• Tel: 858.663.9055
  • SeparatorEmail: info@nsjbio.com
  • Tel: 858.663.9055
  • Email: info@nsjbio.com
Home >> Antibodies >> SORL1 Antibody / Sortilin-related receptor / SORLA

SORL1 Antibody / Sortilin-related receptor / SORLA (FY12181)

  Catalog No Formulation Size Price (USD)  
Image FY12181 Adding 0.2 ml of distilled water will yield a concentration of 500 ug/ml 100 ug 449
Bulk quote request
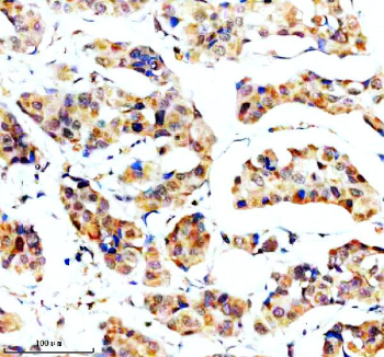
Immunohistochemical staining of SORL1 using anti-SORL1 antibody. SORL1 was detected in a paraffin-embedded section of human breast cancer tissue. Heat mediated antigen retrieval was performed in EDTA buffer (pH 8.0, epitope retrieval solution). The tissue section was blocked with 10% goat serum. The tissue section was then incubated with 2 ug/ml rabbit anti-SORL1 antibody overnight at 4oC. Peroxidase Conjugated Goat Anti-rabbit IgG was used as secondary antibody and incubated for 30 minutes at 37oC. The tissue section was developed using an HRP secondary and DAB substrate.
Western blot analysis of SORL1 using anti-SORL1 antibody. Electrophoresis was performed on a 8% SDS-PAGE gel at 80V (Stacking gel) / 120V (Resolving gel) for 2 hours. Lane 1: rat brain tissue lysates, Lane 2: mouse brain tissue lysates. After electrophoresis, proteins were transferred to a nitrocellulose membrane at 150 mA for 50-90 minutes. Blocked the membrane with 5% non-fat milk/TBS for 1.5 hour at RT. The membrane was incubated with rabbit anti-SORL1 antibody at 0.5 ug/ml overnight at 4oC, then washed with TBS-0.1%Tween 3 times with 5 minutes each and probed with a goat anti-rabbit IgG-HRP secondary antibody at a dilution of 1:5000 for 1.5 hour at RT. The signal was developed using an ECL Plus Western Blotting Substrate. A specific band was detected for SORL1 at approximately 250 kDa. The expected band size for SORL1 is at 248 kDa.
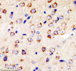
Immunohistochemical staining of SORL1 using anti-SORL1 antibody. SORL1 was detected in a paraffin-embedded section of mouse brain tissue. Heat mediated antigen retrieval was performed in EDTA buffer (pH 8.0, epitope retrieval solution). The tissue section was blocked with 10% goat serum. The tissue section was then incubated with 2 ug/ml rabbit anti-SORL1 antibody overnight at 4oC. Peroxidase Conjugated Goat Anti-rabbit IgG was used as secondary antibody and incubated for 30 minutes at 37oC. The tissue section was developed using an HRP secondary and DAB substrate.
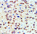
Immunohistochemical staining of SORL1 using anti-SORL1 antibody. SORL1 was detected in a paraffin-embedded section of rat brain tissue. Heat mediated antigen retrieval was performed in EDTA buffer (pH 8.0, epitope retrieval solution). The tissue section was blocked with 10% goat serum. The tissue section was then incubated with 2 ug/ml rabbit anti-SORL1 antibody overnight at 4oC. Peroxidase Conjugated Goat Anti-rabbit IgG was used as secondary antibody and incubated for 30 minutes at 37oC. The tissue section was developed using an HRP secondary and DAB substrate.
Immunofluorescent staining of SORL1 using anti-SORL1 antibody (red). SORL1 was detected in a paraffin-embedded section of human breast cancer tissue. Heat mediated antigen retrieval was performed in EDTA buffer (pH 8.0, epitope retrieval solution). The tissue section was blocked with 10% goat serum. The tissue section was then incubated with 5 ug/ml rabbit anti-SORL1 antibody overnight at 4oC. Cy3 Conjugated Goat Anti-Rabbit IgG was used as secondary antibody at 1:500 dilution and incubated for 30 minutes at 37oC. The section was counterstained with DAPI nuclear stain (blue). Visualize using a fluorescence microscope and filter sets appropriate for the label used.
Flow Cytometry analysis of U251 cells using anti-SORL1 antibody. Overlay histogram showing U251 cells stained with (Blue line). The cells were fixed with 4% paraformaldehyde and blocked with 10% normal goat serum. And then incubated with rabbit anti-SORL1 antibody (1 ug/million cells) for 30 min at 20oC. DyLight 488 conjugated goat anti-rabbit IgG (5-10 ug/million cells) was used as secondary antibody for 30 minutes at 20oC. Isotype control antibody (Green line) was rabbit IgG (1 ug/million cells) used under the same conditions. Unlabelled sample without incubation with primary antibody and secondary antibody (Red line) was used as a blank control.
Availability 1-2 days
Species Reactivity Human, Mouse, Rat
Format Lyophilized
Host Rabbit
Clonality Polyclonal (rabbit origin)
Isotype Rabbit IgG
Purity Immunogen affinity purified
Buffer Each vial contains 4 mg Trehalose, 0.9 mg NaCl, 0.2 mg Na2HPO4.
UniProt Q92673
Applications Western Blot : 0.25-0.5ug/ml
Immunohistochemistry : 2-5ug/ml
Immunofluorescence : 5ug/ml
Flow Cytometry : 1-3ug/million cells
ELISA : 0.1-0.5ug/ml
Limitations This SORL1 antibody is available for research use only.
Review this product on BioCompare and get a $20 Amazon gift card

