• Tel: 858.663.9055
  • SeparatorEmail: info@nsjbio.com
  • Tel: 858.663.9055
  • Email: info@nsjbio.com
Home >> Antibodies >> SOX18 Antibody

SOX18 Antibody [clone SOX18/3271] (V4834)

  Catalog No Formulation Size Price (USD)  
Image V4834-100UG 0.2 mg/ml in 1X PBS with 0.1 mg/ml BSA (US sourced), 0.05% sodium azide 100 ug 559
Image
V4834-20UG 0.2 mg/ml in 1X PBS with 0.1 mg/ml BSA (US sourced), 0.05% sodium azide 20 ug 259
Image
V4834SAF-100UG 1 mg/ml in 1X PBS; BSA free, sodium azide free 100 ug 559
Microvalidated
Bulk quote request
IHC staining of FFPE human skin tissue with SOX18 antibody (clone SOX18/3271). Inset: PBS used in place of primary Ab (secondary Ab negative control). HIER: boil tissue sections in pH 9 10mM Tris with 1mM EDTA for 20 min and allow to cool before testing.
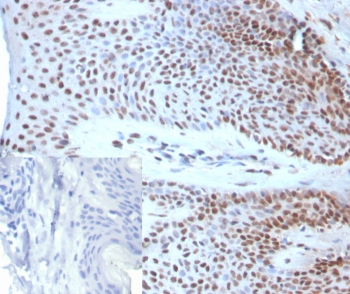
IHC staining of FFPE human prostate tissue with SOX18 antibody (clone SOX18/3271). Inset: PBS used in place of primary Ab (secondary Ab negative control). HIER: boil tissue sections in pH 9 10mM Tris with 1mM EDTA for 20 min and allow to cool before testing.
SDS-PAGE analysis of purified, BSA-free SOX18 antibody (clone SOX18/3271) as confirmation of integrity and purity.
Analysis of a HuProt(TM) microarray containing more than 19,000 full-length human proteins using SOX18 antibody (clone SOX18/3271) Z- and S- Score: The Z-score represents the strength of a signal that a monoclonal antibody (in combination with a fluorescently-tagged anti-IgG secondary antibody) produces when binding to a particular protein on the HuProt(TM) array. Z-scores are described in units of standard deviations (SD's) above the mean value of all signals generated on that array. If targets on HuProt(TM) are arranged in descending order of the Z-score, the S-score is the difference (also in units of SD's) between the Z-score. S-score therefore represents the relative target specificity of a mAb to its intended target. A mAb is considered to specific to its intended target, if the mAb has an S-score of at least 2.5. For example, if a mAb binds to protein X with a Z-score of 43 and to protein Y with a Z-score of 14, then the S-score for the binding of that mAb to protein X is equal to 29.
Availability 1-3 business days
Species Reactivity Human
Format Purified
Host Mouse
Clonality Monoclonal (mouse origin)
Isotype Mouse IgG2, kappa
Clone Name SOX18/3271
Purity Protein A/G affinity
UniProt P35713
Localization Nucleus
Applications Immunohistochemistry (FFPE) : 1-2ug/ml for 30 min at RT
Limitations This SOX18 antibody is available for research use only.
Review this product on BioCompare and get a $20 Amazon gift card

Related Products

  • Applications : WB, IF, FACS, Direct ELISA
    Reactivity : Human, Mouse, Rat

Description

Sox genes comprise a family of genes that are related to the mammalian sex determining gene SRY. These genes similarly contain sequences that encode for the HMG-box domain, which is responsible for the sequence-specific DNAbinding activity. Sox genes encode putative transcriptional regulators implicated in the decision of cell fates during development and the control of diverse developmental processes. The highly complex group of Sox genes cluster at least 40 different loci that rapidly diverged in various animal lineages. At present, 30 Sox genes have been identified. Members of this family have been shown to be conserved during evolution and to play key roles during animal development. Some are involved in human diseases, including sex reversal. Sox-18 is a 384 amino acid nuclear protein that contains one HMG box DNA-binding domain and belongs to the Sox family of transcriptional regulators.

Application Notes

Optimal dilution of the SOX18 antibody should be determined by the researcher.

Immunogen

A recombinant human SOX18 protein fragment (within amino acids 50-250) was used as the immunogen for the SOX18 antibody.

Storage

Aliquot the SOX18 antibody and store frozen at -20oC or colder. Avoid repeated freeze-thaw cycles.

Cross
Bulk Quote Request Form
Name*:
Organization*:
Email*:
Phone Number*:
Catalog No.*:
Comments and Specifics(amount, formulation, etc.)*:
Validation code: Captchapackage Image


Can't read the image? click here to refresh.
    *required field

Your bulk quote request has been submitted successfully!

Please contact us if you have any questions.