• Tel: 858.663.9055
  • SeparatorEmail: info@nsjbio.com
  • Tel: 858.663.9055
  • Email: info@nsjbio.com
Home >> Antibodies >> SOWAHD Antibody / ANKRD58

SOWAHD Antibody / ANKRD58 (F54618)

  Catalog No Formulation Size Price (USD)  
Image F54618-0.4ML In 1X PBS, pH 7.4, with 0.09% sodium azide 0.4 ml 439
Image
F54618-0.08ML In 1X PBS, pH 7.4, with 0.09% sodium azide 0.08 ml 205
Bulk quote request
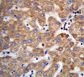
IHC testing of FFPE human liver tissue with SOWAHD antibody. HIER: steam section in pH6 citrate buffer for 20 min and allow to cool prior to staining.
Immunofluorescent staining of human A549 cells with SOWAHD antibody (green) and DAPI nuclear stain (blue).
Western blot testing of human A549 cell lysate with SOWAHD antibody. Predicted moleuclar weight ~34 kDa.
Flow cytometry testing of human A549 cells with SOWAHD antibody; Blue=isotype control, Green= SOWAHD antibody.
Availability 1-3 business days
Species Reactivity Human
Format Purified
Host Rabbit
Clonality Polyclonal (rabbit origin)
Isotype Rabbit Ig
Purity Antigen affinity purified
UniProt A6NJG2
Applications Flow Cytometry : 1:25 (1x10e6 cells)
Immunofluorescence : 1:25
Immunohistochemistry (FFPE) : 1:25
Western Blot : 1:500-1:2000
Limitations This SOWAHD antibody is available for research use only.
Review this product on BioCompare and get a $20 Amazon gift card

Description

Alternate names: Ankyrin repeat domain-containing protein SOWAHD; Ankyrin repeat domain-containing protein 58

Application Notes

The stated application concentrations are suggested starting points. Titration of the SOWAHD antibody may be required due to differences in protocols and secondary/substrate sensitivity.

Immunogen

A portion of amino acids 196-224 from the human protein was used as the immunogen for the SOWAHD antibody.

Storage

Aliquot the SOWAHD antibody and store frozen at -20oC or colder. Avoid repeated freeze-thaw cycles.

Cross
Bulk Quote Request Form
Name*:
Organization*:
Email*:
Phone Number*:
Catalog No.*:
Comments and Specifics(amount, formulation, etc.)*:
Validation code: Captchapackage Image


Can't read the image? click here to refresh.
    *required field

Your bulk quote request has been submitted successfully!

Please contact us if you have any questions.