• Tel: 858.663.9055
  • SeparatorEmail: info@nsjbio.com
  • Tel: 858.663.9055
  • Email: info@nsjbio.com
Home >> Antibodies >> SP100 Antibody

SP100 Antibody [clone PCRP-SP100-1B9] (V8994)

  Catalog No Formulation Size Price (USD)  
Image V8994-100UG 0.2 mg/ml in 1X PBS with 0.1 mg/ml BSA (US sourced), 0.05% sodium azide 100 ug 559
Image
V8994-20UG 0.2 mg/ml in 1X PBS with 0.1 mg/ml BSA (US sourced), 0.05% sodium azide 20 ug 259
Image
V8994SAF-100UG 1 mg/ml in 1X PBS; BSA free, sodium azide free 100 ug 559
Bulk quote request
FACS staining of PFA-fixed human HeLa cells with SP100 antibody (blue, clone PCRP-SP100-1B9), and unstained cells (red).
SDS-PAGE analysis of purified, BSA-free SP100 antibody (PCRP-SP100-1B9) as confirmation of integrity and purity.
Immunofluorescent staining of PFA-fixed human HeLa cells using SP100 antibody (green, clone PCRP-SP100-1B9) and phalloidin (red).
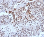
IHC staining of FFPE human colon tissue with SP100 antibody (clone PCRP-SP100-1B9) at 2ug/ml in PBS for 30min RT. HIER: boil tissue sections in pH 9 10mM Tris with 1mM EDTA for 20 min and allow to cool before testing.
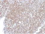
IHC staining of FFPE human tonsil tissue with SP100 antibody (clone PCRP-SP100-1B9) at 2ug/ml in PBS for 30min RT. HIER: boil tissue sections in pH 9 10mM Tris with 1mM EDTA for 20 min and allow to cool before testing.
Analysis of HuProt(TM) microarray containing more than 19,000 full-length human proteins using SP100 antibody (clone PCRP-SP100-1B9). These results demonstrate the foremost specificity of the PCRP-SP100-1B9 mAb. Z- and S- score: The Z-score represents the strength of a signal that an antibody (in combination with a fluorescently-tagged anti-IgG secondary Ab) produces when binding to a particular protein on the HuProt(TM) array. Z-scores are described in units of standard deviations (SD's) above the mean value of all signals generated on that array. If the targets on the HuProt(TM) are arranged in descending order of the Z-score, the S-score is the difference (also in units of SD's) between the Z-scores. The S-score therefore represents the relative target specificity of an Ab to its intended target.
Availability 1-3 business days
Species Reactivity Human
Format Purified
Host Mouse
Clonality Monoclonal (mouse origin)
Isotype Mouse IgG2b
Clone Name PCRP-SP100-1B9
Purity Protein A/G affinity
UniProt P23497
Localization Nucleus
Applications ELISA (For Coating :
Order BSA-free Format) :
Western Blot : 1-2ug/ml
Immunofluorescence : 0.5-2ug/ml
Immunoprecipitation : 1-2ug per 100-500ug of total protein (1ml of cell lysate)
Flow Cytometry : 0.5-2ug/million cells
Immunohistochemistry (FFPE) : 1-2ug/ml
Limitations This SP100 antibody is available for research use only.
Review this product on BioCompare and get a $20 Amazon gift card

Related Products

  • Applications : WB, ELISA
    Reactivity : Human

Description

The human SP100 gene encodes an autoantigen that co-localizes with PML and NDP52 in distinct nuclear domains, called nuclear dots (NDs) or ND10 nuclear bodies. Papova-, adeno-, and herpesviruses begin their transcription and DNA-replication at NDs, which play a role in autoimmunity, viral infections and in the etiology of acute promyelocytic leukemia. SP-100 is an interferon inducible protein that has two splice variants. One splice variant contains a highly conserved copy of the DNA-binding high mobility group 1 protein sequence, and thus represents a novel HMG-box protein. This alternatively spliced variant of SP-100 has a unique expression and localization pattern that is distinct from the SP-100 full-length protein. The SP100 protein is covalently modified by the small ubiquitin-related protein SUMO-1. SP-100 contains a functional nuclear localization signal and an ND-targeting region, which overlaps with the SP-100 homodimerization domain.

Application Notes

Optimal dilution of the SP100 antibody should be determined by the researcher.

Immunogen

Recombinant full-length human SP100 protein was used as the immunogen for the SP100 antibody.

Storage

Aliquot the SP100 antibody and store frozen at -20oC or colder. Avoid repeated freeze-thaw cycles.

Cross
Bulk Quote Request Form
Name*:
Organization*:
Email*:
Phone Number*:
Catalog No.*:
Comments and Specifics(amount, formulation, etc.)*:
Validation code: Captchapackage Image


Can't read the image? click here to refresh.
    *required field

Your bulk quote request has been submitted successfully!

Please contact us if you have any questions.