• Tel: 858.663.9055
  • SeparatorEmail: info@nsjbio.com
  • Tel: 858.663.9055
  • Email: info@nsjbio.com
Home >> Antibodies >> Spectrin beta III Antibody / SPTBN2

Spectrin beta III Antibody / SPTBN2 [clone SPTBN2/1584] (V3396)

  Catalog No Formulation Size Price (USD)  
Image V3396-100UG 0.2 mg/ml in 1X PBS with 0.1 mg/ml BSA (US sourced) and 0.05% sodium azide 100 ug 559
Image
V3396-20UG 0.2 mg/ml in 1X PBS with 0.1 mg/ml BSA (US sourced) and 0.05% sodium azide 20 ug 259
Image
V3396SAF-100UG 1 mg/ml in 1X PBS; BSA free, sodium azide free 100 ug 559
Microvalidated
Bulk quote request
Western blot testing of human PANC-1 cell lysate with Spectrin beta III antibody. Predicted molecular weight ~246 kDa.
Western blot testing of human HeLa cell lysate with Spectrin beta III antibody. Predicted molecular weight ~246 kDa.
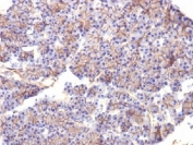
IHC testing of FFPE human pancreas with Spectrin beta III antibody (clone SPTBN2/1584). Required HIER: boil tissue sections in 10mM citrate buffer, pH 6, for 10-20 min followed by cooling at RT for 20 min.
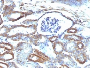
IHC testing of FFPE mouse kidney with Spectrin beta III antibody (clone SPTBN2/1584). Required HIER: boil tissue sections in 10mM citrate buffer, pH 6, for 10-20 min followed by cooling at RT for 20 min.
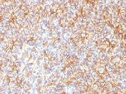
IHC testing of FFPE rat pancreas with Spectrin beta III antibody (clone SPTBN2/1584). Required HIER: boil tissue sections in 10mM citrate buffer, pH 6, for 10-20 min followed by cooling at RT for 20 min.
Immunofluorescent staining of MeOH fixed human HeLa cells with Spectrin beta III antibody (clone SPTBN2/1584, green) and Reddot nuclear stain (red).
Flow cytometry staining of human HeLa cells with Spectrin beta III antibody; Red=isotype control, Blue= Spectrin beta III antibody.
Analysis of HuProt(TM) microarray containing more than 19,000 full-length human proteins using Spectrin beta III antibody (clone SPTBN2/1584). These results demonstrate the foremost specificity of the SPTBN2/1584 mAb. Z- and S- score: The Z-score represents the strength of a signal that an antibody (in combination with a fluorescently-tagged anti-IgG secondary Ab) produces when binding to a particular protein on the HuProt(TM) array. Z-scores are described in units of standard deviations (SD's) above the mean value of all signals generated on that array. If the targets on the HuProt(TM) are arranged in descending order of the Z-score, the S-score is the difference (also in units of SD's) between the Z-scores. The S-score therefore represents the relative target specificity of an Ab to its intended target.
SDS-PAGE Analysis of Purified, BSA-Free Spectrin beta III Antibody (clone SPTBN2/1584). Confirmation of Integrity and Purity of the Antibody.
Species Reactivity Human, Mouse, Rat
Format Purified
Host Mouse
Clonality Monoclonal (mouse origin)
Isotype Mouse IgG1, kappa
Clone Name SPTBN2/1584
Purity Protein G affinity chromatography
UniProt O15020
Gene ID 6712
Localization Cell surface, cytoplasm
Applications Flow Cytometry : 0.5-1ug/10^6 cells
Immunofluorescence : 0.5-1ug/ml
Western Blot : 0.5-1ug/ml
Immunohistochemistry (FFPE) : 0.5-1ug/ml for 30 min at RT
Limitations This Spectrin beta III antibody is available for research use only.
Review this product on BioCompare and get a $20 Amazon gift card

Related Products

Description

Spectrin is an actin binding protein that is a major component of the plasma membrane skeleton. Spectrins function as membrane organizers and stabilizers by forming dimers, tetramers and higher polymers. Spectrin alpha and spectrin beta are present in erythrocytes, whereas spectrin alpha II (fodrin a) and spectrin beta I (fodrin b) are present in other somatic cells. SPTBN2/Spectrin beta III is highly homologous to both spectrin beta I and spectrin beta II. SPTBN2 is highly expressed in brain, kidney, pancreas and liver, and at lower levels in lung and placenta.

Application Notes

The concentration stated for each application is a general starting point. Variations in protocols, secondaries and substrates may require the Spectrin beta III antibody to be titered up or down for optimal performance.

Immunogen

Human recombinant partial protein corresponding to amino acids 356-475 was used as the immunogen for this Spectrin beta III antibody.

Storage

Store the Spectrin beta III antibody at 2-8oC (with azide) or aliquot and store at -20oC or colder (without azide).

Cross
Bulk Quote Request Form
Name*:
Organization*:
Email*:
Phone Number*:
Catalog No.*:
Comments and Specifics(amount, formulation, etc.)*:
Validation code: Captchapackage Image


Can't read the image? click here to refresh.
    *required field

Your bulk quote request has been submitted successfully!

Please contact us if you have any questions.