• Tel: 858.663.9055
  • SeparatorEmail: info@nsjbio.com
  • Tel: 858.663.9055
  • Email: info@nsjbio.com
Home >> Antibodies >> SON Antibody / Protein SON

SON Antibody / Protein SON (FY12981)

  Catalog No Formulation Size Price (USD)  
Image FY12981 Adding 0.2 ml of distilled water will yield a concentration of 500 ug/ml 100 ug 439
Bulk quote request
Immunofluorescent staining of SON using anti-SON antibody (green) and anti-Beta Tubulin antibody (red). SON was detected in an immunocytochemical section of Siha cells. Enzyme antigen retrieval was performed using IHC enzyme antigen retrieval reagent for 15 mins. The cells were blocked with 10% goat serum. And then incubated with 5 ug/ml rabbit anti-SON antibody and mouse anti-Beta Tubulin antibody overnight at 4oC. DyLight 488 Conjugated Goat Anti-Rabbit IgG and Cy3 Conjugated Goat Anti-Mouse IgG were used as secondary antibody at 1:500 dilution and incubated for 30 minutes at 37oC. Visualize using a fluorescence microscope and filter sets appropriate for the label used.
Western blot analysis of SON using anti-SON antibody. Electrophoresis was performed on a 8% SDS-PAGE gel at 80V (Stacking gel) / 120V (Resolving gel) for 2 hours. Lane 1: human HEL whole cell lysates, Lane 2: human K562 whole cell lysates, Lane 3: human SIHA whole cell lysates, Lane 4: human MCF-7 whole cell lysates. After electrophoresis, proteins were transferred to a nitrocellulose membrane at 150 mA for 50-90 minutes. Blocked the membrane with 5% non-fat milk/TBS for 1.5 hour at RT. The membrane was incubated with rabbit anti-SON antibody at 0.5 ug/ml overnight at 4oC, then washed with TBS-0.1%Tween 3 times with 5 minutes each and probed with a goat anti-rabbit IgG-HRP secondary antibody at a dilution of 1:5000 for 1.5 hour at RT. The signal was developed using an ECL Plus Western Blotting Substrate. A specific band was detected for SON at approximately 264 kDa. The expected molecular weight of SON is ~264 kDa.
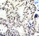
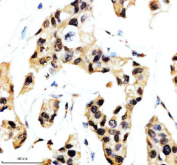
Immunohistochemical staining of SON using anti-SON antibody. SON was detected in a paraffin-embedded section of human colon cancer tissue. Heat mediated antigen retrieval was performed in EDTA buffer (pH 8.0, epitope retrieval solution). The tissue section was blocked with 10% goat serum. The tissue section was then incubated with 2 ug/ml rabbit anti-SON antibody overnight at 4oC. Peroxidase Conjugated Goat Anti-rabbit IgG was used as secondary antibody and incubated for 30 minutes at 37oC. The tissue section was developed using an HRP secondary and DAB substrate.
Immunohistochemical staining of SON using anti-SON antibody. SON was detected in a paraffin-embedded section of mouse brain tissue. Heat mediated antigen retrieval was performed in EDTA buffer (pH 8.0, epitope retrieval solution). The tissue section was blocked with 10% goat serum. The tissue section was then incubated with 2 ug/ml rabbit anti-SON antibody overnight at 4oC. Peroxidase Conjugated Goat Anti-rabbit IgG was used as secondary antibody and incubated for 30 minutes at 37oC. The tissue section was developed using an HRP secondary and DAB substrate.
Immunofluorescent staining of SON using anti-SON antibody (red). SON was detected in a paraffin-embedded section of human liver cancer tissue. Heat mediated antigen retrieval was performed in EDTA buffer (pH 8.0, epitope retrieval solution). The tissue section was blocked with 10% goat serum. The tissue section was then incubated with 5 ug/ml rabbit anti-SON antibody overnight at 4oC. Cy3 Conjugated Goat Anti-Rabbit IgG was used as secondary antibody at 1:500 dilution and incubated for 30 minutes at 37oC. The section was counterstained with DAPI nuclear stain (blue). Visualize using a fluorescence microscope and filter sets appropriate for the label used.
Immunohistochemical staining of SON using anti-SON antibody. SON was detected in a paraffin-embedded section of human breast cancer tissue. Heat mediated antigen retrieval was performed in EDTA buffer (pH 8.0, epitope retrieval solution). The tissue section was blocked with 10% goat serum. The tissue section was then incubated with 2 ug/ml rabbit anti-SON antibody overnight at 4oC. Peroxidase Conjugated Goat Anti-rabbit IgG was used as secondary antibody and incubated for 30 minutes at 37oC. The tissue section was developed using an HRP secondary and DAB substrate.
Flow Cytometry analysis of K562 cells using anti-SON antibody. Overlay histogram showing K562 cells stained with (Blue line). To facilitate intracellular staining, cells were fixed with 4% paraformaldehyde and permeabilized with permeabilization buffer. The cells were blocked with 10% normal goat serum. And then incubated with rabbit anti-SON antibody (1 ug/million cells) for 30 min at 20oC. DyLight 488 conjugated goat anti-rabbit IgG (5-10 ug/million cells) was used as secondary antibody for 30 minutes at 20oC. Isotype control antibody (Green line) was rabbit IgG (1 ug/million cells) used under the same conditions. Unlabelled sample without incubation with primary antibody and secondary antibody (Red line) was used as a blank control.
Availability 1-2 days
Species Reactivity Human, Mouse
Format Lyophilized
Clonality Polyclonal (rabbit origin)
Isotype Rabbit IgG
Purity Immunogen affinity purified
Buffer Each vial contains 4 mg Trehalose, 0.9 mg NaCl, 0.2 mg Na2HPO4.
UniProt P18583
Localization Nuclear speckles
Applications Western Blot : 0.25-0.5ug/ml
Immunohistochemistry : 2-5ug/ml
Immunofluorescence : 5ug/ml
Immunocytochemistry/Immunofluorescence : 5ug/ml
Flow Cytometry : 1-3ug/million cells
ELISA : 0.1-0.5ug/ml
Limitations This SON antibody is available for research use only.
Review this product on BioCompare and get a $20 Amazon gift card

