• Tel: 858.663.9055
  • SeparatorEmail: info@nsjbio.com
  • Tel: 858.663.9055
  • Email: info@nsjbio.com
Home >> Antibodies >> SOS1 Antibody / Son of sevenless 1

SOS1 Antibody / Son of sevenless 1 (FY12583)

  Catalog No Formulation Size Price (USD)  
Image FY12583 Adding 0.2 ml of distilled water will yield a concentration of 500 ug/ml 100 ug 449
Bulk quote request
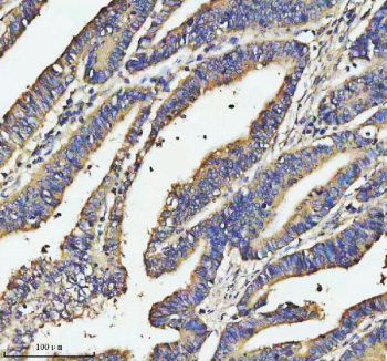
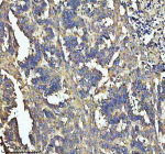
Immunohistochemical staining of SOS1 using anti-SOS1 antibody. SOS1 was detected in a paraffin-embedded section of human colon cancer tissue. Heat mediated antigen retrieval was performed in EDTA buffer (pH 8.0, epitope retrieval solution). The tissue section was blocked with 10% goat serum. The tissue section was then incubated with 2 ug/ml rabbit anti-SOS1 antibody overnight at 4oC. Peroxidase Conjugated Goat Anti-rabbit IgG was used as secondary antibody and incubated for 30 minutes at 37oC. The tissue section was developed using an HRP secondary and DAB substrate.
Immunohistochemical staining of SOS1 using anti-SOS1 antibody. SOS1 was detected in a paraffin-embedded section of human colon cancer tissue. Heat mediated antigen retrieval was performed in EDTA buffer (pH 8.0, epitope retrieval solution). The tissue section was blocked with 10% goat serum. The tissue section was then incubated with 2 ug/ml rabbit anti-SOS1 antibody overnight at 4oC. Peroxidase Conjugated Goat Anti-rabbit IgG was used as secondary antibody and incubated for 30 minutes at 37oC. The tissue section was developed using an HRP secondary and DAB substrate.
Western blot analysis of SOS1 using anti-SOS1 antibody. Lane 1: human K562 whole cell lysates, Lane 2: human THP-1 whole cell lysates, Lane 3: human HEL whole cell lysates, Lane 4: rat brain tissue lysates, Lane 5: rat C6 whole cell lysates, Lane 6: mouse brain tissue lysates, Lane 7: mouse NIH/3T3 whole cell lysates. After electrophoresis, proteins were transferred to a nitrocellulose membrane at 150 mA for 50-90 minutes. Blocked the membrane with 5% non-fat milk/TBS for 1.5 hour at RT. The membrane was incubated with rabbit anti-SOS1 antibody at 0.5 ug/ml overnight at 4oC, then washed with TBS-0.1%Tween 3 times with 5 minutes each and probed with a goat anti-rabbit IgG-HRP secondary antibody at a dilution of 1:5000 for 1.5 hour at RT. The signal was developed using enhanced chemiluminescent. A doublet is detected at ~150-160 kDa, consistent with phosphorylation-dependent mobility shifts reported for SOS1. K562 shows an additional stronger upper band, likely representing a hyperphosphorylated SOS1 species driven by BCR-ABL signaling.
Immunohistochemical staining of SOS1 using anti-SOS1 antibody. SOS1 was detected in a paraffin-embedded section of human colon cancer tissue. Heat mediated antigen retrieval was performed in EDTA buffer (pH 8.0, epitope retrieval solution). The tissue section was blocked with 10% goat serum. The tissue section was then incubated with 2 ug/ml rabbit anti-SOS1 antibody overnight at 4oC. Peroxidase Conjugated Goat Anti-rabbit IgG was used as secondary antibody and incubated for 30 minutes at 37oC. The tissue section was developed using an HRP secondary and DAB substrate.
Immunohistochemical staining of SOS1 using anti-SOS1 antibody. SOS1 was detected in a paraffin-embedded section of human colon cancer tissue. Heat mediated antigen retrieval was performed in EDTA buffer (pH 8.0, epitope retrieval solution). The tissue section was blocked with 10% goat serum. The tissue section was then incubated with 2 ug/ml rabbit anti-SOS1 antibody overnight at 4oC. Peroxidase Conjugated Goat Anti-rabbit IgG was used as secondary antibody and incubated for 30 minutes at 37oC. The tissue section was developed using an HRP secondary and DAB substrate.
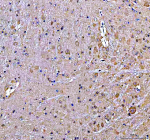
Immunohistochemical staining of SOS1 using anti-SOS1 antibody. SOS1 was detected in a paraffin-embedded section of mouse cerebellum tissue. Heat mediated antigen retrieval was performed in EDTA buffer (pH 8.0, epitope retrieval solution). The tissue section was blocked with 10% goat serum. The tissue section was then incubated with 2 ug/ml rabbit anti-SOS1 antibody overnight at 4oC. Peroxidase Conjugated Goat Anti-rabbit IgG was used as secondary antibody and incubated for 30 minutes at 37oC. The tissue section was developed using an HRP secondary and DAB substrate.
Immunohistochemical staining of SOS1 using anti-SOS1 antibody. SOS1 was detected in a paraffin-embedded section of rat cerebellum tissue. Heat mediated antigen retrieval was performed in EDTA buffer (pH 8.0, epitope retrieval solution). The tissue section was blocked with 10% goat serum. The tissue section was then incubated with 2 ug/ml rabbit anti-SOS1 antibody overnight at 4oC. Peroxidase Conjugated Goat Anti-rabbit IgG was used as secondary antibody and incubated for 30 minutes at 37oC. The tissue section was developed using an HRP secondary and DAB substrate.
Flow Cytometry analysis of K562 cells using anti-SOS1 antibody. Overlay histogram showing K562 cells stained with (Blue line). The cells were fixed with 4% paraformaldehyde and blocked with 10% normal goat serum. And then incubated with rabbit anti-SOS1 antibody (1 ug/million cells) for 30 min at 20oC. DyLight 488 conjugated goat anti-rabbit IgG (5-10 ug/million cells) was used as secondary antibody for 30 minutes at 20oC. Isotype control antibody (Green line) was rabbit IgG (1 ug/million cells) used under the same conditions. Unlabelled sample without incubation with primary antibody and secondary antibody (Red line) was used as a blank control.
Flow Cytometry analysis of U87 cells using anti-SOS1 antibody. Overlay histogram showing U87 cells stained with (Blue line). The cells were fixed with 4% paraformaldehyde and blocked with 10% normal goat serum. And then incubated with rabbit anti-SOS1 antibody (1 ug/million cells) for 30 min at 20oC. DyLight 488 conjugated goat anti-rabbit IgG (5-10 ug/million cells) was used as secondary antibody for 30 minutes at 20oC. Isotype control antibody (Green line) was rabbit IgG (1 ug/million cells) used under the same conditions. Unlabelled sample without incubation with primary antibody and secondary antibody (Red line) was used as a blank control.
Availability 1-2 days
Species Reactivity Human, Mouse, Rat
Format Lyophilized
Host Rabbit
Clonality Polyclonal (rabbit origin)
Isotype Rabbit IgG
Purity Immunogen affinity purified
Buffer Each vial contains 4 mg Trehalose, 0.9 mg NaCl, 0.2 mg Na2HPO4.
UniProt Q07889
Localization Cytoplasm, cell membrane
Applications Western Blot : 0.25-0.5ug/ml
Immunohistochemistry : 2-5ug/ml
Flow Cytometry : 1-3ug/million cells
ELISA : 0.1-0.5ug/ml
Limitations This SOS1 antibody is available for research use only.
Review this product on BioCompare and get a $20 Amazon gift card

