• Tel: 858.663.9055
  • SeparatorEmail: info@nsjbio.com
  • Tel: 858.663.9055
  • Email: info@nsjbio.com
Home >> Antibodies >> SOAT1 Antibody / Sterol O-acyltransferase 1

SOAT1 Antibody / Sterol O-acyltransferase 1 (FY12993)

  Catalog No Formulation Size Price (USD)  
Image FY12993 Adding 0.2 ml of distilled water will yield a concentration of 500 ug/ml 100 ug 449
Bulk quote request
Immunofluorescent staining of SOAT1 using anti-SOAT1 antibody (red). SOAT1 was detected in an immunocytochemical section of PC-3 cells. Enzyme antigen retrieval was performed using IHC enzyme antigen retrieval reagent for 15 mins. The cells were blocked with 10% goat serum. And then incubated with 5 ug/ml rabbit anti-SOAT1 antibody overnight at 4oC. Cy3 Conjugated Goat Anti-Rabbit IgG was used as secondary antibody at 1:500 dilution and incubated for 30 minutes at 37oC. The section was counterstained with DAPI nuclear stain (blue). Visualize using a fluorescence microscope and filter sets appropriate for the label used.
Western blot analysis of SOAT1 using anti-SOAT1 antibody. Lane 1: human Hela whole cell lysates, Lane 2: human HUH-7 whole cell lysates, Lane 3: human THP-1 whole cell lysates, Lane 4: human HepG2 whole cell lysates, Lane 5: rat liver tissue lysates, Lane 6: mouse liver tissue lysates. After electrophoresis, proteins were transferred to a nitrocellulose membrane at 150 mA for 50-90 minutes. Blocked the membrane with 5% non-fat milk/TBS for 1.5 hour at RT. The membrane was incubated with rabbit anti-SOAT1 antibody at 0.5 ug/ml overnight at 4oC, then washed with TBS-0.1%Tween 3 times with 5 minutes each and probed with a goat anti-rabbit IgG-HRP secondary antibody at a dilution of 1:5000 for 1.5 hour at RT. The signal was developed using enhanced chemiluminescent. A specific band was detected for SOAT1 at approximately 75 kDa. The expected molecular weight of SOAT1 is ~65 kDa.
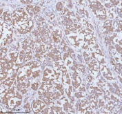
Immunohistochemical staining of SOAT1 using anti-SOAT1 antibody. SOAT1 was detected in a paraffin-embedded section of human breast cancer tissue. Heat mediated antigen retrieval was performed in EDTA buffer (pH 8.0, epitope retrieval solution). The tissue section was blocked with 10% goat serum. The tissue section was then incubated with 2 ug/ml rabbit anti-SOAT1 antibody overnight at 4oC. Peroxidase Conjugated Goat Anti-rabbit IgG was used as secondary antibody and incubated for 30 minutes at 37oC. The tissue section was developed using an HRP secondary and DAB substrate.
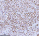
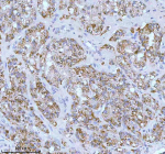
Immunohistochemical staining of SOAT1 using anti-SOAT1 antibody. SOAT1 was detected in a paraffin-embedded section of human prostatic cancer tissue. Heat mediated antigen retrieval was performed in EDTA buffer (pH 8.0, epitope retrieval solution). The tissue section was blocked with 10% goat serum. The tissue section was then incubated with 2 ug/ml rabbit anti-SOAT1 antibody overnight at 4oC. Peroxidase Conjugated Goat Anti-rabbit IgG was used as secondary antibody and incubated for 30 minutes at 37oC. The tissue section was developed using an HRP secondary and DAB substrate.
Immunohistochemical staining of SOAT1 using anti-SOAT1 antibody. SOAT1 was detected in a paraffin-embedded section of human prostatic cancer tissue. Heat mediated antigen retrieval was performed in EDTA buffer (pH 8.0, epitope retrieval solution). The tissue section was blocked with 10% goat serum. The tissue section was then incubated with 2 ug/ml rabbit anti-SOAT1 antibody overnight at 4oC. Peroxidase Conjugated Goat Anti-rabbit IgG was used as secondary antibody and incubated for 30 minutes at 37oC. The tissue section was developed using an HRP secondary and DAB substrate.
