• Tel: 858.663.9055
  • SeparatorEmail: info@nsjbio.com
  • Tel: 858.663.9055
  • Email: info@nsjbio.com
Home >> Antibodies >> Sorbitol Dehydrogenase Antibody / SORD

Sorbitol Dehydrogenase Antibody / SORD [clone 12B10G2] (RQ6958)

  Catalog No Formulation Size Price (USD)  
Image RQ6958 0.5mg/ml if reconstituted with 0.2ml sterile DI water 100 ug 449
Bulk quote request
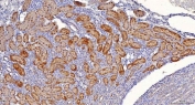
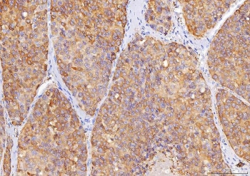
IHC staining of FFPE human liver cancer tissue with Sorbitol Dehydrogenase antibody. HIER: boil tissue sections in pH8 EDTA for 20 min and allow to cool before testing.
IHC staining of FFPE human SM fatty carcinoma of the left kidney tissue with Sorbitol Dehydrogenase antibody. HIER: boil tissue sections in pH8 EDTA for 20 min and allow to cool before testing.
IHC staining of FFPE human renal clear cell carcinoma tissue with Sorbitol Dehydrogenase antibody. HIER: boil tissue sections in pH8 EDTA for 20 min and allow to cool before testing.
IHC staining of FFPE rat kidney tissue with Sorbitol Dehydrogenase antibody. HIER: boil tissue sections in pH8 EDTA for 20 min and allow to cool before testing.
Western blot testing of 1) human HeLa, 2) human HepG2, 3) rat liver, 4) rat kidney, 5) mouse liver and 6) mouse kidney tissue lysate with Sorbitol Dehydrogenase antibody. Expected molecular weight: 38-42 kDa.
Flow cytometry testing of human U-2 OS cells with Sorbitol Dehydrogenase antibody at 1ug/million cells (blocked with goat sera); Red=cells alone, Green=isotype control, Blue= Sorbitol Dehydrogenase antibody.
Availability 1-3 business days
Species Reactivity Human, Mouse, Rat
Format Antigen affinity purified
Host Mouse
Clonality Monoclonal (mouse origin)
Isotype Mouse IgG1
Clone Name 12B10G2
Purity Antigen affinity purified
Buffer Lyophilized from 1X PBS with 2% Trehalose
UniProt Q00796
Localization Cytoplasmic
Applications Western Blot : 0.5-1 ug/ml
Immunohistochemistry (FFPE) : 2-5ug/ml
Flow Cytometry : 1-3ug/million cells
Limitations This Sorbitol Dehydrogenase antibody is available for research use only.
Review this product on BioCompare and get a $20 Amazon gift card

Related Products

  • Applications : WB, ELISA (peptide)
    Reactivity : Human, Mouse
    Pred. Reactivity : Dog, Rat
  • Applications : WB, IHC-P, IF, FACS, Direct ELISA
    Reactivity : Human, Mouse, Rat

Description

Sorbitol dehydrogenase is an enzyme that in humans is encoded by the SORD gene. Sorbitol dehydrogenase (SORD) catalyzes the interconversion of polyols and their corresponding ketoses, and together with aldose reductase, makes up the sorbitol pathway that is believed to play an important role in the development of diabetic complications. The first reaction of the pathway (also called the polyol pathway) is the reduction of glucose to sorbitol by ALDR1 with NADPH as the cofactor. SORD then oxidizes the sorbitol to fructose using NAD(+) cofactor.

Application Notes

Optimal dilution of the Sorbitol Dehydrogenase antibody should be determined by the researcher.

Immunogen

Recombinant human Sorbitol Dehydrogenase/SORD protein (amino acids N8-P357) was used as the immunogen for the Sorbitol Dehydrogenase antibody.

Storage

After reconstitution, the Sorbitol Dehydrogenase antibody can be stored for up to one month at 4oC. For long-term, aliquot and store at -20oC. Avoid repeated freezing and thawing.

Cross
Bulk Quote Request Form
Name*:
Organization*:
Email*:
Phone Number*:
Catalog No.*:
Comments and Specifics(amount, formulation, etc.)*:
Validation code: Captchapackage Image


Can't read the image? click here to refresh.
    *required field

Your bulk quote request has been submitted successfully!

Please contact us if you have any questions.