• Tel: 858.663.9055
  • SeparatorEmail: info@nsjbio.com
  • Tel: 858.663.9055
  • Email: info@nsjbio.com
Home >> Antibodies >> Solute carrier family 45 member 3 Antibody / SLC45A3 Transport Protein Antibody

Solute carrier family 45 member 3 Antibody / SLC45A3 Transport Protein Antibody [clone SLC45A3/7649] (V4786)

  Catalog No Formulation Size Price (USD)  
Image V4786-100UG 0.2 mg/ml in 1X PBS with 0.1 mg/ml BSA (US sourced), 0.05% sodium azide 100 ug 559
Image
V4786-20UG 0.2 mg/ml in 1X PBS with 0.1 mg/ml BSA (US sourced), 0.05% sodium azide 20 ug 259
Image
V4786SAF-100UG 1 mg/ml in 1X PBS; BSA free, sodium azide free 100 ug 559
Bulk quote request
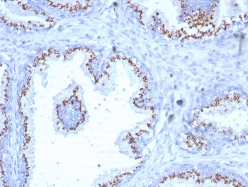
Solute carrier family 45 member 3 Antibody for IHC. Immunohistochemistry analysis of SLC45A3 / Prostein antibody staining in FFPE human prostate tissue using clone SLC45A3/7649. Strong cytoplasmic and perinuclear staining is observed in prostate glandular epithelial cells outlining luminal structures, consistent with Golgi-associated localization of SLC45A3 as a solute carrier transport protein, while surrounding stromal cells remain negative. The staining highlights epithelial cell polarity and intracellular compartmentalization within the secretory pathway, reflecting the transport-associated role of SLC45A3 in prostate epithelial cells. Heat-induced epitope retrieval was performed in pH 9 Tris-EDTA buffer for 20 minutes followed by cooling prior to antibody incubation.
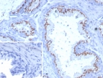
Solute carrier family 45 member 3 Antibody for IHC. Immunohistochemistry analysis of SLC45A3 / Prostein antibody staining in FFPE human prostate tissue using clone SLC45A3/7649. Distinct perinuclear and granular cytoplasmic staining is observed in prostate glandular epithelial cells outlining luminal borders, consistent with Golgi-associated localization of this solute carrier transport protein, while adjacent stromal components remain largely unstained. The inset negative control using PBS in place of primary antibody shows absence of signal, confirming specificity of the staining. Heat-induced epitope retrieval was performed in pH 9 Tris-EDTA buffer for 20 minutes followed by cooling prior to antibody incubation.
Availability 1-3 business days
Species Reactivity Human
Format Purified
Host Mouse
Clonality Monoclonal (mouse origin)
Isotype Mouse IgG1, kappa
Clone Name SLC45A3/7649
Purity Protein A/G affinity
UniProt Q96JT2
Localization Membrane
Applications Immunohistochemistry (FFPE) : 1-2ug/ml for 30 min at RT
Limitations This Solute carrier family 45 member 3 antibody is available for research use only.
Review this product on BioCompare and get a $20 Amazon gift card

Related Products

Description

Solute carrier family 45 member 3 (SLC45A3) is a prostate-specific protein encoded by the SLC45A3 gene and localized predominantly to the Golgi apparatus of secretory epithelial cells. Solute carrier family 45 member 3 Antibody is used to detect SLC45A3 as a transport-associated protein, supporting investigation of intracellular trafficking and solute carrier function within prostate tissue.

SLC45A3 antibody, also referred to as Prostein antibody or prostate-specific androgen-regulated protein antibody, belongs to the solute carrier family of proteins, which includes transporters involved in the movement of ions, metabolites, and other molecules across cellular membranes and intracellular compartments. While the precise substrate specificity of SLC45A3 remains to be fully characterized, its structural classification and localization strongly support a role in intracellular transport processes associated with protein handling and vesicular trafficking.

Unlike many solute carrier proteins that are localized to the plasma membrane, SLC45A3 is primarily associated with the Golgi apparatus, placing it within the central hub of intracellular transport and protein processing. This positioning suggests a specialized role in regulating transport within the secretory pathway rather than mediating extracellular solute exchange. The characteristic perinuclear staining pattern observed in immunohistochemistry reflects this Golgi-centered localization and provides a clear spatial marker for intracellular transport activity.

The solute carrier family represents one of the largest groups of membrane transport proteins, with members participating in a wide range of biological processes including nutrient uptake, ion transport, and intracellular trafficking. Within this family, SLC45A3 is distinguished by its highly restricted expression in prostate epithelial cells, indicating a specialized function adapted to the secretory and metabolic demands of prostate tissue. This tissue specificity adds an additional layer of biological relevance when studying transport mechanisms in epithelial systems.

In prostate epithelial cells, intracellular trafficking and transport processes are essential for maintaining polarity, coordinating protein secretion, and supporting glandular function. Disruption of these pathways can alter protein localization and cellular behavior, contributing to disease processes including cancer. The localization of SLC45A3 within Golgi-associated transport pathways suggests that it may play a role in maintaining proper trafficking dynamics and intracellular organization.

Solute carrier family 45 member 3 Antibody enables detection of SLC45A3 within the context of transport protein biology, supporting studies focused on intracellular trafficking, Golgi function, and solute carrier mechanisms. Clone SLC45A3/7649, a mouse monoclonal antibody, provides clear epithelial-specific staining with minimal background, making it well suited for research applications investigating transport-related processes, epithelial cell function, and prostate-specific biology.

Application Notes

Optimal dilution of the Solute carrier family 45 member 3 Antibody / SLC45A3 Transport Protein Antibody should be determined by the researcher.

Immunogen

A recombinant partial protein sequence (within amino acids 300-500) from the human protein was used as the immunogen for the Solute carrier family 45 member 3 Antibody / SLC45A3 Transport Protein Antibody.

Storage

Aliquot the Solute carrier family 45 member 3 antibody and store frozen at -20oC or colder. Avoid repeated freeze-thaw cycles.

Alternate Names

SLC45A3 antibody, Prostein antibody, Solute carrier protein antibody, SLC transporter antibody, Prostate epithelial transport protein antibody

Cross
Bulk Quote Request Form
Name*:
Organization*:
Email*:
Phone Number*:
Catalog No.*:
Comments and Specifics(amount, formulation, etc.)*:
Validation code: Captchapackage Image


Can't read the image? click here to refresh.
    *required field

Your bulk quote request has been submitted successfully!

Please contact us if you have any questions.