Description

SON antibody detects Protein SON, a large nuclear RNA-binding protein involved in pre-mRNA splicing, transcriptional regulation, and genome organization. The UniProt recommended name is Protein SON (SON), a multifunctional factor that facilitates RNA processing and gene expression fidelity. SON plays critical roles in maintaining nuclear speckle organization, coordinating spliceosome function, and ensuring accurate mRNA maturation.

Functionally, SON antibody identifies a 2,426-amino-acid nuclear protein characterized by multiple low-complexity regions, a G-patch domain, and RNA recognition motifs. SON interacts with splicing factors, including SRSF2, PRPF8, and U2AF65, promoting efficient intron removal and exon definition. It acts as a scaffold within nuclear speckles, organizing splicing regulators and transcription machinery. SON also participates in the transcriptional regulation of genes governing cell cycle progression, differentiation, and chromatin stability.

The SON gene is located on chromosome 21q22.11 and is highly conserved across vertebrates. It is ubiquitously expressed but enriched in proliferating cells, reflecting its role in transcription-coupled RNA processing. Depletion of SON results in global splicing defects, preferentially affecting long genes with weak splice sites and GC-rich regions. These defects lead to downregulation of critical regulators of DNA replication, chromosome segregation, and pluripotency.

Mutations or haploinsufficiency of SON cause ZTTK syndrome (Zhu-Tokita-Takenouchi-Kim syndrome), a developmental disorder characterized by intellectual disability, growth retardation, and brain malformations. SON also influences genome organization by tethering active chromatin domains near nuclear speckles, thereby enhancing transcriptional efficiency. In cancer, overexpression of SON supports rapid proliferation and survival by stabilizing mRNAs of oncogenic pathways, including MYC and WNT signaling components.

SON antibody is widely used in molecular biology and nuclear organization research. It is suitable for immunoblotting, immunofluorescence, and RNA immunoprecipitation to examine SON's role in splicing and chromatin architecture. SON serves as a nuclear speckle marker in microscopy, distinguishing transcriptionally active nuclear domains. In developmental biology, SON detection aids in characterizing splicing fidelity and gene expression networks critical for tissue differentiation.

Structurally, SON contains numerous serine/arginine-rich and glycine-rich motifs that mediate protein and RNA interactions. Phosphorylation regulates its association with spliceosomal complexes and nuclear bodies. NSJ Bioreagents provides SON antibody reagents validated for use in RNA processing, nuclear organization, and developmental biology research.

Application Notes

Optimal dilution of the SON antibody should be determined by the researcher.

Immunogen

E.coli-derived human SON recombinant protein (Position: M1-Y2426) was used as the immunogen for the SON antibody.

Storage

After reconstitution, the SON antibody can be stored for up to one month at 4oC. For long-term, aliquot and store at -20oC. Avoid repeated freezing and thawing.

Cross
Bulk Quote Request Form
Name*:
Organization*:
Email*:
Phone Number*:
Catalog No.*:
Comments and Specifics(amount, formulation, etc.)*:
Validation code: Captchapackage Image


Can't read the image? click here to refresh.
    *required field

Your bulk quote request has been submitted successfully!

Please contact us if you have any questions.