Related Products

Description

SOS1 antibody detects Son of sevenless homolog 1, a guanine nucleotide exchange factor (GEF) that activates Ras and Rac GTPases, serving as a critical link between receptor tyrosine kinases and downstream signaling cascades. SOS1 catalyzes the exchange of GDP for GTP on Ras, thereby triggering MAPK and PI3K pathway activation. The SOS1 antibody is widely used in cell signaling, oncology, and developmental biology to study Ras-mediated signal transduction and growth control.

SOS1 is encoded by the SOS1 gene on human chromosome 2p22.1. The protein is approximately 1333 amino acids long and consists of several domains: an N-terminal histone-like fold, a Dbl homology (DH) domain, a pleckstrin homology (PH) domain, and a C-terminal catalytic region responsible for Ras activation. SOS1 is recruited to the plasma membrane through interaction with adaptor proteins such as GRB2 following growth factor stimulation.

The SOS1 antibody detects a 155 kilodalton protein in western blot assays and shows cytoplasmic and membrane localization by immunofluorescence. Upon receptor activation, SOS1 facilitates Ras activation at the plasma membrane, leading to phosphorylation of ERK and other downstream targets. Through its DH-PH domains, SOS1 also activates Rac, linking actin cytoskeleton remodeling to growth factor signaling.

SOS1 plays essential roles in development, cell proliferation, and differentiation. Germline mutations in SOS1 cause Noonan syndrome, a developmental disorder characterized by short stature and congenital heart defects. In cancer, overexpression or dysregulation of SOS1 contributes to aberrant Ras activation and uncontrolled growth signaling. Its activity is finely tuned by feedback loops involving phosphorylation, ubiquitination, and membrane recruitment dynamics.

Because of its central position in the Ras signaling cascade, SOS1 is a valuable target for understanding receptor-driven proliferation and oncogenic transformation. NSJ Bioreagents provides a validated SOS1 antibody optimized for its applications, supporting research into Ras activation, MAPK pathway signaling, and cell differentiation control.

Application Notes

Optimal dilution of the SOS1 antibody should be determined by the researcher.

Immunogen

E.coli-derived human SOS1 recombinant protein (Position: H177-A1288) was used as the immunogen for the SOS1 antibody.

Storage

After reconstitution, the SOS1 antibody can be stored for up to one month at 4oC. For long-term, aliquot and store at -20oC. Avoid repeated freezing and thawing.

Alternate Names

SOS1 antibody, Son of Sevenless 1 antibody, Son of Sevenless homolog 1 antibody, SOS Ras guanine nucleotide exchange factor antibody

Cross
Bulk Quote Request Form
Name*:
Organization*:
Email*:
Phone Number*:
Catalog No.*:
Comments and Specifics(amount, formulation, etc.)*:
Validation code: Captchapackage Image


Can't read the image? click here to refresh.
    *required field

Your bulk quote request has been submitted successfully!

Please contact us if you have any questions.