• Tel: 858.663.9055
  • SeparatorEmail: info@nsjbio.com
  • Tel: 858.663.9055
  • Email: info@nsjbio.com
Home >> Antibodies >> Sonic Hedgehog Antibody / SHH

Sonic Hedgehog Antibody / SHH [clone ABE-19] (FY13406)

  Catalog No Formulation Size Price (USD)  
Image FY13406 Rabbit IgG in phosphate buffered saline, pH 7.4, 150mM NaCl, 0.02% sodium azide and 50% glycerol, 0.4-0.5mg/ml BSA 100 ul 449
Microvalidated Recrabbitmono
Bulk quote request
Immunohistochemical staining of FFPE human liver cancer tissue with Sonic Hedgehog antibody, HRP-secondary and DAB substrate. HIER: boil tissue sections in pH8 EDTA for 20 min and allow to cool before testing.
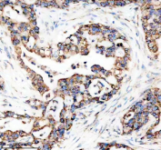
Immunohistochemical staining of FFPE human pancreas cancer tissue with Sonic Hedgehog antibody, HRP-secondary and DAB substrate. HIER: boil tissue sections in pH8 EDTA for 20 min and allow to cool before testing.
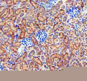
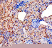
Immunohistochemical staining of FFPE mouse kidney tissue with Sonic Hedgehog antibody, HRP-secondary and DAB substrate. HIER: boil tissue sections in pH8 EDTA for 20 min and allow to cool before testing.
Immunohistochemical staining of FFPE rat kidney tissue with Sonic Hedgehog antibody, HRP-secondary and DAB substrate. HIER: boil tissue sections in pH8 EDTA for 20 min and allow to cool before testing.
Western blot testing of human HeLa, RT-4, HepG2 and PC-3 lysate with Sonic Hedgehog antibody. Predicted molecular weight ~48 kDa.
Availability 1-2 days
Species Reactivity Human, Mouse, Rat
Format Liquid
Host Rabbit
Clonality Recombinant Rabbit Monoclonal
Isotype Rabbit IgG
Clone Name ABE-19
Purity Affinity chromatography
Buffer Rabbit IgG in phosphate buffered saline, pH 7.4, 150mM NaCl, 0.02% sodium azide and 50% glycerol, 0.4-0.5mg/ml BSA.
UniProt Q62226
Localization Cytoplasm, cell membrane
Applications Western Blot : 1:500-1:2000
Immunohistochemistry : 1:50-1:200
Limitations This Sonic Hedgehog antibody is available for research use only.
Review this product on BioCompare and get a $20 Amazon gift card

Related Products

Description

Sonic Hedgehog antibody targets Sonic Hedgehog (SHH), a secreted signaling protein that functions as a key morphogen controlling embryonic development and tissue patterning. SHH is synthesized as a precursor protein that undergoes autocatalytic processing to generate an active N-terminal signaling fragment, which is subsequently modified by lipid attachment to regulate its distribution and signaling range. SHH is secreted into the extracellular space, where it establishes concentration gradients that direct cell fate specification, proliferation, and differentiation in developing tissues. This antibody is a recombinant rabbit monoclonal, providing defined specificity and consistent performance for research applications.

Functionally, SHH signaling operates through the Hedgehog pathway, in which SHH binding to the Patched receptor relieves inhibition of Smoothened, leading to activation of downstream transcriptional programs mediated by GLI transcription factors. This pathway is essential for patterning of the neural tube, limb development, and organogenesis, as well as for regulation of stem and progenitor cell populations. SHH expression and signaling intensity must be tightly controlled to ensure proper spatial and temporal developmental outcomes. A Sonic Hedgehog antibody supports studies examining developmental signaling and morphogen-driven regulation.

Beyond embryogenesis, SHH continues to play roles in tissue maintenance, repair, and regeneration in adult organisms. Aberrant reactivation or dysregulation of SHH signaling is associated with pathological conditions characterized by altered cell proliferation and differentiation. Analysis of SHH expression provides insight into pathway activation states and the biological processes governed by Hedgehog signaling.

From a biological and disease-relevance perspective, SHH has been extensively studied in developmental disorders and cancer biology. Constitutive or inappropriate activation of Hedgehog signaling contributes to tumorigenesis in multiple tissues. As a central ligand in this pathway, SHH is frequently examined in studies investigating signaling regulation, disease mechanisms, and pathway modulation.

At the molecular level, SHH is encoded by the SHH gene and produces a precursor protein that is proteolytically processed to yield the active signaling domain. Regulation of SHH activity depends on controlled expression, processing, secretion, and interaction with pathway receptors. A Sonic Hedgehog antibody supports research applications focused on developmental biology, signal transduction, and pathway analysis, with NSJ Bioreagents providing reagents intended for research use.

Application Notes

Optimal dilution of the Sonic Hedgehog antibody should be determined by the researcher.

Immunogen

A synthesized peptide derived from human Sonic Hedgehog protein was used as the immunogen for the Sonic Hedgehog antibody.

Storage

Store the Sonic Hedgehog antibody at -20oC.

Cross
Bulk Quote Request Form
Name*:
Organization*:
Email*:
Phone Number*:
Catalog No.*:
Comments and Specifics(amount, formulation, etc.)*:
Validation code: Captchapackage Image


Can't read the image? click here to refresh.
    *required field

Your bulk quote request has been submitted successfully!

Please contact us if you have any questions.