Related Products

Description

SORL1 antibody detects Sortilin-related receptor, encoded by the SORL1 gene on chromosome 11q23.3. SORL1 antibody is widely used in research on protein trafficking, Alzheimer's disease, and neurodegeneration. Also known as SORLA, SORL1 belongs to the VPS10 domain receptor family, which regulates intracellular sorting of cargo proteins. SORL1 is highly expressed in neurons, adipose tissue, and liver, where it directs trafficking of lipoproteins, growth factors, and amyloid precursor protein (APP). Its ability to regulate APP processing makes it central to Alzheimer's disease biology.

Structurally, SORL1 is a large type I transmembrane receptor with an extracellular VPS10 domain, LDL receptor repeats, EGF repeats, and fibronectin-type domains. These motifs mediate binding to diverse ligands, including APP, ApoE, and neurotrophic factors. The cytoplasmic tail contains sorting signals that interact with adaptor proteins, ensuring proper endocytic recycling and lysosomal targeting. This modular design allows SORL1 to function as a key regulator of protein trafficking in neurons and other cells.

Functionally, SORL1 reduces amyloidogenic processing of APP by directing it toward recycling pathways rather than amyloidogenic cleavage in endosomes. This protective role against amyloid beta accumulation makes SORL1 central in Alzheimer's disease research. SORL1 also regulates lipoprotein metabolism, endocytosis of growth factors, and intracellular signaling pathways. Knockdown or mutation of SORL1 leads to increased amyloidogenic APP processing, impaired synaptic function, and altered lipid homeostasis. Researchers use SORL1 antibody to study these trafficking and signaling mechanisms.

Clinically, SORL1 mutations and polymorphisms are strongly associated with Alzheimer's disease risk. Reduced expression of SORL1 correlates with increased amyloid plaque burden in patient brains. Beyond Alzheimer's, SORL1 variants are linked to obesity, cardiovascular disease, and psychiatric disorders. SORL1 also has implications in cancer biology, where altered trafficking influences signaling pathways. NSJ Bioreagents provides SORL1 antibody to support research in neurodegeneration, metabolism, and receptor trafficking.

Experimentally, SORL1 antibody is used in western blotting to detect the ~250 kDa protein, in immunofluorescence microscopy to analyze intracellular trafficking, and in immunohistochemistry to study brain tissue expression. Immunoprecipitation with SORL1 antibody reveals APP-SORL1 complexes and trafficking networks.

Application Notes

Optimal dilution of the SORL1 antibody should be determined by the researcher.

Immunogen

E.coli-derived human SORLA/SORL1 recombinant protein (Position: D282-K708) was used as the immunogen for the SORL1 antibody.

Storage

After reconstitution, the SORL1 antibody can be stored for up to one month at 4oC. For long-term, aliquot and store at -20oC. Avoid repeated freezing and thawing.

Cross
Bulk Quote Request Form
Name*:
Organization*:
Email*:
Phone Number*:
Catalog No.*:
Comments and Specifics(amount, formulation, etc.)*:
Validation code: Captchapackage Image


Can't read the image? click here to refresh.
    *required field

Your bulk quote request has been submitted successfully!

Please contact us if you have any questions.