• Tel: 858.663.9055
  • SeparatorEmail: info@nsjbio.com
  • Tel: 858.663.9055
  • Email: info@nsjbio.com
Home >> Antibodies >> SOX11 Antibody

SOX11 Antibody [clone SOX11/7236] (V8993)

  Catalog No Formulation Size Price (USD)  
Image V8993-100UG 0.2 mg/ml in 1X PBS with 0.1 mg/ml BSA (US sourced), 0.05% sodium azide 100 ug 559
Image
V8993-20UG 0.2 mg/ml in 1X PBS with 0.1 mg/ml BSA (US sourced), 0.05% sodium azide 20 ug 259
Image
V8993SAF-100UG 1 mg/ml in 1X PBS; BSA free, sodium azide free 100 ug 559
Bulk quote request
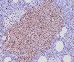
IHC staining of FFPE human tonsil tissue with SOX11 antibody (clone SOX11/7236). HIER: boil tissue sections in pH 9 10mM Tris with 1mM EDTA for 20 min and allow to cool before testing.
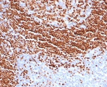
IHC staining of FFPE human mantle cell lymphoma tissue with SOX11 antibody (clone SOX11/7236). HIER: boil tissue sections in pH 9 10mM Tris with 1mM EDTA for 20 min and allow to cool before testing.
IHC staining of FFPE human lymph node tissue with SOX11 antibody (clone SOX11/7236). HIER: boil tissue sections in pH 9 10mM Tris with 1mM EDTA for 20 min and allow to cool before testing.
Availability 1-3 business days
Species Reactivity Human
Format Purified
Host Mouse
Clonality Monoclonal (mouse origin)
Isotype Mouse IgG1, kappa
Clone Name SOX11/7236
Purity Protein A/G affinity
UniProt P35716
Localization Nucleus
Applications Immunohistochemistry (FFPE) : 1-2ug/ml
Limitations This SOX11 antibody is available for research use only.
Review this product on BioCompare and get a $20 Amazon gift card

Related Products

  • Applications : IHC-P
    Reactivity : Human
    Recrabbitmono
  • Applications : WB, ELISA
    Reactivity : Human, Rat
    Pred. Reactivity : Chicken
  • Applications : WB, ELISA (peptide)
    Reactivity : Human
    Pred. Reactivity : Cow, Mouse, Pig, Rat
  • Applications : WB, FACS, Direct ELISA
    Reactivity : Human, Mouse, Rat
  • Applications : WB, IHC-P, FACS, Direct ELISA
    Reactivity : Mouse, Rat

Description

Recognizes a protein of ~47kDa, identified as SOX11. This MAb is highly specific and does not cross-react with other members of the SOX-family. Mantle cell lymphoma (MCL) accounts for 5% to 10% of mature B-cell neoplasms and is an aggressive disease genetically characterized by overexpression of Cyclin D1. Cyclin D1 overexpression is the hallmark of MCL. However, approximately 5%-10% of MCLs lack Cyclin D1 expression and may be misdiagnosed. Almost all Cyclin D1-positive as well as Cyclin D1-negative MCL, show overexpression of SOX-11. The detection of this transcription factor is a useful biomarker for identifying true cyclin D1-negative MCL.

Application Notes

Optimal dilution of the SOX11 antibody should be determined by the researcher.

Immunogen

A portion of amino acids 50-200 was used as the immunogen for the SOX11 antibody.

Storage

Aliquot the SOX11 antibody and store frozen at -20oC or colder. Avoid repeated freeze-thaw cycles.

Cross
Bulk Quote Request Form
Name*:
Organization*:
Email*:
Phone Number*:
Catalog No.*:
Comments and Specifics(amount, formulation, etc.)*:
Validation code: Captchapackage Image


Can't read the image? click here to refresh.
    *required field

Your bulk quote request has been submitted successfully!

Please contact us if you have any questions.