFPE human lymphoma tissue with SPI1 antibody. HIER: boil tissue sections in pH8 EDTA for 20 min and allow to cool before testing.
Western blot testing of 1) human K562 and 2) human Raji cell lysate with SPI1 antibody. Predicted molecular weight ~31 kDa but routinely observed at ~40 kDa.
Flow cytometry testing of human ThP-1 cells with SPI1 antibody at 1ug/million cells (blocked with goat sera); Red=cells alone, Green=isotype control, Blue= SPI1 antibody.
Availability 1-3 business days
Species Reactivity Human, Mouse, Rat
Format Antigen affinity purified
Host Rabbit
Clonality Polyclonal (rabbit origin)
Isotype Rabbit IgG
Purity Antigen affinity purified
Buffer Lyophilized from 1X PBS with 2% Trehalose
UniProt P17947
Localization Nuclear
Applications Western Blot : 1-2ug/ml
Immunohistochemistry (FFPE) : 2-5ug/ml
Flow Cytometry : 1-3ug/million cells
Direct ELISA : 0.1-0.5ug/ml
Limitations This SPI1 antibody is available for research use only.
Review this product on BioCompare and get a $20 Amazon gift card

Related Products

Description

Transcription factor PU.1 is a protein that in humans is encoded by the SPI1 gene. This gene encodes an ETS-domain transcription factor that activates gene expression during myeloid and B-lymphoid cell development. The nuclear protein binds to a purine-rich sequence known as the PU-box found near the promoters of target genes, and regulates their expression in coordination with other transcription factors and cofactors. The protein can also regulate alternative splicing of target genes. Multiple transcript variants encoding different isoforms have been found for this gene.

Application Notes

Optimal dilution of the SPI1 antibody should be determined by the researcher.

Immunogen

Recombinant human protein (amino acids M1-R212) was used as the immunogen for the SPI1 antibody.

Storage

After reconstitution, the SPI1 antibody can be stored for up to one month at 4oC. For long-term, aliquot and store at -20oC. Avoid repeated freezing and thawing.

Cross
Bulk Quote Request Form
Name*:
Organization*:
Email*:
Phone Number*:
Catalog No.*:
Comments and Specifics(amount, formulation, etc.)*:
Validation code: Captchapackage Image


Can't read the image? click here to refresh.
    *required field

Your bulk quote request has been submitted successfully!

Please contact us if you have any questions.