• Tel: 858.663.9055
  • SeparatorEmail: info@nsjbio.com
  • Tel: 858.663.9055
  • Email: info@nsjbio.com
Home >> Antibodies >> SOD1 Antibody Superoxide Dismutase 1

SOD1 Antibody Superoxide Dismutase 1 (R30411)

  Catalog No Formulation Size Price (USD)  
Image R30411 0.5mg/ml if reconstituted with 0.2ml sterile DI water 100 ug 449
Bulk quote request
Western blot testing of SOD1 antibody and Lane 1: COLO320; 2: SMMC-7721 cell lysate. Predicted molecular weight: ~16 kDa.
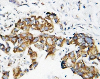
IHC-P: SOD1 antibody testing of human breast cancer tissue
Availability 1-3 business days
Species Reactivity Human, Mouse, Rat
Format Antigen affinity purified
Host Rabbit
Clonality Polyclonal (rabbit origin)
Isotype Rabbit IgG
Purity Antigen affinity
Buffer Lyophilized from 1X PBS with 2.5% BSA and 0.025% sodium azide/thimerosal
UniProt P00441
Applications Western Blot : 0.5-1ug/ml
IHC (FFPE) : 0.5-1ug/ml
IHC (Frozen) : 0.5-1ug/ml
Immunocytochemistry : 0.5-1ug/ml
Limitations This SOD1 antibody is available for research use only.
Review this product on BioCompare and get a $20 Amazon gift card

Related Products

Description

Superoxide dismutases are a class of enzymes that catalyze the dismutation of superoxide into oxygen and hydrogen peroxide. As such, they are an important antioxidant defense in nearly all cells exposed to oxygen. One of the exceedingly rare exceptions is Lactobacillus plantarum and related lactobacilli, which use a different mechanism.Cu,Zn-SOD was found widely distributed in the cell cytosol and in the cell nucleus, consistent with it being a soluble cytosolic protein. Mitochondria and secretory compartments did not label for this protein. In human cells, peroxisomes showed a labeling density slightly less than that of cytoplasm.

Application Notes

The stated application concentrations are suggested starting amounts. Titration of the SOD1 antibody may be required due to differences in protocols and secondary/substrate sensitivity.

Immunogen

An amino acid sequence from the C-terminus of Human Superoxide Dismutase 1 (IIGRTLVVHEKADDLGK) was used as the immunogen for this SOD1 antibody.

Storage

After reconstitution, the SOD1 antibody can be stored for up to one month at 4oC. For long-term, aliquot and store at -20oC. Avoid repeated freezing and thawing.

Cross
Bulk Quote Request Form
Name*:
Organization*:
Email*:
Phone Number*:
Catalog No.*:
Comments and Specifics(amount, formulation, etc.)*:
Validation code: Captchapackage Image


Can't read the image? click here to refresh.
    *required field

Your bulk quote request has been submitted successfully!

Please contact us if you have any questions.