Immunohistochemical staining of SOAT1 using anti-SOAT1 antibody. SOAT1 was detected in a paraffin-embedded section of human prostatic cancer tissue. Heat mediated antigen retrieval was performed in EDTA buffer (pH 8.0, epitope retrieval solution). The tissue section was blocked with 10% goat serum. The tissue section was then incubated with 2 ug/ml rabbit anti-SOAT1 antibody overnight at 4oC. Peroxidase Conjugated Goat Anti-rabbit IgG was used as secondary antibody and incubated for 30 minutes at 37oC. The tissue section was developed using an HRP secondary and DAB substrate.
Immunohistochemical staining of SOAT1 using anti-SOAT1 antibody. SOAT1 was detected in a paraffin-embedded section of human prostatic cancer tissue. Heat mediated antigen retrieval was performed in EDTA buffer (pH 8.0, epitope retrieval solution). The tissue section was blocked with 10% goat serum. The tissue section was then incubated with 2 ug/ml rabbit anti-SOAT1 antibody overnight at 4oC. Peroxidase Conjugated Goat Anti-rabbit IgG was used as secondary antibody and incubated for 30 minutes at 37oC. The tissue section was developed using an HRP secondary and DAB substrate.
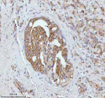
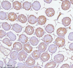
Immunohistochemical staining of SOAT1 using anti-SOAT1 antibody. SOAT1 was detected in a paraffin-embedded section of rat testis tissue. Heat mediated antigen retrieval was performed in EDTA buffer (pH 8.0, epitope retrieval solution). The tissue section was blocked with 10% goat serum. The tissue section was then incubated with 2 ug/ml rabbit anti-SOAT1 antibody overnight at 4oC. Peroxidase Conjugated Goat Anti-rabbit IgG was used as secondary antibody and incubated for 30 minutes at 37oC. The tissue section was developed using an HRP secondary and DAB substrate.
Immunohistochemical staining of SOAT1 using anti-SOAT1 antibody. SOAT1 was detected in a paraffin-embedded section of rat testis tissue. Heat mediated antigen retrieval was performed in EDTA buffer (pH 8.0, epitope retrieval solution). The tissue section was blocked with 10% goat serum. The tissue section was then incubated with 2 ug/ml rabbit anti-SOAT1 antibody overnight at 4oC. Peroxidase Conjugated Goat Anti-rabbit IgG was used as secondary antibody and incubated for 30 minutes at 37oC. The tissue section was developed using an HRP secondary and DAB substrate.
Immunohistochemical staining of SOAT1 using anti-SOAT1 antibody. SOAT1 was detected in a paraffin-embedded section of human breast cancer tissue. Heat mediated antigen retrieval was performed in EDTA buffer (pH 8.0, epitope retrieval solution). The tissue section was blocked with 10% goat serum. The tissue section was then incubated with 2 ug/ml rabbit anti-SOAT1 antibody overnight at 4oC. Peroxidase Conjugated Goat Anti-rabbit IgG was used as secondary antibody and incubated for 30 minutes at 37oC. The tissue section was developed using an HRP secondary and DAB substrate.
Flow cytometry analysis of fixed and permeabilized human Caco-2 cells with SOAT1 antibody at 1ug/million cells (blocked with goat sera); Red=cells alone, Green=isotype control, Blue= SOAT1 antibody.
Flow cytometry analysis of fixed and permeabilized human ThP-1 cells with SOAT1 antibody at 1ug/million cells (blocked with goat sera); Red=cells alone, Green=isotype control, Blue= SOAT1 antibody.
Availability 1-2 days
Species Reactivity Human, Mouse, Rat
Format Lyophilized
Host Rabbit
Clonality Polyclonal (rabbit origin)
Isotype Rabbit IgG
Purity Immunogen affinity purified
Buffer Each vial contains 4 mg Trehalose, 0.9 mg NaCl, 0.2 mg Na2HPO4.
UniProt P35610
Localization Cytoplasm (ER)
Applications Western Blot : 0.25-0.5ug/ml
Immunohistochemistry : 2-5ug/ml
Immunocytochemistry : 5ug/ml
Immunofluorescence : 5ug/ml
Flow Cytometry : 1-3ug/million cells
ELISA : 0.1-0.5ug/ml
Limitations This SOAT1 antibody is available for research use only.
Review this product on BioCompare and get a $20 Amazon gift card

