• Tel: 858.663.9055
  • SeparatorEmail: info@nsjbio.com
  • Tel: 858.663.9055
  • Email: info@nsjbio.com
Home >> Antibodies >> SOD1 Antibody / Superoxide Dismutase 1

SOD1 Antibody / Superoxide Dismutase 1 (R31855)

  Catalog No Formulation Size Price (USD)  
Image R31855 0.5mg/ml if reconstituted with 0.2ml sterile DI water 100 ug 449
Bulk quote request
IHC staining of FFPE human breast cancer tissue with SOD1 antibody, HRP-secondary and DAB substrate. HIER: boil tissue sections in pH8 EDTA for 20 min and allow to cool before testing.
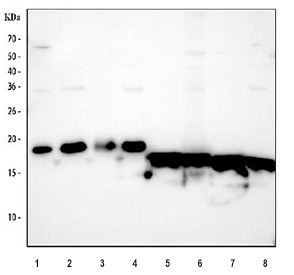
Western blot testing of 1) human HeLa, 2) human MCF7, 3) human T-47D, 4) human PC-3, 5) rat brain, 6) rat C6, 7) mouse brain and 8) mouse Neuro-2a cell lysate with SOD1 antibody. Predicted molecular weight ~16 kDa.
Flow cytometry testing of fixed and permeabilized human MCF7 cells with SOD1 antibody at 1ug/million cells (blocked with goat sera); Red=cells alone, Green=isotype control, Blue= SOD1 antibody.
Availability 1-3 business days
Species Reactivity Human, Mouse, Rat
Format Antigen affinity purified
Host Rabbit
Clonality Polyclonal (rabbit origin)
Isotype Rabbit IgG
Purity Antigen affinity
Buffer Lyophilized from 1X PBS with 2% Trehalose
UniProt P00441
Localization Cytoplasmic, Nuclear
Applications Western Blot : 0.5-1ug/ml
Immunohistochemistry (FFPE) : 2-5ug/ml
Flow Cytometry : 1-3ug/million cells
Limitations This SOD1 antibody is available for research use only.
Review this product on BioCompare and get a $20 Amazon gift card

Related Products

Description

SOD1 (Superoxide Dismutase 1) is a critical antioxidant enzyme that protects cells from oxidative stress by catalyzing the conversion of superoxide radicals into oxygen and hydrogen peroxide. This cytoplasmic enzyme is widely expressed in human tissues and plays a central role in maintaining redox balance, cellular homeostasis, and protection against free radical-mediated damage. A SOD1 antibody is commonly used in research to investigate oxidative stress pathways, neurodegeneration, and cellular defense mechanisms.

Beyond its fundamental enzymatic function, SOD1 has been closely studied for its involvement in human disease. Mutations in the SOD1 gene are linked to familial forms of amyotrophic lateral sclerosis (ALS), a progressive neurodegenerative disorder affecting motor neurons. Research using a SOD1 antibody has helped to characterize misfolded protein aggregates, altered enzyme activity, and associated cytotoxic mechanisms in ALS models. This makes SOD1 a widely studied biomarker in both basic neuroscience and translational research.

SOD1 is also relevant in cardiovascular and metabolic disorders, where oxidative stress contributes to pathology. In addition, its role in aging and longevity is actively explored, as regulation of reactive oxygen species is fundamental to cellular survival. The ability of SOD1 to balance oxidative environments has made it a valuable protein for understanding the molecular underpinnings of health and disease.

NSJ Bioreagents provides a high-quality SOD1 antibody validated for multiple applications, including western blotting, immunohistochemistry, and immunofluorescence. By using a reliable SOD1 antibody from NSJ Bioreagents, researchers can advance their studies on oxidative stress, neurodegeneration, and cellular defense.

Application Notes

Optimal dilution of the SOD1 antibody should be determined by the researcher.

Immunogen

Amino acids RTLVVHEKADDLGKGGNEESTKTGNAGSRLA of human SOD1 were used as the immunogen for the SOD1 antibody.

Storage

After reconstitution, the SOD1 antibody can be stored for up to one month at 4oC. For long-term, aliquot and store at -20oC. Avoid repeated freezing and thawing.

Cross
Bulk Quote Request Form
Name*:
Organization*:
Email*:
Phone Number*:
Catalog No.*:
Comments and Specifics(amount, formulation, etc.)*:
Validation code: Captchapackage Image


Can't read the image? click here to refresh.
    *required field

Your bulk quote request has been submitted successfully!

Please contact us if you have any questions.