• Tel: 858.663.9055
  • SeparatorEmail: info@nsjbio.com
  • Tel: 858.663.9055
  • Email: info@nsjbio.com
Home >> Antibodies >> SORD Antibody / Sorbitol Dehydrogenase

SORD Antibody / Sorbitol Dehydrogenase (RQ6118)

  Catalog No Formulation Size Price (USD)  
Image RQ6118 0.5mg/ml if reconstituted with 0.2ml sterile DI water 100 ug 449
Bulk quote request
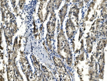
IHC staining of FFPE human liver cancer with SORD antibody. HIER: boil tissue sections in pH8 EDTA for 20 min and allow to cool before testing.
IHC staining of FFPE human rectal cancer with SORD antibody. HIER: boil tissue sections in pH8 EDTA for 20 min and allow to cool before testing.
Immunofluorescent staining of FFPE human A431 cells with SORD antibody (green) and DAPI nuclear stain (blue). HIER: steam section in pH6 citrate buffer for 20 min.
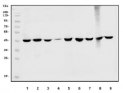
Western blot testing of 1) human HepG2, 2) human U937, 3) human K562, 4) human A431, 5) monkey kidney, 6) rat liver, 7) rat kidney, 8) mouse liver and 9) mouse kidney lysate with SORD antibody. Expected molecular weight: 38-42 kDa.
Flow cytometry testing of human Caco-2 cells with SORD antibody at 1ug/million cells (blocked with goat sera); Red=cells alone, Green=isotype control, Blue= SORD antibody.
Availability 1-3 business days
Species Reactivity Human, Mouse, Rat
Format Antigen affinity purified
Host Rabbit
Clonality Polyclonal (rabbit origin)
Isotype Rabbit IgG
Purity Affinity purified
Buffer Lyophilized from 1X PBS with 2% Trehalose and 0.025% sodium azide
UniProt Q00796
Applications Western Blot : 1-2ug/ml
Immunohistochemistry (FFPE) : 2-5ug/ml
Immunofluorescence : 5ug/ml
Flow Cytometry : 1-3ug/million cells
Direct ELISA : 0.1-0.5ug/ml
Limitations This SORD antibody is available for research use only.
Review this product on BioCompare and get a $20 Amazon gift card

Related Products

Description

Sorbitol dehydrogenase is an enzyme that in humans is encoded by the SORD gene. Sorbitol dehydrogenase (SORD) catalyzes the interconversion of polyols and their corresponding ketoses, and together with aldose reductase, makes up the sorbitol pathway that is believed to play an important role in the development of diabetic complications. The first reaction of the pathway (also called the polyol pathway) is the reduction of glucose to sorbitol by ALDR1 with NADPH as the cofactor. SORD then oxidizes the sorbitol to fructose using NAD(+) cofactor.

Application Notes

Optimal dilution of the SORD antibody should be determined by the researcher.

Immunogen

A human recombinant partial protein (amino acids N8-P357) was used as the immunogen for the SORD antibody.

Storage

After reconstitution, the SORD antibody can be stored for up to one month at 4oC. For long-term, aliquot and store at -20oC. Avoid repeated freezing and thawing.

Cross
Bulk Quote Request Form
Name*:
Organization*:
Email*:
Phone Number*:
Catalog No.*:
Comments and Specifics(amount, formulation, etc.)*:
Validation code: Captchapackage Image


Can't read the image? click here to refresh.
    *required field

Your bulk quote request has been submitted successfully!

Please contact us if you have any questions.