Description

SOAT1 antibody detects Sterol O-acyltransferase 1, an integral endoplasmic reticulum enzyme responsible for the esterification of cholesterol to form cholesterol esters. The UniProt recommended name is Sterol O-acyltransferase 1 (SOAT1), also known as Acyl-CoA:cholesterol acyltransferase 1 (ACAT1). This enzyme plays a central role in intracellular cholesterol homeostasis, lipid storage, and steroidogenesis.

Functionally, SOAT1 antibody identifies a 550-amino-acid multi-pass membrane enzyme that catalyzes the formation of cholesterol esters by transferring fatty acyl groups from acyl-CoA to the hydroxyl group of cholesterol. These neutral esters are stored in cytoplasmic lipid droplets, buffering free cholesterol concentrations within membranes. SOAT1 activity is critical for maintaining cellular lipid balance and protecting against cholesterol-induced cytotoxicity.

The SOAT1 gene is located on chromosome 1q25.2 and encodes a protein embedded in the endoplasmic reticulum membrane. It operates as a key metabolic switch regulating cholesterol storage and membrane composition. In macrophages, SOAT1 converts excess cholesterol into cholesteryl esters, preventing foam cell formation and atherogenesis. In steroidogenic tissues, it contributes to the availability of cholesterol precursors for hormone synthesis. Dysregulation of SOAT1 disrupts lipid homeostasis and is implicated in metabolic disorders, neurodegeneration, and cardiovascular disease.

SOAT1 functions alongside SOAT2, which is primarily expressed in the liver and intestine, while SOAT1 is ubiquitously expressed in peripheral tissues. Its activity is regulated by intracellular cholesterol levels, oxysterols, and acyl-CoA availability. Pharmacological inhibition of SOAT1 has been explored as a strategy to reduce atherosclerotic plaque formation and neurotoxic cholesterol accumulation in Alzheimer's disease.

SOAT1 antibody is widely used in lipid metabolism, cardiovascular, and neurobiology research. It is suitable for immunoblotting, immunofluorescence, and enzyme localization studies to evaluate intracellular cholesterol esterification. This antibody enables the investigation of lipid droplet formation, cholesterol trafficking, and sterol regulatory pathways. In metabolic studies, SOAT1 serves as a marker of intracellular cholesterol storage and lipid imbalance.

Structurally, SOAT1 is an endoplasmic reticulum membrane protein containing multiple transmembrane domains and conserved histidine residues essential for catalytic function. The enzyme operates as a homotetramer, with each subunit contributing to the catalytic center. NSJ Bioreagents provides SOAT1 antibody reagents validated for use in lipid metabolism, cholesterol transport, and metabolic disease research.

Application Notes

Optimal dilution of the SOAT1 antibody should be determined by the researcher.

Immunogen

E.coli-derived human SOAT1 recombinant protein (Position: R41-Y548) was used as the immunogen for the SOAT1 antibody.

Storage

After reconstitution, the SOAT1 antibody can be stored for up to one month at 4oC. For long-term, aliquot and store at -20oC. Avoid repeated freezing and thawing.

Cross
Bulk Quote Request Form
Name*:
Organization*:
Email*:
Phone Number*:
Catalog No.*:
Comments and Specifics(amount, formulation, etc.)*:
Validation code: Captchapackage Image


Can't read the image? click here to refresh.
    *required field

Your bulk quote request has been submitted successfully!

Please contact us if you have any questions.