• Tel: 858.663.9055
  • SeparatorEmail: info@nsjbio.com
  • Tel: 858.663.9055
  • Email: info@nsjbio.com
Home >> Antibodies >> Somatostatin Antibody / Neuronostatin

Somatostatin Antibody / Neuronostatin [clone SST/7200R] (V5022)

  Catalog No Formulation Size Price (USD)  
Image V5022-100UG 0.2 mg/ml in 1X PBS with 0.1 mg/ml BSA (US sourced), 0.05% sodium azide 100 ug 559
Image
V5022-20UG 0.2 mg/ml in 1X PBS with 0.1 mg/ml BSA (US sourced), 0.05% sodium azide 20 ug 259
Image
V5022SAF-100UG 1 mg/ml in 1X PBS; BSA free, sodium azide free 100 ug 559
Microvalidated Recrabbitmono
Bulk quote request
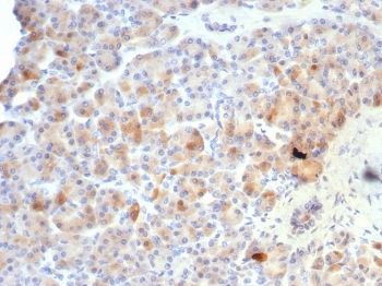
Somatostatin Antibody / Neuronostatin (clone SST/7200R) IHC. Immunohistochemistry of FFPE human pancreas tissue using Somatostatin antibody clone SST/7200R, a recombinant rabbit monoclonal antibody recognizing the somatostatin precursor peptide encoded by SST. HRP-DAB brown cytoplasmic staining is observed in scattered endocrine cells within pancreatic islets, consistent with somatostatin-producing delta cells, while surrounding exocrine acinar cells show minimal staining. Nuclei appear blue from hematoxylin counterstain. Tissue sections were subjected to heat-induced epitope retrieval by boiling in pH 9 Tris-EDTA buffer (10mM Tris with 1mM EDTA) for 20 minutes followed by cooling prior to staining.
Availability 1-3 business days
Species Reactivity Human
Format Purified
Host Rabbit
Clonality Recombinant Rabbit Monoclonal
Isotype Rabbit IgG, kappa
Clone Name SST/7200R
Purity Protein A/G affinity
UniProt P61278
Localization Secreted
Applications Immunohistochemistry (FFPE) : 1-2ug/ml for 30 min at RT
Limitations This Somatostatin antibody is available for research use only.
Review this product on BioCompare and get a $20 Amazon gift card

Related Products

Description

Somatostatin (SST) is a peptide hormone precursor encoded by the SST gene and widely recognized for suppressing the release of multiple secondary hormones through somatostatin receptor signaling. Somatostatin Antibody / Neuronostatin (clone SST/7200R) is a recombinant rabbit mAb suited to research focused on the SST precursor system, including mature somatostatin peptides and the related precursor-derived peptide neuronostatin. The SST gene gives rise to a single preprohormone that is processed into biologically active products, with somatostatin classically represented by 14-amino acid and 28-amino acid forms generated through alternate cleavage of the precursor.

Somatostatin is best known as an inhibitory neuroendocrine regulator. It is produced in the hypothalamus, pancreas, gastrointestinal tract, and additional neural and peripheral tissues, where it restrains secretion of growth hormone and influences release of other endocrine mediators. This broad inhibitory role makes Somatostatin antibody content relevant to investigators studying hormone control, neuroendocrine signaling, pancreatic islet biology, and gastrointestinal regulation. Because SST expression is distributed across nervous and endocrine compartments, an antibody against this target can support studies of peptide-producing cell populations as well as tissues in which somatostatin participates in local paracrine control.

Neuronostatin adds an important second dimension to SST biology. It is a 13-amino acid peptide derived from the somatostatin preprohormone and has been reported to show overlapping but distinct biology relative to somatostatin itself. Published work has described neuronostatin expression in hypothalamic neurons and pancreatic delta cells, and experimental studies indicate that it can regulate neuronal, cardiovascular, and metabolic functions through mechanisms that differ from classical somatostatin receptor signaling. Notably, neuronostatin does not appear to simply duplicate somatostatin activity, which is why Neuronostatin antibody and Somatostatin antibody search intent often overlap while still reflecting distinct research goals.

For antibody page SEO, this target benefits from coverage of both the hormone-centered and precursor-centered vocabulary surrounding SST. Researchers may search by gene symbol, mature peptide, precursor biology, or neuronostatin terminology depending on whether their work emphasizes endocrine inhibition, neuronal signaling, pancreatic islet regulation, or precursor peptide processing. A recombinant rabbit mAb such as clone SST/7200R therefore fits well within research programs examining somatostatin-producing cells, preprosomatostatin-derived peptides, and the broader biology of SST-driven regulatory pathways. This combined Somatostatin antibody and Neuronostatin antibody positioning helps the page capture both classic somatostatin research traffic and newer interest in neuronostatin-related signaling.

Application Notes

Optimal dilution of the Somatostatin antibody should be determined by the researcher.

Immunogen

A recombinant fragment of human protein was used as the immunogen for the Somatostatin antibody.

Storage

Aliquot the Somatostatin antibody and store frozen at -20oC or colder. Avoid repeated freeze-thaw cycles.

Alternate Names

Somatostatin antibody, Preprosomatostatin antibody, SST antibody, Neuronostatin peptide antibody, Somatostatin precursor antibody

Cross
Bulk Quote Request Form
Name*:
Organization*:
Email*:
Phone Number*:
Catalog No.*:
Comments and Specifics(amount, formulation, etc.)*:
Validation code: Captchapackage Image


Can't read the image? click here to refresh.
    *required field

Your bulk quote request has been submitted successfully!

Please contact us if you have any questions.