• Tel: 858.663.9055
  • SeparatorEmail: info@nsjbio.com
  • Tel: 858.663.9055
  • Email: info@nsjbio.com
Home >> Antibodies >> SPARC Antibody / Osteonectin

SPARC Antibody / Osteonectin [clone OSTN/3755] (V9576)

  Catalog No Formulation Size Price (USD)  
Image V9576-100UG 0.2 mg/ml in 1X PBS with 0.1 mg/ml BSA (US sourced), 0.05% sodium azide 100 ug 559
Image
V9576-20UG 0.2 mg/ml in 1X PBS with 0.1 mg/ml BSA (US sourced), 0.05% sodium azide 20 ug 259
Image
V9576SAF-100UG 1 mg/ml in 1X PBS; BSA free, sodium azide free 100 ug 559
Microvalidated
Bulk quote request
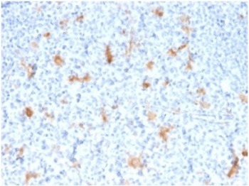
IHC staining of FFPE human tonsil tissue with SPARC antibody (clone OSTN/3755). HIER: boil tissue sections in pH 9 10mM Tris with 1mM EDTA for 20 min and allow to cool before testing.
Western blot analysis of human JEG-3 cell lysate using SPARC antibody (clone OSTN/3755). Expected molecular weight: 35-43 kDa depending on glycosylation level.
Analysis of HuProt(TM) microarray containing more than 19,000 full-length human proteins using SPARC antibody (clone OSTN/3755). These results demonstrate the foremost specificity of the OSTN/3755 mAb. Z- and S- score: The Z-score represents the strength of a signal that an antibody (in combination with a fluorescently-tagged anti-IgG secondary Ab) produces when binding to a particular protein on the HuProt(TM) array. Z-scores are described in units of standard deviations (SD's) above the mean value of all signals generated on that array. If the targets on the HuProt(TM) are arranged in descending order of the Z-score, the S-score is the difference (also in units of SD's) between the Z-scores. The S-score therefore represents the relative target specificity of an Ab to its intended target.
Availability 1-3 business days
Species Reactivity Human
Format Purified
Host Mouse
Clonality Monoclonal (mouse origin)
Isotype Mouse IgG1, kappa
Clone Name OSTN/3755
Purity Protein A/G affinity
UniProt P09486
Localization Secreted
Applications Western Blot : 1-2ug/ml
Immunohistochemistry (FFPE) : 1-2ug/ml
Limitations This SPARC antibody is available for research use only.
Review this product on BioCompare and get a $20 Amazon gift card

Related Products

Description

SPARC (for secreted protein acidic and rich in cysteine) is a phosphorylated, acidic, glycine-rich glycoprotein that is secreted by endothelial cells and is present in large amounts in the parietal endoderm of mouse embryos and in human placenta. It is identical to osteonectin, a protein important to bone calcification that is highly conserved between species. SPARC, which can be selectively expressed by the endothelium in response to certain types of injury, induces rounding in adherent endothelial cells in vitro. It regulates endothelial barrier function through F-Actin-dependent changes in cell shape, coincident with the appearance of intercellular gaps, which provide a paracellular pathway for extravasation of macromolecules.

Application Notes

Optimal dilution of the SPARC antibody should be determined by the researcher.

Immunogen

A portion of amino acids 1-200 was used as the immunogen for the SPARC antibody.

Storage

Aliquot the SPARC antibody and store frozen at -20oC or colder. Avoid repeated freeze-thaw cycles.

Cross
Bulk Quote Request Form
Name*:
Organization*:
Email*:
Phone Number*:
Catalog No.*:
Comments and Specifics(amount, formulation, etc.)*:
Validation code: Captchapackage Image


Can't read the image? click here to refresh.
    *required field

Your bulk quote request has been submitted successfully!

Please contact us if you have any questions.