• Tel: 858.663.9055
  • SeparatorEmail: info@nsjbio.com
  • Tel: 858.663.9055
  • Email: info@nsjbio.com
Home >> Antibodies >> SOX2 Antibody / SRY related HMG box 2

SOX2 Antibody / SRY related HMG box 2 (R36499)

  Catalog No Formulation Size Price (USD)  
Image R36499-100UG 0.5 mg/ml in 1X TBS, pH7.3, with 0.5% BSA (US sourced) and 0.02% sodium azide 100 ug 475
Bulk quote request
IHC staining of FFPE human tonsil tissue with SOX2 antibody at 8ug/ml. Required HIER: steamed antigen retrieval with pH6 citrate buffer; HRP-staining.
Negative control: IHC staining of FFPE human tonsil tissue without primary antibody. HIER: steamed with pH6 citrate buffer, HRP-staining.
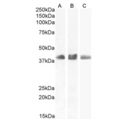
Western blot testing of human A) MCF7, 2) HEK293 and C) nuclear fraction MCF7 cell lysate with SOX2 antibody. Predicted molecular weight ~34 kDa.
FACS testing of fixed and permeabilized human HEK293 cells with SOX2 antibody (blue) at 1ug/million cells/0.1ml and naive goat Ig (black).
Availability 1-3 business days
Species Reactivity Human
Format Antigen affinity purified
Host Goat
Clonality Polyclonal (goat origin)
Isotype Goat Ig
Purity Antigen affinity
UniProt P48431
Localization Cytoplasmic, nuclear
Applications Western Blot : 0.1-0.3ug/ml
Immunohistochemistry (FFPE) : 6-8ug/ml
Flow Cytometry : 1ug/million cells in 0.1ml
ELISA (peptide) LOD : 1:32000
Limitations This SOX2 antibody is available for research use only.
Review this product on BioCompare and get a $20 Amazon gift card

Related Products

  • Applications : ELISA, WB, IHC-P
    Reactivity : Human, Mouse
    Recrabbitmono
  • Applications : ELISA, WB, IHC-P
    Reactivity : Human
    Recrabbitmono
  • Applications : ELISA, WB, IHC-P
    Reactivity : Human, Mouse
    Microvalidated
  • Applications : ELISA, WB, IHC-P
    Reactivity : Human, Mouse
    Microvalidated
  • Applications : WB, IHC, IF, FACS, ELISA
    Reactivity : Human
  • Applications : WB, IHC-P
    Reactivity : Human, Mouse, Rat
  • Applications : WB, IHC, IF, FACS, ELISA
    Reactivity : Human
    Pred. Reactivity : Mouse, Chicken, Zebrafish, Xenopus
  • Applications : WB, FACS, ELISA
    Reactivity : Human
  • Applications : WB, ELISA
    Reactivity : Human
    Pred. Reactivity : Mouse
  • Applications : WB, ELISA
    Reactivity : Human, Mouse
  • Applications : WB, ELISA
    Reactivity : Human
  • Applications : WB, ELISA
    Reactivity : Human, Mouse
    Pred. Reactivity : Chicken
  • Applications : WB, ELISA
    Reactivity : Human
  • Applications : IF, DB, ELISA
    Reactivity : Human
    Pred. Reactivity : Mouse
  • Applications : DB, ELISA
    Reactivity : Human
    Pred. Reactivity : Mouse
  • Applications : DB, ELISA
    Reactivity : Human
    Pred. Reactivity : Mouse
  • Applications : DB, ELISA
    Reactivity : Human
    Pred. Reactivity : Mouse

Description

The SOX2 protein is involvement in embryonic development. It plays a significant role in maintaining the pluripotency of embryonic stem cells, ensuring that they have the potential to differentiate into any cell type within the body. Studies have shown that aberrant expression of SOX2 is associated with various types of cancer, including lung, breast, and brain tumors.

Application Notes

Optimal dilution of the SOX2 antibody should be determined by the researcher.

Immunogen

Amino acids YNMMETELKPPGPQQ were used as the immunogen for this SOX2 antibody.

Storage

Aliquot and store the SOX2 antibody at -20oC.

Cross
Bulk Quote Request Form
Name*:
Organization*:
Email*:
Phone Number*:
Catalog No.*:
Comments and Specifics(amount, formulation, etc.)*:
Validation code: Captchapackage Image


Can't read the image? click here to refresh.
    *required field

Your bulk quote request has been submitted successfully!

Please contact us if you have any questions.