• Tel: 858.663.9055
  • SeparatorEmail: info@nsjbio.com
  • Tel: 858.663.9055
  • Email: info@nsjbio.com
Home >> Antibodies >> SPARCL1 Antibody / SPARC-Like 1

SPARCL1 Antibody / SPARC-Like 1 (R31200)

  Catalog No Formulation Size Price (USD)  
Image R31200 0.5mg/ml if reconstituted with 0.2ml sterile DI water 100 ug 449
Bulk quote request
Western blot testing of SPARCL1 antibody and Lane 1: rat lung; 2: mouse lung; and human samples 3: PANC; 4: A549; 5: COLO320; 6: MCF-7; 7: HT1080 cell lysate. Predicted/observed molecular weight ~75 kDa.
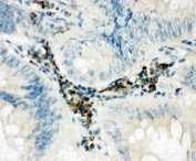
IHC-P: SPARCL1 antibody testing of human intestine cancer tissue. HIER: steamed with pH6 citrate buffer.
IHC-P: SPARCL1 antibody testing of rat brain tissue. HIER: steamed with pH6 citrate buffer.
Availability 1-3 business days
Species Reactivity Human, Mouse, Rat
Format Antigen affinity purified
Host Rabbit
Clonality Polyclonal (rabbit origin)
Isotype Rabbit IgG
Purity Antigen affinity
Buffer Lyophilized from 1X PBS with 2.5% BSA and 0.025% sodium azide/thimerosal
UniProt Q14515
Localization Cytoplasmic, secreted
Applications Western Blot : 0.5-1ug/ml
IHC (FFPE) : 0.5-1ug/ml
Limitations This SPARCL1 antibody is available for research use only.
Review this product on BioCompare and get a $20 Amazon gift card

Related Products

  • Applications : WB, IHC-P
    Reactivity : Human, Mouse, Rat

Description

SPARCL1 (SPARC-Like Protein 1), also known as HEVIN, is a protein that in humans is encoded by the SPARCL1 gene. The cells in high endothelial venules (HEVs) in lymphoid tissues have a plump, almost cuboidal, appearance and support high levels of lymphocyte extravasation from blood, possibly due to the presence of desmosome-like junctions rather than tight junctions in the HEVs. In chronic inflammation, the activated endothelium of nonlymphoid tissues acquires an HEV-like morphology and function. Hevin is highly expressed in HEV and is though to contribute to the induction or maintenance of features of the HEV endothelium that facilitate lymphocyte migration(Girard and Springer, 1995).

Application Notes

The stated application concentrations are suggested starting amounts. Titration of the SPARCL1 antibody may be required due to differences in protocols and secondary/substrate sensitivity.

Immunogen

An amino acid sequence from the C-terminus of human SPARC-Like Protein 1 (HCFGIKEEDIDENLLF) was used as the immunogen for this SPARCL1 antibody (100% homologous in human, mouse and rat).

Storage

After reconstitution, the SPARCL1 antibody can be stored for up to one month at 4oC. For long-term, aliquot and store at -20oC. Avoid repeated freezing and thawing.

Cross
Bulk Quote Request Form
Name*:
Organization*:
Email*:
Phone Number*:
Catalog No.*:
Comments and Specifics(amount, formulation, etc.)*:
Validation code: Captchapackage Image


Can't read the image? click here to refresh.
    *required field

Your bulk quote request has been submitted successfully!

Please contact us if you have any questions.