• Tel: 858.663.9055
  • SeparatorEmail: info@nsjbio.com
  • Tel: 858.663.9055
  • Email: info@nsjbio.com
Home >> Antibodies >> SNX6 Antibody / Sorting Nexin 6

SNX6 Antibody / Sorting Nexin 6 (RQ8931)

  Catalog No Formulation Size Price (USD)  
Image RQ8931 0.5mg/ml if reconstituted with 0.2ml sterile DI water 100 ug 449
Bulk quote request
Immunofluorescent staining of FFPE human U-2 OS cells with SNX6 antibody (red) and DAPI nuclear stain (blue). HIER: steam section in pH6 citrate buffer for 20 min.
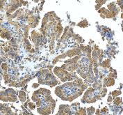
IHC staining of FFPE human ovarian cancer tissue with SNX6 antibody, HRP-secondary and DAB substrate. HIER: boil tissue sections in pH8 EDTA for 20 min and allow to cool before testing.
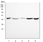
Western blot testing of 1) human A549, 2) rat brain, 3) rat C6, 4) mouse brain and 5) mouse RAW264.7 cell lysate with SNX6 antibody. Predicted molecular weight ~47 kDa.
Flow cytometry testing of fixed and permeabilized human HCT-116 cells with SNX6 antibody at 1ug/million cells (blocked with goat sera); Red=cells alone, Green=isotype control, Blue= SNX6 antibody.
Immunoprecipitation of SNX6 protein from 500ug of human A549 whole cell lysate with 2ug of SNX6 antibody.
Availability 1-2 business days
Species Reactivity Human, Mouse, Rat
Format Antigen affinity purified
Host Rabbit
Clonality Polyclonal (rabbit origin)
Isotype Rabbit IgG
Purity Antigen affinity purified
Buffer Lyophilized from 1X PBS with 2% Trehalose
UniProt Q9UNH7
Localization Cytoplasm, nucleus
Applications Western Blot : 1-2ug/ml
Immunohistochemistry (FFPE) : 2-5ug/ml
ELISA : 0.1-0.5ug/ml
Immunofluorescence : 5ug/ml
Flow Cytometry : 1-3ug/million cells
Immunoprecipitation : 2ug per 500ug of lysate
Limitations This SNX6 antibody is available for research use only.
Review this product on BioCompare and get a $20 Amazon gift card

Description

SNX6 antibody targets Sorting nexin 6 (SNX6), a cytoplasmic adaptor protein that functions in endosomal trafficking and membrane protein sorting. SNX6 is a member of the sorting nexin family, which is characterized by the presence of a phox homology domain that binds phosphoinositide-enriched membranes. Through this domain, SNX6 associates with early and recycling endosomes, where it contributes to the regulation of cargo transport between endosomes, the trans-Golgi network, and the plasma membrane. SNX6 localizes primarily to the cytoplasm with enrichment on endosomal membranes, reflecting its role in intracellular trafficking pathways.

Functionally, SNX6 participates in the retromer-dependent transport system that retrieves selected transmembrane proteins from endosomes and directs them back to the Golgi or to other intracellular destinations. By interacting with other sorting nexins and core retromer components, SNX6 helps coordinate cargo recognition and vesicle formation. These trafficking events are essential for maintaining proper receptor recycling, signal termination, and membrane composition. An SNX6 antibody supports studies examining endosomal sorting mechanisms and membrane trafficking regulation.

SNX6 expression is broadly observed across tissues, consistent with the universal requirement for regulated intracellular transport in eukaryotic cells. Altered SNX6 function can disrupt receptor localization and signaling dynamics, leading to changes in cellular responsiveness to growth factors and environmental cues. SNX6 has also been implicated in the trafficking of proteins involved in lipid metabolism and cell surface receptor turnover, highlighting its contribution to cellular homeostasis and signaling balance.

From a biological and disease-relevance perspective, sorting nexins are widely studied for their roles in neurobiology, cancer, and metabolic disease, where defects in membrane trafficking contribute to pathogenesis. SNX6-dependent pathways influence the spatial and temporal control of signaling receptors, which can impact cell proliferation, differentiation, and survival. Understanding SNX6 expression and regulation provides insight into how endosomal transport systems shape cellular behavior under physiological and stress conditions.

At the molecular level, SNX6 is encoded by the SNX6 gene and produces a protein of approximately 400 amino acids. In addition to its phox homology domain, SNX6 contains regions that mediate protein-protein interactions required for assembly of trafficking complexes. Regulation of SNX6 activity depends on membrane lipid composition, adaptor binding, and cellular trafficking demands. An SNX6 antibody supports research applications focused on endosomal transport, receptor recycling, and intracellular membrane dynamics, with NSJ Bioreagents providing reagents intended for research use.

Application Notes

Optimal dilution of the SNX6 antibody should be determined by the researcher.

Immunogen

Amino acids M1-T406 from the human protein were used as the immunogen for the SNX6 antibody.

Storage

After reconstitution, the SNX6 antibody can be stored for up to one month at 4oC. For long-term, aliquot and store at -20oC. Avoid repeated freezing and thawing.

Cross
Bulk Quote Request Form
Name*:
Organization*:
Email*:
Phone Number*:
Catalog No.*:
Comments and Specifics(amount, formulation, etc.)*:
Validation code: Captchapackage Image


Can't read the image? click here to refresh.
    *required field

Your bulk quote request has been submitted successfully!

Please contact us if you have any questions.